Bé trai 7 tuổi gãy xương cẳng tay, suýt mất vận động sau cú ngã xe đạp

Bé trai 7 tuổi gãy xương cẳng tay, suýt mất vận động sau cú ngã xe đạp
10 giờ trướcBài gốc
Gãy kín hai xương cẳng tay có di lệch, nguy cơ biến dạng, hạn chế vận động
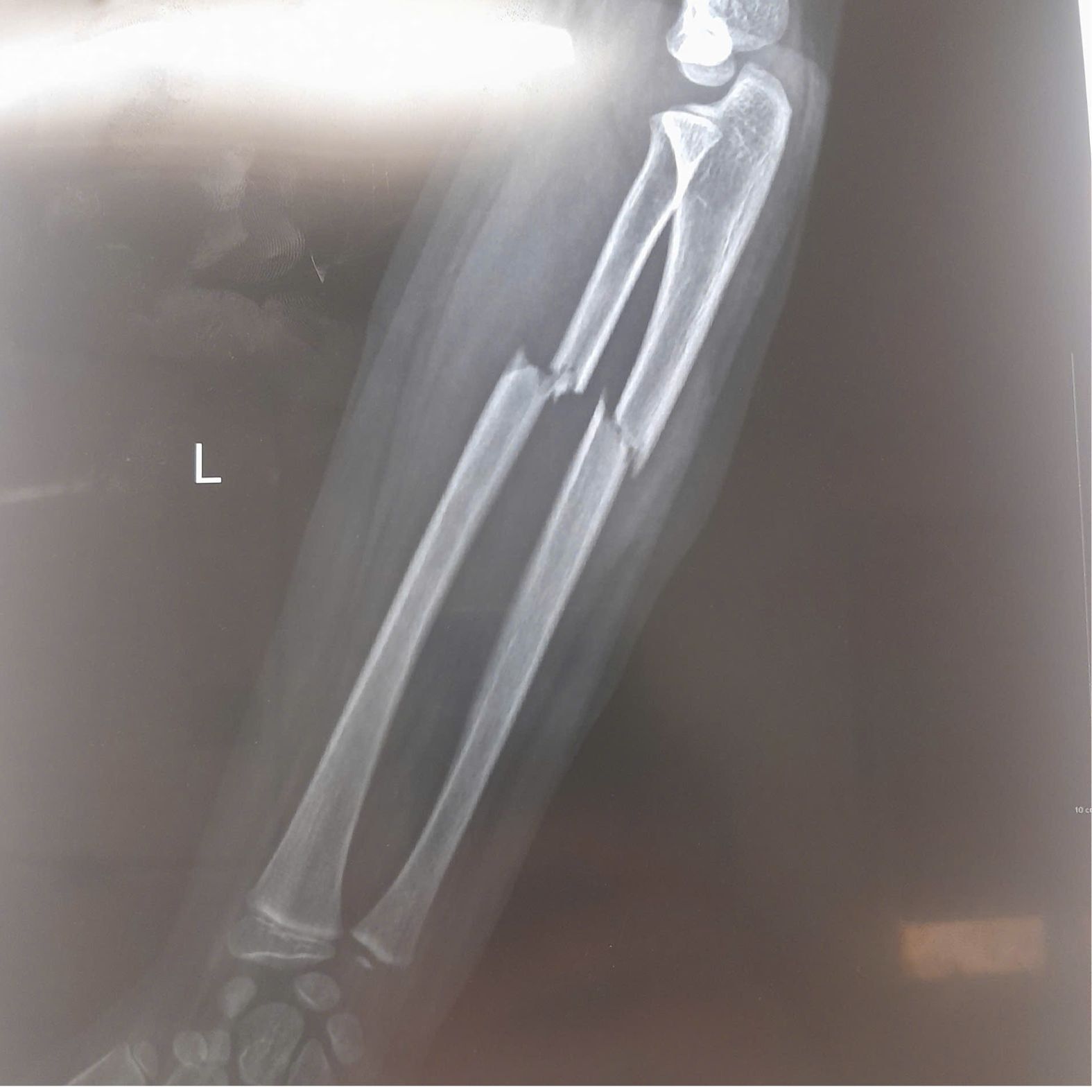
Bệnh nhi N.M.H. (7 tuổi, Bắc Ninh) đến thăm khám tại BVĐK Hồng Ngọc trong tình trạng đau nhiều vùng cẳng tay trái, hạn chế vận động sau khi đi xe đạp bị ngã. Kết quả chụp X-quang cho thấy bé bị gãy kín 1/3 trên cả hai xương cẳng tay trái (xương quay và xương trụ), có mảnh xương di lệch.
Theo ThS.BS Trương Xuân Quang (Chuyên gia phẫu thuật chấn thương chỉnh hình, BVĐK Hồng Ngọc) gãy cẳng tay là chấn thương phổ biến ở trẻ em do đặc điểm yếu dễ gãy khi bị va đập hoặc té ngã.
Bệnh nhi H. mới 7 tuổi nhưng nặng tới 40kg, tương đương trẻ 15 tuổi. Thể trọng lớn khiến đoạn xương gãy chịu áp lực cao, hình thành đường gãy phức tạp và có di lệch. Thông thường, bó bột là chỉ định ưu tiên trong điều trị gãy xương ở trẻ nhỏ.
Tuy nhiên, vị trí gãy của bé nằm ở 1/3 trên hai xương cẳng tay, khó nắn chỉnh để đưa xương về đúng vị trí giải phẫu, nguy cơ xương liền lệch là rất cao. Bên cạnh đó, việc phải bất động tay suốt 4 - 6 tuần có thể gây hạn chế vận động, dẫn tới cứng khớp và khiến quá trình phục hồi chức năng sau này kéo dài, khó khăn hơn.
Gãy kín 1/3 trên hai xương cẳng tay trái gây đau, hạn chế vận động.
Đối với trẻ có thể trạng và tổn thương như vậy, phương pháp phẫu thuật kết hợp xương là lựa chọn tối ưu. Việc sử dụng nẹp và vít chuyên dụng giúp cố định các đoạn gãy, đưa xương về đúng vị trí giải phẫu, bảo tồn vùng sụn tăng trưởng. Phẫu thuật còn tạo điều kiện thuận lợi cho quá kích thích hình thành tế bào xương, tế bào sụn và các sợi collagen giúp xương liền tự nhiên sau 3-6 tuần.
Sau khi hội chẩn chuyên khoa, ê-kíp đã thống nhất phương án phẫu thuật kết hợp xương để cố định và phục hồi trục chi. Trước khi tiến hành, bệnh nhi được thực hiện đầy đủ các xét nghiệm tiền phẫu như công thức máu, đông máu, điện tim, X-quang phổi và đánh giá gây mê nhằm đảm bảo an toàn tối đa trong suốt quá trình phẫu thuật.
Phẫu thuật kết hợp xương giúp khôi phục vận động, tránh biến chứng cứng khớp
Phẫu thuật kết hợp xương là phương pháp điều trị gãy xương ít xâm lấn, được chỉ định trong các trường hợp gãy xương ở nhiều vị trí khác nhau (xương chậu, xương đòn, đầu xa xương chày, đầu xa xương cánh tay...), gãy thành nhiều mảnh, mảnh gãy có di lệch khỏi vị trí ban đầu. Kỹ thuật này đòi hỏi phẫu thuật viên giàu kinh nghiệm, am hiểu cấu trúc xương của trẻ để tránh làm tổn thương vùng sụn và sự phát triển chi thể về sau.
Phẫu thuật kết hợp xương giúp trẻ sớm lấy lại vận động.
Sau hơn 1 giờ phẫu thuật, dưới sự hỗ trợ của hệ thống máy C-arm, ê-kíp phẫu thuật tiến hành nắn chỉnh trục xương giúp đưa hai đầu xương gãy và mảnh xương di lệch về đúng vị trí giải phẫu, khôi phục chiều dài và chức năng sấp, ngửa của cẳng tay. Sau đó, phẫu thuật viên đặt nẹp vít cố định nhằm giữ vững hai đoạn xương, tạo điều kiện cho quá trình liền xương diễn ra đúng vị trí giải phẫu, tránh nguy cơ sai lệch hoặc biến dạng.
Toàn bộ quá trình phẫu thuật được thực hiện qua một đường mổ nhỏ ở phía trước. Chỉ với một đường tiếp cận này, phẫu thuật viên có thể nắn chỉnh và cố định đồng thời cả hai xương gãy, giúp giảm tổn thương phần mềm, hạn chế mất máu và giảm đau sau mổ cho bệnh nhi.
Phẫu thuật kết hợp xương cố định xương gãy, phục hồi vận động sớm.
Sau mổ, bệnh nhi tỉnh táo, vết mổ khô và liền tốt sau 4 ngày, không sưng nề hay nhiễm trùng. Bé được hướng dẫn tập phục hồi chức năng sớm với liệu trình được xây dựng riêng theo tiến trình hồi phục của cơ thể, giúp duy trì tầm vận động khớp, tránh cứng khớp và dính gân sau phẫu thuật; đồng thời tập luyện sớm đóng vai trò quan trọng giúp máu lưu thông tốt hơn, kích thích liền xương nhanh và sớm khôi phục chức năng cánh tay.
Bác sĩ Nguyễn Văn Tú (Khoa Ngoại tổng hợp BVĐK Hồng Ngọc) động viên bệnh nhi trong quá trình hồi phục sau mổ.
Theo ThS.BS Trương Xuân Quang, ở trẻ nhỏ, hệ thống xương vẫn đang trong giai đoạn phát triển, hoạt động của tế bào tạo xương diễn ra mạnh mẽ, vì vậy quá trình liền xương diễn ra nhanh chóng. Sau mổ 3-4 tuần, tay của bé có thể vận động nhẹ, cầm nắm đồ vật và thực hiện các hoạt động sinh hoạt cá nhân, tuy nhiên cần hạn chế vận động mạnh hoặc mang vác nặng.
Sau 9 - 12 tháng khi xương đã liền vững, dụng cụ nẹp vít sẽ được tháo để tránh ảnh hưởng đến sự phát triển của xương trong giai đoạn dậy thì và đảm bảo chi thể phát triển cân đối. Sau khi tháo dụng cụ, trẻ cần theo dõi định kỳ theo chỉ dẫn của bác sĩ.
Thông qua ca bệnh, bác sĩ khuyến cáo: Gãy xương ở trẻ nhỏ nếu không được chẩn đoán và điều trị đúng cách có thể khiến xương lệch trục, biến chứng cứng khớp, hạn chế vận động cổ tay, khuỷu tay, gây khó khăn trong sinh hoạt và học tập của trẻ về sau. Vì vậy, khi trẻ gặp các chấn thương phụ huynh cần đưa trẻ đến cơ sở y tế có chuyên khoa Chấn thương chỉnh hình để thăm khám và đưa ra hướng xử lý phù hợp với tình trạng của trẻ.
Hà An
Nguồn VTC : https://vtcnews.vn/be-trai-7-tuoi-gay-xuong-cang-tay-suyt-mat-van-dong-sau-cu-nga-xe-dap-ar972283.html