Bác sĩ cảnh báo: Đau nhẹ như dạ dày cũng có thể là ung thư gan

Bác sĩ cảnh báo: Đau nhẹ như dạ dày cũng có thể là ung thư gan
2 giờ trướcBài gốc
Cảm giác đau nhẹ vùng thượng vị – một triệu chứng mà rất nhiều người cho rằng chỉ là rối loạn tiêu hóa đơn giản – lại chính là dấu hiệu mở đầu cho một căn bệnh đe dọa tính mạng.
Tưởng đau “nhẹ như dạ dày” nhưng ẩn giấu nguy hiểm chết người
Bà Đ.T.A (73 tuổi, ngụ xã Củ Chi, TP.HCM) vốn có tiền sử xơ gan mạn tính nhiều năm. Bà vẫn đang điều trị nội khoa định kỳ và sức khỏe nhìn chung ổn định. Nhưng chỉ trong vài tháng gần đây, bà bắt đầu cảm thấy đau âm ỉ vùng thượng vị – vùng giữa bụng trên, thường bị nhầm với đau dạ dày.
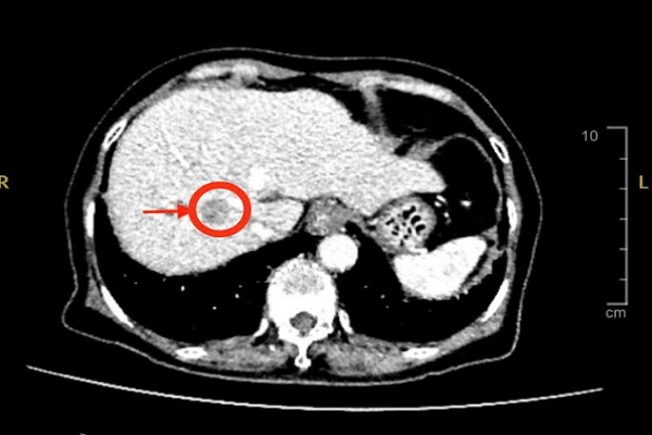
Kết quả chụp MSCT (cắt lớp vi tính) cho thấy, bệnh nhân có khối u gan ở thùy gan phải, kích thước khoảng 2cm, nghi ngờ ung thư gan nguyên phát - Ảnh: BV
Lúc đầu, bà cho rằng mình chỉ ăn uống không tiêu, hoặc đau dạ dày do dùng thuốc lâu ngày. Cơn đau không dữ dội, không co thắt, không nôn ói – quá dễ khiến người bệnh chủ quan.
Thế nhưng, cơn đau kéo dài, xuất hiện nhiều hơn và dai dẳng. Bà bắt đầu ăn uống giảm, nhiều lúc mệt mỏi, khó ngủ, sụt cân nhẹ nhưng vẫn cố chịu đựng, tự mua thuốc hỗ trợ tiêu hóa.
Cho đến khi cơn đau ảnh hưởng sinh hoạt rõ rệt, gia đình mới đưa bà đến Bệnh viện đa khoa Xuyên Á thăm khám. Và đó là quyết định đã cứu sống bà.
Với bệnh cảnh người có xơ gan mạn tính, bác sĩ lập tức cảnh giác trước triệu chứng đau bụng kéo dài. Bà nhanh chóng được chỉ định siêu âm bụng, chụp MSCT (cắt lớp vi tính), xét nghiệm chức năng gan và các dấu ấn ung thư.
Kết quả cho thấy có khối u gan ở thùy gan phải, kích thước khoảng 2cm, nghi ngờ ung thư gan nguyên phát (HCC). Đây là loại ung thư gan thường gặp ở người bị xơ gan, viêm gan B hoặc C mạn tính.
ThS-BS CK2 Phan Văn Sơn, Khoa Ngoại Tiêu Hóa Gan Mật Tụy – Bệnh viện đa khoa Xuyên Á cho biết: “Xơ gan là yếu tố nguy cơ hàng đầu dẫn đến ung thư gan. Điều đáng lo là nhiều bệnh nhân chỉ phát hiện khi ung thư đã lớn hoặc xâm lấn mạch máu, lúc đó việc điều trị triệt căn rất khó khăn, tiên lượng xấu.”
May mắn thay, khối u của bà A. vẫn còn trong giai đoạn sớm, là “cửa sổ vàng” cho điều trị triệt căn. Nhưng vấn đề lại nằm ở chỗ khối u nằm sâu trong nhu mô gan và sát mạch máu lớn – khiến việc điều trị không hề đơn giản.
Cuộc hội chẩn căng thẳng: Đốt u hay cắt gan?
Một cuộc hội chẩn đa chuyên khoa được tổ chức, các bác sĩ cùng xem xét các yếu tố: Khối u nằm sâu, không nằm trên bề mặt; sát tĩnh mạch lớn nên nguy cơ chảy máu khi can thiệp. Bệnh nhân có xơ gan, gan dự trữ kém phải đảm bảo thể tích gan còn lại sau phẫu thuật đủ để duy trì sự sống.
Cuối cùng, sau phân tích toàn diện, các bác sĩ quyết định đốt khối u không khả thi. Giải pháp duy nhất và tối ưu là phẫu thuật cắt gan phải. Nhưng đây là một ca đại phẫu, đòi hỏi độ chính xác cao đến từng milimet, cùng phối hợp gây mê hồi sức chặt chẽ để tránh biến chứng chảy máu ồ ạt hoặc suy gan sau mổ – biến chứng có thể gây tử vong ngay lập tức.
Ngay trong phòng mổ, các bác sĩ tiến hành siêu âm trong mổ để xác định chính xác vị trí khối u; kiểm soát hệ thống mạch máu nuôi gan trước khi cắt; thực hiện cắt gan phải, giữ lại gan trái đủ thể tích và chức năng.
Bác sĩ Sơn chia sẻ: “Gan phải chiếm 60–70% tổng thể tích gan. Nếu phần gan trái còn lại không đủ, bệnh nhân sẽ suy gan sau mổ và có thể tử vong. Chúng tôi phải tính toán rất kỹ lưỡng”.
Nhờ sự phối hợp nhịp nhàng của ê-kíp phẫu thuật – gây mê – hồi sức, ca mổ diễn ra thành công, kiểm soát tốt chảy máu, bảo tồn tối đa gan còn lại.
Sau mổ 2 ngày bệnh nhân ăn uống bình thường, chức năng gan đo lại cho kết quả ổn định. Sau vài ngày, bà được xuất viện.
Gia đình bà xúc động chia sẻ: “Nếu lúc đó chủ quan không đi khám, chắc giờ đã không còn cơ hội”.
Theo bác sĩ Sơn – ung thư gan giai đoạn đầu hầu như không có triệu chứng rõ ràng. Các dấu hiệu của bệnh như: đau nhẹ vùng thượng vị; chán ăn, mệt mỏi; sụt cân nhẹ; bụng hơi tức, đầy hơi… rất dễ bị nhầm lẫn với bệnh viêm-loét dạ dày; rối loạn tiêu hóa; stress, tuổi già; ăn uống không phù hợp.
Chỉ đến khi có triệu chứng rõ rệt như: vàng da, cổ trướng, đau dữ dội, sụt cân nhanh thì bệnh thường đã vào giai đoạn muộn, khó cứu.
Do đó, những người thuộc nhóm nguy cơ cao như: xơ gan mạn tính; viêm gan B hoặc viêm gan C; uống rượu bia nhiều, kéo dài; gan nhiễm mỡ nặng hoặc tiểu đường tuýp 2 lâu năm… cần phải kiểm tra 3–6 tháng/lần.
Bác sĩ Sơn khuyến cáo: “Nếu phát hiện sớm, ung thư gan hoàn toàn có thể điều trị khỏi. Điều quan trọng nhất là tầm soát chủ động, không đợi có triệu chứng mới đi khám”.
“Một cơn đau nhẹ không bao giờ “nhỏ” đối với người có bệnh nền gan. Chỉ cần chậm trễ, cơ hội sống có thể mất đi vĩnh viễn”, ông nhấn mạnh.
Bình Thuận
Nguồn Một Thế Giới : https://1thegioi.vn/bac-si-canh-bao-dau-nhe-nhu-da-day-cung-co-the-la-ung-thu-gan-240838.html