Dị vật mắc trong đường thở người bệnh 64 tuổi nhiều tháng gây ho triền miên

Dị vật mắc trong đường thở người bệnh 64 tuổi nhiều tháng gây ho triền miên
2 giờ trướcBài gốc
Bệnh viện Lao và Bệnh Phổi TP. Cần Thơ vừa gắp thành công dị vật phế quản cho bệnh nhân 64 tuổi bị ho khan kéo dài nhiều tháng. Bệnh nhân có nhiều bệnh lý nền phức tạp, điều trị nhiều nơi không khỏi.
Qua thăm khám và chẩn đoán hình ảnh, bác sĩ phát hiện dị vật mắc kẹt trong đường thở và nhanh chóng tiến hành nội soi phế quản để lấy ra, giúp bệnh nhân cải thiện rõ rệt.
Ho khan kéo dài nhiều tháng mới tìm ra dị vật
Một trường hợp can thiệp nội soi phế quản gấp dị vật phức tạp đã được thực hiện thành công tại Bệnh viện Lao và Bệnh Phổi thành phố Cần Thơ, chấm dứt chuỗi ngày ho khan kéo dài nhiều tháng của một bệnh nhân lớn tuổi có nhiều bệnh lý nền.
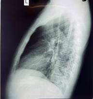
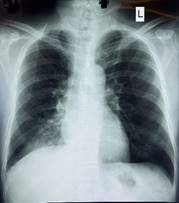
Hình: Viêm phổi tại phân thùy S6 phải - Ảnh BVCC
Bệnh nhân V.N.L (64 tuổi), trú tại xã Thới Lai, thành phố Cần Thơ, nhập viện trong tình trạng sức khỏe suy yếu do ho khan dai dẳng, thỉnh thoảng khạc đàm đục và sốt nhẹ kéo dài suốt nhiều tháng. Dù đã điều trị ngoại trú tại nhiều cơ sở y tế nhưng tình trạng bệnh không thuyên giảm, khiến chất lượng cuộc sống của bệnh nhân bị ảnh hưởng nghiêm trọng.
Đặc biệt, ông L. là bệnh nhân có nhiều bệnh lý nền phức tạp, bao gồm tăng huyết áp, đái tháo đường và bệnh tim thiếu máu cục bộ. Điều này đặt ra thách thức lớn đối với ê-kíp điều trị, đòi hỏi sự cẩn trọng.
Qua thăm khám chuyên sâu và các kỹ thuật chẩn đoán hình ảnh, các bác sĩ Bệnh viện Lao và Bệnh Phổi Cần Thơ đã phát hiện dị vật mắc kẹt trong đường thở là nguyên nhân chính gây ra các triệu chứng trên. Ngay lập tức, ê-kíp can thiệp nội soi phế quản được kích hoạt khẩn cấp.
Ê-kíp thực hiện gắp dị vật gồm: TS. BS Trần Thanh Hùng, Phó giám đốc; BSCKI Nguyễn Hùng Thanh Tùng, điều dưỡng CKI Đỗ Thị Chính. Ca gắp dị vật đã diễn ra suôn sẻ, dị vật được loại bỏ an toàn khỏi phế quản bệnh nhân. Đây là một thành công lớn, không chỉ giúp giải quyết triệt để nguyên nhân gây bệnh mà còn tránh được những biến chứng nguy hiểm có thể xảy ra do dị vật tồn tại lâu ngày.
Dị vật sau khi được gắp thành công - Ảnh BVCC
"Thành công của ca gắp dị vật này một lần nữa khẳng định năng lực chuyên môn và sự phối hợp nhịp nhàng của đội ngũ y bác sĩ Bệnh viện Lao và Bệnh Phổi Cần Thơ trong việc xử lý các ca bệnh phức tạp, đặc biệt là trên nền bệnh nhân cao tuổi và có nhiều bệnh lý mạn tính", TS.BS Trần Thanh Hùng, Phó giám đốc phụ trách chuyên môn bệnh viện chia sẻ.
Sau can thiệp, sức khỏe bệnh nhân V.N.L đã ổn định, tình trạng ho khan đã giảm rõ rệt và đang hồi phục tốt. Bệnh viện khuyến cáo người dân khi xuất hiện các triệu chứng hô hấp kéo dài bất thường cần đến các cơ sở chuyên khoa để được thăm khám và chẩn đoán kịp thời.
Dị vật sau và mũ trong lòng phế quản (A,B); Phế quản phù nề, viêm xung quanh vị trí dị vật ảnh sau lấy dị vật ra khỏi phế quản (C, D) - Ảnh BVCC
Cẩn thận biến chứng gây tử vong sau lấy dị vật
ThS.BS Nguyễn Lê Đức Hoàng, Khoa Hồi sức Cấp cứu - Bệnh viện Đa khoa Quốc tế Vinmec Đà Nẵng cho biết, dị vật trong phế quản hay còn gọi dị vật đường thở là một bệnh lý thường gặp ở trẻ em và người già với biểu hiện hội chứng xâm nhập cấp tính.
Nội soi phế quản ống mềm là một phương pháp hiệu quả để lấy dị vật ra khỏi phế quản. Đối với ống nội soi mềm có thể giúp cho người bệnh không đau đớn và giảm kích thích hầu họng. Lấy dị vật phế quản ống mềm được chỉ định khi có dị vật khí phế quản.
Tuy nhiên, nội soi lấy dị vật chống chỉ định đối với những trường hợp sau: Tình trạng huyết động không ổn định; Rối loạn nhịp tim nặng; Đau thắt ngực không ổn định; Nhồi máu cơ tim; Phình tách động mạch chủ; Rối loạn đông máu không điều trị được.
ThS.BS Nguyễn Lê Đức Hoàng cảnh báo, sau nội soi lấy dị vật, bệnh nhân cần được theo dõi tại giường ít nhất 15 phút sau khi soi. Sau đó, tiếp tục theo dõi tại bệnh phòng các dấu hiệu sinh tồn như mạch, nhịp thở, nhiệt độ, huyết áp và độ bão hòa oxy trong máu. Bệnh nhân có thể bắt đầu ăn sau khi soi phế quản 2 giờ.
Lấy dị vật phế quản bằng ống soi mềm là phương pháp được dùng phổ biến hiện nay và đem lại hiệu quả cao, giúp cho người bệnh giảm đau đớn và kích thích hầu họng. Tuy nhiên, cần lưu ý một số biến chứng có thể xảy ra trong và sau khi nội soi lấy dị vật như:
Giảm oxy máu: Tăng lưu lượng oxy đảm bảo duy trì đủ oxy cho người bệnh. Nếu tình trạng giảm oxy máu không cải thiện phải ngừng việc soi phế quản.
Co thắt thanh, phế quản: Thường gặp ở những người tăng tính phản ứng phế quản như: Hen phế quản và bệnh phổi tắc nghẽn mãn tính (COPD). Đặt đường truyền tĩnh mạch ngoại vi trước khi soi phế quản để xử trí kịp thời khi có biến chứng. Xử trí bằng cách dừng thủ thuật lại, tiêm corticoid tĩnh mạch, truyền tĩnh mạch salbutamol, khí dung bằng ventolin, pulmicort.
Chảy máu: Bơm adrenalin hoặc nước lạnh.
Làm rơi dị vật vào phế quản khác: Cần tiến hành lấy dị vật nhưng cần lựa chọn dụng cụ gắp phù hợp.
Suy hô hấp cấp: Cần dừng thủ thuật và tăng lưu lượng oxy thở nhằm cải thiện độ bão hòa oxy của người bệnh. Đặt đường truyền tĩnh mạch ngoại vi, truyền salbutamol, tiêm tĩnh mạch corticoid, khí dung bằng ventolin, pulmicort.
Cơn tăng huyết áp: Sử dụng thuốc lợi tiểu và hạ huyết áp.
“Sau khi nội soi lấy dị vật người bệnh có thể gặp một số biến chứng. Vì vậy, khi thấy bất kỳ dấu hiệu nào bất thường như khó thở, vã mồ hôi, mệt mỏi,... cần khám ngay, nếu không sẽ dẫn đến tình trạng suy hô hấp và ngừng tim”, ThS.BS Nguyễn Lê Đức Hoàng khuyến cáo.
Thúy Nga
Nguồn Tri Thức & Cuộc Sống : https://kienthuc.net.vn/di-vat-mac-trong-duong-tho-nguoi-benh-64-tuoi-nhieu-thang-gay-ho-trien-mien-post1589490.html