AI giúp phát hiện ung thư phổi giai đoạn rất sớm

AI giúp phát hiện ung thư phổi giai đoạn rất sớm
3 giờ trướcBài gốc
Tình cờ phát hiện ung thư phổi khi khám thận
Ông N.T.T (69 tuổi, Hà Nội) đến khám tại Bệnh viện Bạch Mai (Hà Nội) vì đau thắt lưng phải. Trước đó, bệnh nhân xuất hiện cơn đau quặn thận phải và được chẩn đoán sỏi thận phải. Ông đã được tán sỏi thận qua da tại Khoa Phẫu thuật Tiết niệu.
Trong quá trình kiểm tra sau điều trị, bệnh nhân được chụp CT ngực và phát hiện một khối u ở thùy trên phổi trái. Sau đó, ông T. được chuyển đến Trung tâm Y học hạt nhân và Ung bướu - Bệnh viện Bạch Mai để tiếp tục đánh giá và điều trị.
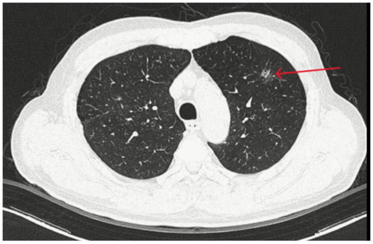
Ông T. có tiền sử hút thuốc lá khoảng 20 bao/năm và mắc tăng huyết áp. Kết quả chụp CT ngực cho thấy một đám tổn thương dạng kính mờ, bờ tua gai ở thùy trên phổi trái là một đặc điểm gợi ý khả năng ác tính.
Tổn thương phổi trên phim CT này tiếp tục được phân tích bằng hệ thống trí tuệ nhân tạo (AI). Kết quả cho thấy xác suất nốt kính mờ ở thùy trên phổi trái là tổn thương ác tính lên tới khoảng 97%. Sau khi hội chẩn đa chuyên khoa, bệnh nhân được chỉ định phẫu thuật.
Các bác sĩ đã tiến hành phẫu thuật nội soi cắt thùy trên phổi trái kèm nạo vét hạch. Kết quả giải phẫu bệnh xác định ông T. mắc ung thư biểu mô tuyến phổi trái giai đoạn IA - giai đoạn rất sớm của bệnh.
Hình ảnh CT phổi của ông T. có đám mờ. Ảnh: BSCC.
Theo các bác sĩ, đối với ung thư phổi không tế bào nhỏ giai đoạn IA như ông T, phương pháp điều trị nền tảng là phẫu thuật triệt căn. Sau đó, bệnh nhân cần được theo dõi định kỳ ít nhất mỗi 6 tháng trong vòng 2 năm, bao gồm khám lâm sàng, khai thác bệnh sử, xét nghiệm máu và chụp CT có tiêm thuốc cản quang.
AI giúp phát hiện bệnh từ các nốt nhỏ
PGS.TS Phạm Cẩm Phương - Giám đốc Trung tâm Y học hạt nhân và Ung bướu, Bệnh viện Bạch Mai cho biết, ung thư phổi hiện là một trong những bệnh ung thư nguy hiểm nhất trên thế giới. Theo số liệu GLOBOCAN 2022, căn bệnh này đứng đầu về số ca mắc mới với hơn 2,48 triệu trường hợp (chiếm 12,4%) và cũng là nguyên nhân tử vong hàng đầu do ung thư với hơn 1,81 triệu ca tử vong (18,7%).
Tại Việt Nam, ung thư phổi đứng thứ ba về tỷ lệ mắc (13,5%) nhưng đứng thứ hai về tỷ lệ tử vong (18,8%). Theo thống kê năm 2022, nước ta có khoảng 24.426 ca ung thư phổi mới và hơn 22.500 trường hợp tử vong mỗi năm, đứng hàng đầu trong các nguyên nhân tử vong do ung thư. Một trong những thách thức lớn nhất là phần lớn bệnh nhân được phát hiện khi bệnh đã ở giai đoạn muộn.
Trong khi đó, ung thư phổi giai đoạn sớm thường không có triệu chứng rõ ràng. Nếu được phát hiện sớm và phẫu thuật triệt căn, tỷ lệ sống sau 5 năm có thể đạt khoảng 70% ở giai đoạn I. Ngược lại, khi bệnh ở giai đoạn IV, tỷ lệ này giảm xuống dưới 5%.
Theo PGS Phương, những năm gần đây, việc sàng lọc bằng CT ngực liều thấp đã giúp tăng tỷ lệ phát hiện các nốt phổi nhỏ. Tuy nhiên, nhiều tổn thương ác tính ở giai đoạn sớm lại không có biểu hiện điển hình trên hình ảnh CT.
Trong bối cảnh đó, trí tuệ nhân tạo đang trở thành công cụ hỗ trợ quan trọng. Công nghệ AI có thể phân tích nhiều tham số hình ảnh cùng lúc, giúp bác sĩ đánh giá nguy cơ ác tính của các nốt phổi nhỏ, từ đó hỗ trợ phát hiện ung thư phổi ở giai đoạn sớm, giảm nguy cơ bỏ sót và nâng cao hiệu quả chẩn đoán.
Các chuyên gia cho rằng việc ứng dụng trí tuệ nhân tạo trong phân tích hình ảnh y khoa đang mở ra nhiều triển vọng trong phát hiện, chẩn đoán và điều trị ung thư phổi, góp phần giúp người bệnh có cơ hội điều trị sớm và cải thiện tiên lượng sống.
Phương Thúy
Nguồn VietnamNet : https://vietnamnet.vn/ai-giup-phat-hien-ung-thu-phoi-giai-doan-rat-som-2496954.html