2 cơ sở phối hợp cứu bệnh nhi 15 tuổi vỡ gan độ IV

2 cơ sở phối hợp cứu bệnh nhi 15 tuổi vỡ gan độ IV
một giờ trướcBài gốc
Sự kết hợp nhịp nhàng giữa 2 cơ sở Bệnh viện Đa khoa tỉnh Quảng Ninh trong cấp cứu đã cứu sống bệnh nhân 15 tuổi vỡ gan độ IV nguy hiểm.
Nam bệnh nhân L.D.N 15 tuổi thường trú tại xã Quảng La, tỉnh Quảng La nhập viện cơ sở 2 trong tình trạng đau nhiều vùng hạ sườn phải, bụng sưng đau kèm nhiều các vết bầm tím ở vùng bụng. Bệnh nhân được chẩn đoán vỡ tạng đặc kèm đa chấn thương do tai nạn giao thông.
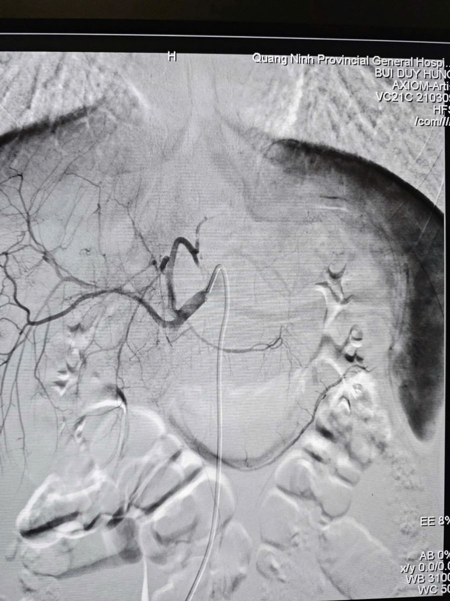
Ngay lập tức các bác sĩ thuộc ê-kíp trực tại cơ sở 2 Bệnh viện Đa khoa tỉnh Quảng Ninh đã khẩn trương làm các xét nghiệm và tiến hành chụp CT Scanner ổ bụng ngay lập tức và kết luận: Vỡ gan độ IV, đa chấn thương. Nghiêm trọng hơn, phát hiện hình ảnh "ổ thoát thuốc" – dấu hiệu "báo động" của việc chảy máu hoạt động trong nhu mô gan.
Trước tổn thương phức tạp, ê-kíp cấp cứu cơ sở 2 đã kích hoạt hội chẩn trực tuyến với chuyên gia tại cơ sở chính nhằm có phương án tối ưu cho người bệnh là chuyển tuyến khẩn cấp về cơ sở chính để can thiệp nút mạch cầm máu trên máy DSA. Đây là giải pháp vàng giúp cầm máu nhanh mà không cần phẫu thuật mở.
Hình tổn thương trên phim chụp DSA - Ảnh BVCC
Khi vận chuyển người bệnh về tại cơ sở chính, ê-kíp Can thiệp mạch đã sẵn sàng mọi nguồn lực. Ngay khi tiếp nhận, nhận thấy bệnh nhân có dấu hiệu thiếu máu, các bác sĩ đã chỉ định truyền máu kịp thời để bồi phụ tuần hoàn trước khi can thiệp.
Ê-kíp bác sĩ can thiệp cho bệnh nhi - Ảnh BVCC
Dưới sự hỗ trợ của hệ thống DSA hiện đại, ê-kíp bác sĩ đã luồn ống thông (Microcatheter) siêu nhỏ 1.9F tiếp cận siêu chọn lọc vị trí nhánh động mạch gan đang chảy máu và nút tắc bằng vật liệu chuyên dụng Spongel.
Ê - kíp can thiệp mạch do BSCKII Bùi Duy Hưng - Phó khoa Chẩn đoán hình ảnh – Điện quang can thiệp trực tiếp thực hiện
Hình ảnh sau nút mạch điều trị chấn thương gan, ổ chảy máu đã được nút tắc - Ảnh BVCC
Sau 60 phút, ca can thiệp thành công tốt đẹp, hình ảnh chụp kiểm tra cho thấy điểm chảy máu đã được cầm hoàn toàn. Huyết động bệnh nhân ổn định và được chuyển hậu phẫu theo dõi với tiên lượng phục hồi.
Hình ảnh người bệnh sau 3 ngày điều trị tại bệnh viện - Ảnh BVCC
Thành công của ca bệnh khẳng định hiệu quả của mô hình hoạt động đồng bộ, năng lực chẩn đoán tại chỗ nhanh, chính xác ngay từ đầu nhờ CT Scanner và nhân lực chất lượng làm chủ kỹ thuật nút mạch giúp xử trí chấn thương nhẹ nhàng, hiệu quả cao.
Sự đồng bộ và hiệp đồng tác chiến giữa hai cơ sở mang lại cơ hội sống cao nhất cho người bệnh trong các tình huống cấp cứu tối khẩn.
Thúy Nga
Nguồn Tri Thức & Cuộc Sống : https://kienthuc.net.vn/2-co-so-phoi-hop-cuu-benh-nhi-15-tuoi-vo-gan-do-iv-post1587754.html