Biểu hiện sán ký sinh trong não

Biểu hiện sán ký sinh trong não
3 giờ trướcBài gốc
Sau khi vào cơ thể, ấu trùng xuyên qua thành ruột, theo đường máu đến não, phổi, gan hoặc các cơ quan khác và “trú ngụ” tại đó. Ảnh: Freepik.
Bác sĩ Tạ Huy Hải, khoa Điều trị, Viện Sốt rét - Ký sinh trùng - Côn trùng Trung ương, cho biết sán não là tình trạng ấu trùng sán dây lợn (Taenia solium) ký sinh trong não, tạo thành các nang sán (cysticercus) gây tổn thương nhu mô não. Số lượng nang càng nhiều, mức độ ảnh hưởng đến hệ thần kinh càng lớn.
Âm thầm nhiều năm trước khi phát bệnh
Theo bác sĩ Hải, con người có thể nhiễm bệnh khi ăn thực phẩm nhiễm trứng sán hoặc do tay bẩn đưa trứng sán vào miệng. Sau khi vào cơ thể, ấu trùng xuyên qua thành ruột, theo đường máu đến não, phổi, gan hoặc các cơ quan khác và “trú ngụ” tại đó.
Thạc sĩ, bác sĩ Hà Xuân Nguyên, Trưởng khoa Giải phẫu bệnh, Bệnh viện Hữu nghị Việt Nam - Cuba Đồng Hới, cũng cho hay nếu ấu trùng khu trú tại não, người bệnh sẽ mắc ấu trùng sán não.
Điều đáng lo ngại là thời gian ủ bệnh có thể kéo dài nhiều năm. Trong giai đoạn đầu, người bệnh hầu như không có triệu chứng rõ rệt, khiến nhiều người chủ quan. Bệnh chỉ được phát hiện khi xuất hiện các biểu hiện thần kinh rõ ràng.
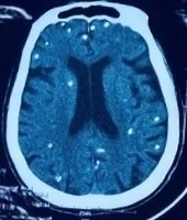
Nhiều nốt cản quang trong nhu mô não của người bệnh. Ảnh: BVCC.
"Người mắc sán não có thể xuất hiện đau đầu dai dẳng, buồn nôn, nôn, co giật (động kinh), tê bì tay chân, rối loạn cảm giác, mất ngủ hoặc suy nhược thần kinh. Ở thể nặng, bệnh nhân có thể tăng áp lực nội sọ, rối loạn tâm thần, thậm chí đột tử", bác sĩ Nguyên nói.
Không chỉ gây tổn thương não, ấu trùng sán còn có thể di chuyển đến mắt, tạo nang ở hốc mắt, mi mắt, kết mạc hoặc thủy tinh thể, làm giảm thị lực, thậm chí mù lòa nếu không phát hiện sớm.
5 giai đoạn tiến triển của bệnh
Theo bác sĩ Nguyên, sán não thường trải qua 5 giai đoạn:
Giai đoạn không nang: Trên CT hoặc MRI chưa thấy nang rõ, chỉ có vùng phù nhẹ. Sau vài tháng, phôi phát triển thành nang đặc trưng.
- Giai đoạn nang dịch: Nang có thành mỏng, chứa dịch trong và ký sinh trùng bên trong. Nếu còn nguyên vẹn, người bệnh có thể chưa có triệu chứng.
- Giai đoạn nang keo: Thành nang dày, dịch bên trong đục. Phản ứng viêm mạnh xuất hiện, người bệnh dễ co giật.
- Giai đoạn nang hạt: Phù nề giảm dần nhưng động kinh vẫn có thể xảy ra do phản ứng viêm quanh ký sinh trùng sắp chết.
- Giai đoạn canxi hóa: Xảy ra khi ký sinh trùng đã chết. Các cơn động kinh vẫn có thể tái phát do phản ứng miễn dịch với xác ký sinh trùng.
Động kinh thường gặp nhất ở giai đoạn nang keo và nang hạt. Việc điều trị phụ thuộc vào tình trạng nang sán còn sống hay đã chết và các biến chứng kèm theo.
Nếu ký sinh trùng đã chết, điều trị chủ yếu là kiểm soát triệu chứng, đặc biệt là dùng thuốc chống co giật để kiểm soát động kinh. Thời gian điều trị có thể kéo dài và chưa có mốc cố định.
Nếu ký sinh trùng còn sống hoặc đang hoạt động, người bệnh có thể được điều trị thuốc đặc trị như albendazole. Trong trường hợp có viêm não, viêm mạch, viêm màng nhện, bác sĩ thường chỉ định dùng steroid hoặc thuốc ức chế miễn dịch trước khi sử dụng thuốc diệt sán nhằm hạn chế phản ứng viêm.
Một số trường hợp nang lớn dưới màng nhện hoặc trong tủy sống có thể cần điều trị nhiều đợt. Nếu sán gây tổn thương mắt hoặc chèn ép nghiêm trọng, người bệnh có thể phải can thiệp phẫu thuật.
Các chuyên gia cảnh báo sán não có thể gây biến chứng nguy hiểm như đột quỵ và không qua khỏi nếu không phát hiện, điều trị kịp thời.
Dù nguy hiểm, sán não hoàn toàn có thể phòng tránh. Bác sĩ Hải khuyến cáo người dân tẩy giun định kỳ 6 tháng/lần (với trẻ từ 2 tuổi trở lên), rửa tay trước khi ăn và sau khi đi vệ sinh, ăn chín uống sôi, rửa sạch rau sống.
Đặc biệt, không nên ăn tiết canh, gỏi sống hoặc các thực phẩm tái, chưa nấu kỹ. Giữ vệ sinh cá nhân và an toàn thực phẩm là biện pháp quan trọng nhất để ngăn chặn nguy cơ nhiễm sán não.
Phương Anh
Nguồn Znews : https://znews.vn/bieu-hien-san-ky-sinh-trong-nao-post1628869.html