Bệnh viện Bình Dân phẫu thuật robot cắt phổi biệt lập, xử trí dị tật hiếm gặp trong lồng ngực

Bệnh viện Bình Dân phẫu thuật robot cắt phổi biệt lập, xử trí dị tật hiếm gặp trong lồng ngực
4 giờ trướcBài gốc
Tình cờ phát hiện dị tật nguy hiểm
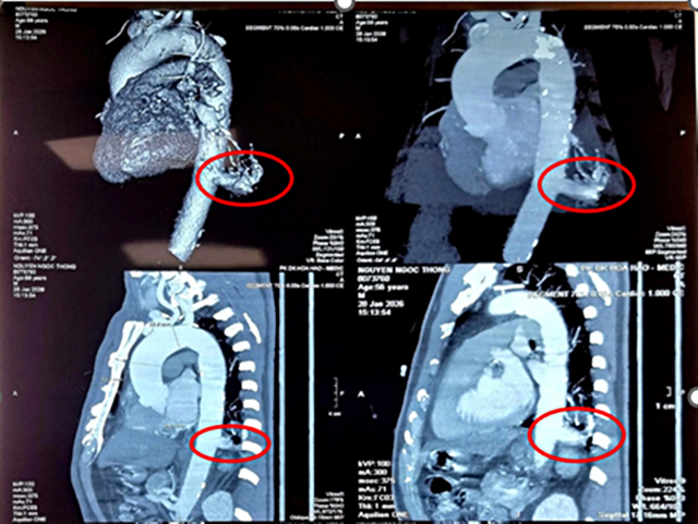
Người bệnh là ông N.N.T (56 tuổi, Tây Ninh), tình cờ phát hiện tổn thương ở thùy dưới phổi trái khi khám sức khỏe tổng quát. Kết quả chụp cắt lớp vi tính cho thấy khối phổi biệt lập kích thước 23x26mm.
Điểm đáng lo ngại là động mạch nuôi khối này xuất phát trực tiếp từ động mạch chủ ngực xuống, đường kính lên tới 17mm – kích thước lớn, tiềm ẩn nguy cơ chảy máu ồ ạt nếu vỡ.
Hình chụp MSCT lồng ngực ông T. Ảnh: BVCC.
ThS.BS.CKII Nguyễn Văn Việt Thành - Trưởng khoa Ngoại Lồng ngực – Bướu cổ cho biết, khó khăn lớn nhất là xử lý nhánh động mạch bất thường này.
"Mạch máu to, thành mạch dễ tổn thương và thường dính do viêm mạn tính. Chỉ một sai sót nhỏ có thể gây chảy máu không kiểm soát" - bác sĩ Thành chia sẻ.
Trước nguy cơ biến chứng cao, hội chẩn toàn viện đã quyết định lựa chọn phẫu thuật robot nhằm tăng độ chính xác và an toàn.
Ưu thế của phẫu thuật robot trong lồng ngực
Trước đây, cắt phổi chủ yếu thực hiện bằng mổ mở với đường rạch lớn và phải banh sườn. Sau đó, phẫu thuật nội soi lồng ngực giúp giảm xâm lấn.
Tuy nhiên, với bệnh lý có mạch máu bất thường lớn nằm sát động mạch chủ như phổi biệt lập, yêu cầu thao tác chính xác gần như tuyệt đối.
Hệ thống robot hỗ trợ phẫu thuật mang lại hình ảnh 3D độ phân giải cao, phóng đại nhiều lần, giúp phẫu thuật viên nhận diện rõ các nhánh mạch máu sâu trong lồng ngực.
Cánh tay robot có thể xoay linh hoạt với biên độ lớn, thao tác tinh vi hơn dụng cụ nội soi thẳng. Đồng thời, hệ thống còn lọc rung tay tự nhiên, giúp thao tác bóc tách, kẹp và khâu buộc mạch máu chính xác hơn.
Kíp can thiệp đã tiến hành cắt thùy dưới phổi trái bằng robot. Sau khoảng 120 phút, phần phổi biệt lập được cắt trọn, bảo tồn an toàn động mạch chủ ngực xuống, không xảy ra biến chứng chảy máu.
Nhờ không phải mổ hở banh sườn và chỉ tạo các lỗ trocar nhỏ, người bệnh ít đau sau mổ, giảm mất máu và hồi phục nhanh. Ông T. xuất viện sau 4 ngày trong tình trạng ổn định.
Ông T. xuất viện chỉ sau 4 ngày can thiệp. Ảnh: BVCC.
Phổi biệt lập – "khối mô dư thừa" có thể gây biến chứng nặng
Phổi biệt lập (Bronchopulmonary Sequestration) là dị tật bẩm sinh hiếm, chiếm khoảng 0,15–6,4% các dị tật phổi. Bệnh có hai dạng: Nội thùy (khoảng 75%) và ngoại thùy (25%), thường gặp ở thùy dưới phổi trái.
Hiểu đơn giản, đây là phần mô phổi phát triển bất thường từ giai đoạn phôi thai, không thông với đường thở và không tham gia hô hấp.
Điểm nguy hiểm nằm ở nguồn máu nuôi: Thay vì nhận máu từ động mạch phổi, khối này lại được cấp máu trực tiếp từ hệ động mạch chủ – nơi có áp lực cao.
Nếu không điều trị, người bệnh có thể đối mặt nhiều biến chứng như ho ra máu ồ ạt, xuất huyết khoang màng phổi, nhiễm trùng tái phát tại một vị trí cố định, thậm chí suy tim do luồng thông máu bất thường.
Dù hiếm, y văn cũng ghi nhận trường hợp ung thư phát triển trên nền mô phổi biệt lập.
Phẫu thuật là phương pháp điều trị duy nhất
Theo các chuyên gia, phẫu thuật cắt bỏ phần phổi biệt lập là phương pháp điều trị triệt để duy nhất, đặc biệt nên thực hiện khi chưa xuất hiện biến chứng nhiễm trùng hoặc chảy máu.
Hiệu quả điều trị phụ thuộc vào sự phối hợp đa chuyên khoa, từ chẩn đoán hình ảnh, gây mê hồi sức đến phẫu thuật lồng ngực và mạch máu.
Do đó, những trường hợp phức tạp cần được thực hiện tại cơ sở ngoại khoa chuyên sâu.
Thành công của ca mổ robot tại Bệnh viện Bình Dân cho thấy, người bệnh trong nước đã có thể tiếp cận kỹ thuật cao ngay tại Việt Nam, giảm tình trạng phải điều trị ở nước ngoài.
Các bác sĩ khuyến cáo, người có biểu hiện viêm phổi tái diễn cùng một vị trí, ho ra máu hoặc phát hiện khối bất thường ở phổi qua khám sức khỏe nên đến cơ sở chuyên khoa để được tầm soát.
Chụp cắt lớp vi tính đa dãy (MSCT) có thể giúp phát hiện sớm phổi biệt lập, từ đó can thiệp kịp thời, tránh biến chứng nguy hiểm.
Đỗ Bá
Nguồn SK&ĐS : https://suckhoedoisong.vn/benh-vien-binh-dan-phau-thuat-robot-cat-phoi-biet-lap-xu-tri-di-tat-hiem-gap-trong-long-nguc-169260304141619073.htm