Bệnh nhân Việt Nam đầu tiên được phẫu thuật robot cắt phổi biệt lập

Bệnh nhân Việt Nam đầu tiên được phẫu thuật robot cắt phổi biệt lập
2 giờ trướcBài gốc
Phẫu thuật robot tại Bệnh viện Bình Dân. Ảnh: Nhung Trần.
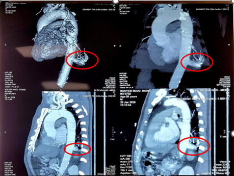
Bệnh nhân là ông N.N.T. (56 tuổi, ngụ Tây Ninh), tình cờ phát hiện tổn thương thùy dưới phổi trái khi khám sức khỏe định kỳ. Tại Bệnh viện Bình Dân, các bác sĩ chẩn đoán người bệnh mắc phổi biệt lập nội thùy với khối kích thước 23x26 mm.
Đáng chú ý, động mạch nuôi khối này xuất phát trực tiếp từ động mạch chủ ngực xuống, đường kính lên tới 17 mm, tiềm ẩn nguy cơ chảy máu nghiêm trọng nếu không được xử trí kịp thời.
Bác sĩ chuyên khoa II Nguyễn Văn Việt Thành, Trưởng khoa Ngoại Lồng ngực - Bướu cổ, cho biết thách thức lớn nhất của ca mổ là phẫu tích nhánh động mạch nuôi có kích thước lớn, thành mạch dễ tổn thương và dính do tình trạng viêm mạn tính. Chỉ một sai sót nhỏ có thể gây biến chứng chảy máu khó kiểm soát.
Sau hội chẩn toàn viện, ê-kíp quyết định lựa chọn phẫu thuật robot nhằm tối ưu độ chính xác và an toàn. So với mổ mở truyền thống phải rạch ngực rộng, banh sườn hoặc nội soi lồng ngực kinh điển, phẫu thuật robot ít xâm lấn hơn.
Hệ thống này cung cấp hình ảnh 3D độ phân giải cao, phóng đại nhiều lần, giúp bác sĩ nhận diện rõ các cấu trúc mạch máu bất thường nằm sâu trong lồng ngực. Các cánh tay robot có khả năng xoay linh hoạt, hỗ trợ thao tác khâu buộc, kẹp mạch sát động mạch chủ chính xác hơn, đồng thời loại bỏ rung tay sinh lý.
Hình chụp cắt lớp vi tính đa dãy ngực của bệnh nhân. Ảnh: BVCC.
Ca phẫu thuật được thực hiện ngày 12/2, kéo dài khoảng 120 phút. Ê-kíp đã cắt trọn phần phổi biệt lập, bảo tồn an toàn động mạch chủ ngực xuống, không xảy ra biến chứng chảy máu. Nhờ không phải banh sườn, vết mổ nhỏ, người bệnh ít đau, giảm mất máu và hồi phục nhanh. Sau 4 ngày, bệnh nhân xuất viện trong tình trạng ổn định.
Phổi biệt lập (Bronchopulmonary Sequestration - BPS) là dị tật bẩm sinh hiếm gặp, chiếm khoảng 0,15-6,4% các dị tật phổi. Bệnh có hai dạng là nội thùy (chiếm khoảng 75%) và ngoại thùy (25%), thường gặp ở thùy dưới phổi trái. Đây là phần mô phổi phát triển bất thường từ giai đoạn phôi thai, không thông với đường thở và không tham gia chức năng hô hấp.
Điểm nguy hiểm của bệnh nằm ở nguồn cấp máu bất thường. Thay vì nhận máu từ động mạch phổi, mô biệt lập lại được nuôi trực tiếp từ hệ động mạch chủ, nơi có áp lực máu cao. Nếu không điều trị, người bệnh có thể đối mặt nguy cơ ho ra máu ồ ạt, xuất huyết trong lồng ngực, nhiễm trùng tái diễn, áp xe phổi, thậm chí suy tim do luồng thông bất thường.
"Y văn thế giới cũng ghi nhận một số trường hợp thoái hóa ác tính trên nền mô phổi biệt lập", bác sĩ Thành nói.
Theo bác sĩ Thành, phẫu thuật là phương pháp điều trị triệt để duy nhất, đặc biệt nên thực hiện trước khi xuất hiện biến chứng. Người có biểu hiện viêm phổi tái diễn tại một vị trí cố định, ho ra máu hoặc phát hiện khối bất thường ở phổi nên đến cơ sở chuyên sâu để được tầm soát bằng các phương tiện chẩn đoán hình ảnh như chụp cắt lớp vi tính đa dãy (MSCT).
Nguyễn Thuận
Nguồn Znews : https://znews.vn/benh-nhan-viet-nam-dau-tien-duoc-phau-thuat-robot-cat-phoi-biet-lap-post1631567.html