Thủng dạ dày do mảnh cây trong thuốc tự sắc

Thủng dạ dày do mảnh cây trong thuốc tự sắc
3 giờ trướcBài gốc
Các bác sĩ Bệnh viện Việt Nam – Thụy Điển Uông Bí vừa tiếp nhận và xử trí thành công một trường hợp người đàn ông bị thủng dạ dày do nuốt phải dị vật là mảnh cành cây có trong thang thuốc lá tự sắc uống tại nhà.
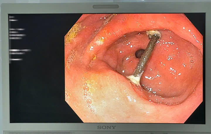
Mảnh cành cây 2 đầu cắm vào thành dạ dày - Ảnh BVCC
Người bệnh là ông T.V.T. (54 tuổi, trú tại Lưu Kiếm, TP. Hải Phòng). Trước đó, người bệnh T. thường xuyên bị đau vùng thượng vị và nghe theo lời mách của người quen, đã mua thuốc nam về tự sắc uống.
Sau khi sử dụng, ông T. xuất hiện đau bụng tăng dần trong 4 ngày, nên đến khám tại Bệnh viện Việt Nam – Thụy Điển Uông Bí.
Qua khai thác tiền sử và thăm khám, các bác sĩ nghi ngờ người bệnh có dị vật đường tiêu hóa và chỉ định nội soi dạ dày. Kết quả cho thấy, tại vị trí hang vị có dị vật dạng que dài khoảng 5cm, cắm sâu hai đầu vào thành dạ dày.
Các bác sĩ đã tiến hành cầm máu và gắp dị vật ra ngoài an toàn. Dị vật được xác định là một mảnh cành cây khô.
Dị vật được lấy ra khỏi dạ dày của người bệnh - Ảnh BVCC
"Người dân cần thận trọng khi ăn uống, để tránh hóc, sặc dị vật, đặc biệt là khi sử dụng các loại thuốc nam, thuốc lá không rõ nguồn gốc.
Những loại thuốc này chưa được khoa học kiểm chứng, tiềm ẩn nguy cơ cao gây ra biến chứng nghiêm trọng cho sức khỏe, thậm chí đe dọa tính mạng người sử dụng", các bác sĩ khuyến cáo.
Thúy Nga
Nguồn Tri Thức & Cuộc Sống : https://kienthuc.net.vn/thung-da-day-do-manh-cay-trong-thuoc-tu-sac-post1584581.html