Ảnh chụp gây sốc hé lộ tác hại thật sự của thực phẩm siêu chế biến

Ảnh chụp gây sốc hé lộ tác hại thật sự của thực phẩm siêu chế biến
5 giờ trướcBài gốc
Không chỉ liên quan đến béo phì, tiểu đường, tim mạch hay ung thư như nhiều nghiên cứu trước đây chỉ ra, nhóm thực phẩm này còn có thể khiến cơ bắp bị “nhiễm mỡ”, suy yếu từ bên trong và làm giảm khả năng vận động theo thời gian.
Ảnh: Getty Images
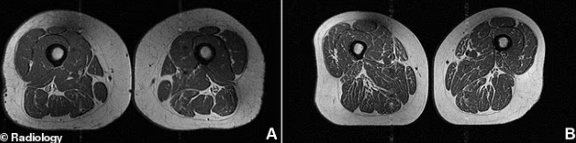
Trong một nghiên cứu ca lâm sàng gần đây, các bác sĩ công bố ảnh chụp cắt ngang vùng đùi của một phụ nữ 62 tuổi. Hình ảnh cho thấy phần cơ đùi xuất hiện những vệt trắng xen kẽ dày đặc, giống như miếng thịt bò có vân mỡ hơn là mô cơ khỏe mạnh.
Người phụ nữ này hấp thụ tới 87% lượng dinh dưỡng hàng ngày từ thực phẩm siêu chế biến (Ultra-Processed Foods - UPFs). Khẩu phần ăn chủ yếu gồm ngũ cốc ăn liền, thanh chocolate và nước ngọt có ga. Dù vẫn duy trì mức vận động vừa phải, chế độ ăn quá nhiều UPFs vẫn khiến cơ bắp suy giảm rõ rệt.
Trong khi đó, hình ảnh của một phụ nữ khác cùng độ tuổi và cân nặng tương đương nhưng chỉ tiêu thụ khoảng 30% thực phẩm siêu chế biến cho thấy cơ đùi gần như không có tình trạng xâm nhập mỡ.
Hình ảnh trông giống như một miếng thịt có vân mỡ đẹp mắt, nhưng hoàn toàn không phải. Ảnh: CNN
Hình ảnh chụp cộng hưởng từ (MRI) của hai người phụ nữ có độ tuổi và cân nặng tương đương. (A) Một phụ nữ 61 tuổi có chế độ ăn với 30% thực phẩm siêu chế biến. Cơ đùi của bà cho thấy ít bị nhiễm mỡ. (B) Một phụ nữ 62 tuổi có 87% chế độ ăn đến từ thực phẩm siêu chế biến. Đùi của bà trông nhiều mỡ hơn rõ rệt với nhiều vệt trắng thay thế mô cơ khỏe mạnh. Ảnh: Radiology
“Marbling” trong cơ bắp là gì?
Các chuyên gia gọi hiện tượng này là myosteatosis - tình trạng mỡ tích tụ bên trong và xung quanh các sợi cơ. Thay vì chỉ tích mỡ dưới da hoặc quanh nội tạng, chất béo len sâu vào mô cơ, dần thay thế các sợi cơ khỏe mạnh.
Trong y học hình ảnh, hiện tượng này còn được mô tả là “marbling”, tương tự các đường vân mỡ trên thịt bò.
Thông thường, cơ bắp khỏe mạnh được cấu tạo từ những sợi dài, săn chắc, có khả năng co rút và tạo lực. Nhưng khi cơ thể thường xuyên tiếp nhận lượng lớn đường tinh luyện, chất béo xấu và phụ gia hóa học, mô cơ dễ rơi vào trạng thái viêm mạn tính mức độ thấp.
Những vệt trắng trên miếng thịt bò này là mỡ. Hiện tượng tích tụ mỡ tương tự - gọi là vân mỡ - cũng có thể xảy ra bên trong cơ đùi của con người khi có chế độ ăn nhiều thực phẩm chế biến sẵn, làm suy yếu trực tiếp mô cơ. Ảnh: Shutterstock
Cùng với đó, các tế bào cơ giảm đáp ứng với insulin, khiến glucose không được sử dụng hiệu quả để tạo năng lượng. Một số tế bào trong cơ bắt đầu chuyển hướng thành tế bào mỡ, làm xuất hiện các túi mỡ ngay trong mô cơ.
Tác động lớn hơn nhiều người tưởng
Tình trạng cơ nhiễm mỡ không chỉ làm giảm sức mạnh cơ bắp. Theo các nghiên cứu, người có tỷ lệ mỡ nội cơ cao thường đối mặt với nguy cơ lớn hơn mắc:
• Đề kháng insulin
• Hội chứng chuyển hóa
• Viêm mạn tính
• Bệnh tim mạch
• Suy giảm khả năng vận động
• Nguy cơ té ngã cao ở người lớn tuổi
• Biến chứng hậu phẫu và nhập viện nhiều hơn
Trong sinh hoạt hàng ngày, cơ đùi yếu đi khiến các hoạt động tưởng như đơn giản như leo cầu thang, đứng dậy khỏi ghế, xách đồ hoặc đi bộ nhanh trở nên khó khăn hơn.
Nếu kéo dài, người bệnh có xu hướng ít vận động hơn, tiếp tục mất cơ và phụ thuộc nhiều hơn vào người khác khi tuổi cao.
Ảnh: GettyImages
Có thể phục hồi hay không?
Các chuyên gia cho rằng chưa thể khẳng định chắc chắn việc cắt giảm UPFs có đảo ngược hoàn toàn tình trạng cơ nhiễm mỡ hay không. Tuy nhiên, nhiều bằng chứng cho thấy thay đổi lối sống có thể cải thiện đáng kể chất lượng cơ bắp.
Những biện pháp được đánh giá hiệu quả gồm:
• Tập aerobic đều đặn: đi bộ nhanh 30-60 phút mỗi ngày giúp giảm mỡ nội cơ, kể cả khi chưa giảm nhiều cân nặng.
• Tập sức mạnh: nâng tạ, squat, kháng lực giúp tăng khối cơ nạc và cải thiện chức năng vận động.
• Giảm cân bền vững: đặc biệt ở người béo phì, giảm cân giúp cải thiện chuyển hóa và hạn chế tích mỡ trong cơ.
• Giảm thực phẩm siêu chế biến: hạn chế nước ngọt, đồ ăn đóng gói, snack, thịt chế biến sẵn, bánh kẹo công nghiệp.
Cảnh báo cho lối sống hiện đại
Tại nhiều quốc gia phát triển, thực phẩm siêu chế biến hiện chiếm hơn một nửa tổng năng lượng ăn vào mỗi ngày. Đây là xu hướng đáng lo ngại khi nhóm thực phẩm này thường rẻ, tiện lợi, bảo quản lâu nhưng nghèo giá trị dinh dưỡng.
Các chuyên gia nhấn mạnh, tác hại của thực phẩm siêu chế biến không chỉ thể hiện qua cân nặng hay chỉ số đường huyết, mà còn âm thầm làm suy yếu cơ thể từ bên trong.
Nói cách khác, một người có thể trông bình thường bên ngoài nhưng cơ bắp đã bắt đầu “thoái hóa” vì chế độ ăn thiếu lành mạnh.
Trong bối cảnh dân số già hóa nhanh và bệnh mạn tính gia tăng, việc quay trở lại với thực phẩm tươi, ít chế biến và vận động thường xuyên được xem là giải pháp nền tảng để bảo vệ sức khỏe lâu dài.
Hồng Nhung
Nguồn Đại Biểu Nhân Dân : https://daibieunhandan.vn/anh-chup-gay-soc-he-lo-tac-hai-that-su-cua-thuc-pham-sieu-che-bien-10414046.html