Bệnh viện C Đà Nẵng phẫu thuật thành công ca ung thư khí quản.

Bệnh viện C Đà Nẵng phẫu thuật thành công ca ung thư khí quản.
11 giờ trướcBài gốc
Ngày 15/4, Bác sỹ Nguyễn Anh Thư- Trưởng Phòng Kế hoạch- Tổng hợp Bệnh viện C Đà Nẵng cho biết, vừa qua, các bác sĩ Bệnh viện C Đà Nẵng đã thực hiện thành công ca phẫu thuật cắt đoạn khí quản và tái tạo đường thở cho bệnh nhân Đ.T.T (61 tuổi) mắc ung thư khí quản. Đây là một trong những phẫu thuật khó, ít được triển khai thường quy, đòi hỏi trình độ chuyên môn cao, khả năng phối hợp liên chuyên khoa chặt chẽ và kinh nghiệm xử lý tình huống trong mổ.
Ca bệnh hiếm gặp, chẩn đoán khó
Bệnh nhân nhập viện trong tình trạng khó thở kéo dài, thở khò khè nhiều tháng nhưng trước đó chưa xác định được nguyên nhân. Sau khi tiếp nhận, các bác sĩ Trung tâm Ung bướu - Bệnh viện C Đà Nẵng, dưới sự chỉ đạo của Giám đốc Trung tâm – BS CKII. Võ Trung Nghĩa đã đánh giá toàn diện, chỉ định các phương tiện chẩn đoán chuyên sâu và phát hiện khối u nằm trong khí quản – vị trí rất nguy hiểm vì chỉ cần bít tắc thêm một phần nhỏ cũng có thể đe dọa tính mạng.
Khối u nằm sát thanh quản, ngay đoạn trên của khí quản, khiến việc điều trị trở nên đặc biệt phức tạp. Đây là vùng giải phẫu hẹp, tập trung nhiều cấu trúc quan trọng liên quan đến hô hấp, phát âm và nuốt.
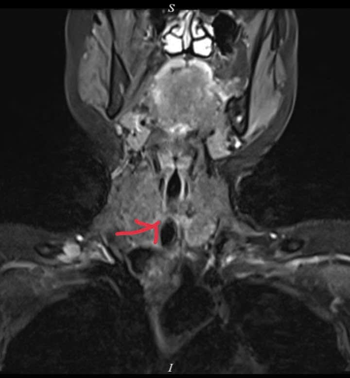
Hình ảnh khối u chèn ép gây hẹp khít đường thở của bệnh nhân.
Hình ảnh khối u chèn ép gây hẹp khít đường thở của bệnh nhân.
Thử thách lớn trong gây mê và phẫu thuật
Điểm khó nhất của ca mổ là bệnh nhân vừa có khối u gây hẹp đường thở, vừa cần gây mê để phẫu thuật. Trong những trường hợp như vậy, việc kiểm soát hô hấp trong lúc mổ là thách thức rất lớn, đòi hỏi ê-kíp gây mê phải có kinh nghiệm và phối hợp chính xác từng thời điểm với phẫu thuật viên.
Bệnh nhân đã được hồi phục tốt sau phẫu thuật.
Ca mổ dự kiến phức tạp, cần có sự hỗ trợ tối đa của hệt thống camera giúp đặt nội khí quản thuận lợi.
Dù tiên lượng sẽ gặp nhiều thách thức trong quá trình phẫu thuật và hẫu phẫu của người bệnh nhưng với sự hỗ trợ tối đa của BS CKII . Nguyễn Hữu Hòa- chuyên gia có uy tín về lĩnh vực phẫu thuật ung thư đầu cổ trong nhiều năm qua, ca mổ vẫn được thực hiện để lấy lại cơ hội sống cũng như chất lượng sống cho bệnh nhân.
Ê kíp thực hiện ca mổ trong suốt 4 tiếng đồng hồ.
Trong quá trình mổ, các bác sĩ phải cắt bỏ hoàn toàn đoạn khí quản chứa khối u, đồng thời đảm bảo diện cắt sạch tế bào ung thư. Sau đó, phần khí quản còn lành được nối lại ngay lập tức để tái lập đường thở tự nhiên cho người bệnh. Công đoạn này yêu cầu độ chính xác rất cao vì chỉ cần sai lệch nhỏ cũng có thể gây rò miệng nối, hẹp khí quản hoặc ảnh hưởng chức năng hô hấp về sau.
Ngoài ra, các bác sĩ còn phải bảo tồn tối đa dây thần kinh chi phối giọng nói và các cấu trúc vùng cổ quan trọng, giúp bệnh nhân không chỉ được cứu sống mà còn duy trì chất lượng cuộc sống sau điều trị.
Bệnh nhân đang được các bác sĩ Bệnh viện C Đà Nẵng thực hiện ca phẫu thuật.
Bệnh nhân hậu phẫu ngày thứ 1 sau phẫu thuật.
Bệnh nhân hồi phục tốt sau mổ- khẳng định năng lực chuyên môn cao của bệnh viện tuyến cuối khu vực.
Sau phẫu thuật, bệnh nhân tỉnh táo sớm, tự thở tốt, nói chuyện được và ăn uống bằng đường miệng. Tình trạng hồi phục thuận lợi cho thấy hiệu quả của kỹ thuật mổ cũng như chất lượng chăm sóc hậu phẫu toàn diện tại bệnh viện tuyến cuối khu vực miền Trung.
Theo đánh giá của giới chuyên môn tại Đà Nẵng, thành công của ca mổ là minh chứng rõ nét cho năng lực ngày càng phát triển của đội ngũ bác sĩ Bệnh viện C Đà Nẵng trong lĩnh vực ngoại khoa chuyên sâu, đặc biệt là phẫu thuật ung thư vùng đầu cổ và lồng ngực.
Việc làm chủ kỹ thuật cắt – nối khí quản, vốn là kỹ thuật khó tại nhiều cơ sở y tế, cho thấy bệnh viện đã xây dựng được đội ngũ phẫu thuật viên giàu kinh nghiệm, hệ thống gây mê hồi sức hiện đại và quy trình phối hợp đa chuyên khoa hiệu quả. Đây là nền tảng quan trọng để tiếp tục triển khai các kỹ thuật cao, phục vụ người dân khu vực miền Trung – Tây Nguyên.
Ca phẫu thuật thành công không chỉ mang lại cơ hội sống cho người bệnh mà còn tiếp tục khẳng định vị thế của Bệnh viện C Đà Nẵng là cơ sở y tế lớn, đủ năng lực tiếp nhận và xử trí các ca bệnh khó, bệnh hiếm, kỹ thuật cao; giúp người dân được điều trị chất lượng ngay tại địa phương.
Lưu Thảo Ly
Nguồn Đại Biểu Nhân Dân : https://daibieunhandan.vn/benh-vien-c-da-nang-phau-thuat-thanh-cong-ca-ung-thu-khi-quan-10413704.html