Bùng nổ AI trong tầm soát ung thư vú: Cuộc cách mạng cứu sống phụ nữ Việt

Bùng nổ AI trong tầm soát ung thư vú: Cuộc cách mạng cứu sống phụ nữ Việt
một giờ trướcBài gốc
Trong hành lang các khoa chẩn đoán hình ảnh, nơi những tấm nhũ ảnh được phóng to, thu nhỏ hàng trăm lần mỗi ngày, một thay đổi sâu sắc đang diễn ra. Trí tuệ nhân tạo (AI) - trước đây chỉ là khái niệm xuất hiện trong hội thảo hoặc phòng nghiên cứu - giờ đã lặng lẽ bước vào thực tế lâm sàng. Nó ngồi cạnh bác sĩ, soi từng milimet hình ảnh, đánh dấu những điểm bất thường mà mắt thường có thể bỏ qua.
Những khoảnh khắc AI tìm thấy ung thư mà bác sĩ bỏ sót
Tại Bệnh viện Ung Bướu TP.HCM - nơi lượng bệnh nhân ung thư vú đến tầm soát ngày càng tăng - các bác sĩ chẩn đoán hình ảnh không còn phải chiến đấu đơn độc trước hàng trăm phim mỗi ngày.
Khi AI trở thành “bản đồ chiến lược” của phẫu thuật viên
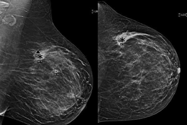
Họ có đồng đội mới - phần mềm AI-CAD (trí tuệ nhân tạo hỗ trợ đọc nhũ ảnh) và hệ thống Genius AI Detection (hệ thống học sâu thế hệ mới) - hoạt động liên tục, không mệt mỏi, không phân tâm, không bị áp lực vì ca trực kéo dài.
BSCK2 Nguyễn Tín Trung - Khoa chẩn đoán hình ảnh, Bệnh viện Ung Bướu TP.HCM, người tham gia trực tiếp vào việc ứng dụng AI tại bệnh viện - nhìn nhận rằng “AI không thay bác sĩ, nhưng giúp bác sĩ nhìn sâu hơn và rộng hơn trong mỗi tấm nhũ ảnh".
Điều này không phải lời khen mang tính quảng cáo. Khi những thuật toán học sâu có thể phân tích hàng triệu pixel trực tiếp từ ảnh, AI không chỉ mô phỏng cách con người đánh giá hình ảnh mà thực sự trở thành “con mắt thứ hai” - sắc bén và kiên định hơn.
Giữa hàng nghìn ca đọc phim mỗi năm, có những khoảnh khắc khiến bác sĩ phải giật mình. “Một bệnh nhân được đánh giá nhũ ảnh là BI-RADS 2 – gần như lành tính – nhưng AI-CAD lại đánh dấu một vùng mờ với điểm nghi ngờ đến 97%. Khi siêu âm bổ sung được thực hiện ngay trong ngày, một khối ung thư biểu mô ống xâm nhập kích thước 15mm xuất hiện rõ mồn một”, bác sĩ Trung thông tin.
Một trường hợp khác còn đáng suy ngẫm hơn. Theo bác sĩ Nguyễn Tín Trung, trường hợp này, kết quả đọc phim ban đầu kết luận BI-RADS 1, tức hoàn toàn bình thường. Nhưng AI vẫn âm thầm đánh dấu một điểm bất thường với mức cảnh báo 93%. Gần 20 tháng sau, khi bệnh nhân quay lại kiểm tra, tổn thương ấy mới được bác sĩ nhận diện bằng mắt thường, và kết quả giải phẫu bệnh xác nhận ung thư vú.
“Trong nghiên cứu 24 ca ung thư vú tại Bệnh viện Ung Bướu TP.HCM từ 2019 đến 2020, AI-CAD phát hiện thêm gần 18% trường hợp bị bỏ sót trên phim sàng lọc. Con số ấy cho thấy khoảng cách rất mỏng nhưng đầy nguy hiểm giữa “thấy” và “không thấy” trong chẩn đoán ung thư vú - khoảng cách mà AI đang nỗ lực thu hẹp từng ngày”, bác sĩ Trung cho biết.
Từ CAD đến Deep Learning: Bước nhảy thay đổi toàn bộ cuộc chơi
Trước khi AI học sâu xuất hiện, CAD (đọc nhũ ảnh) truyền thống chỉ dựa trên tập hợp các đặc điểm mà bác sĩ “dạy” cho máy tính. Hệ thống này phân tích hình ảnh theo những mô tả định sẵn và đưa ra khả năng mắc ung thư. Mặc dù hữu ích, CAD vẫn hai điểm yếu lớn: phụ thuộc vào đặc điểm thủ công và khó phân biệt tổn thương lành - ác tính khi hình ảnh phức tạp.
Phân tích của bác sĩ Nguyễn Tín Trung cho thấy Deep Learning (học sâu) mở ra cánh cửa mới. Thay vì trông đợi vào vài chục đặc điểm mô tả, máy học sâu tự xử lý hàng nghìn pixel thô, nhiều lớp dữ liệu phức tạp, giống như bộ não con người đang được huấn luyện mỗi ngày. Từ đó, hệ thống như Genius AI Detection không chỉ “nhìn” hình ảnh mà còn “hiểu” cấu trúc tổn thương.
Sự khác biệt rõ nhất nằm ở độ chính xác. Khi kết hợp với tầm soát ung thư vú sớm bằng Tomosynthesis (DBT) - nhũ ảnh 3D giúp tách riêng từng lớp mô - AI không còn bị đánh lừa bởi sự chồng lấp mô vú như ảnh 2D truyền thống. Nhờ đó, độ nhạy trong phát hiện ung thư tăng đáng kể, độ đặc hiệu cũng tăng lên, giúp giảm đáng kể các trường hợp dương tính giả.
Một trong những thách thức lớn nhất của tầm soát ung thư vú tại Việt Nam là tình trạng quá tải. Số phụ nữ chủ động tầm soát tăng mạnh trong giai đoạn gần đây, nhưng số bác sĩ chẩn đoán hình ảnh chuyên sâu lại tăng không tương ứng. Đọc nhũ ảnh luôn là công việc đòi hỏi sự tập trung cực cao, bởi chỉ một chi tiết mờ nhạt bị bỏ qua cũng có thể dẫn đến chẩn đoán trễ, đồng nghĩa với mất cơ hội điều trị sớm.
Trong hoàn cảnh đó, AI không phải “người thay thế”, mà là “trợ lý ưu việt”. Hệ thống AI đánh dấu trước các vùng nghi ngờ, giúp bác sĩ tập trung vào những khu vực quan trọng nhất thay vì phải dò từng chi tiết nhỏ trên cả tấm phim. Sự kết hợp giữa bác sĩ và AI làm giảm đáng kể sai sót, đồng thời tăng độ tự tin khi đưa ra chẩn đoán.
Thống kê tại Bệnh viện Ung Bướu TP.HCM cho thấy khi có AI hỗ trợ, độ nhạy trong phát hiện ung thư tăng từ 77% lên 85%. Đây là mức tăng có ý nghĩa quyết định với tính mạng bệnh nhân. Độ đặc hiệu cũng được cải thiện rõ rệt, từ 62,7% lên 69,6%. Đặc biệt, tỉ lệ recall - vốn gây lo lắng cho bệnh nhân và tốn kém cho hệ thống - giảm từ 38% xuống 30,9%.
Điều đó đồng nghĩa với việc AI không chỉ giúp chẩn đoán tốt hơn mà còn giảm áp lực tài chính và tâm lý cho người bệnh.
Khi AI trở thành “bản đồ chiến lược” của phẫu thuật viên
Trong điều trị ung thư vú, phẫu thuật không chỉ là cắt bỏ khối u. Với xu hướng bảo tồn vú hiện đại, bác sĩ cần biết chính xác vị trí tổn thương, kích thước, độ lan rộng và mối liên quan với các cấu trúc xung quanh.
“Genius AI Detection v2.0 đưa bản đồ tổn thương lên một tầm cao mới. Hệ thống tự động xác định từng tổn thương và các cụm vi vôi hóa, tái hiện chúng một cách trực quan và chính xác. Điều này trở thành công cụ cực kỳ giá trị cho bác sĩ phẫu thuật, giúp họ lập kế hoạch mổ hợp lý và bảo tồn tối đa mô lành”, bác sĩ Trung cho biết.
Không ngoa khi nói rằng bản đồ tổn thương bằng AI đang mở ra chuẩn điều trị mới, nơi mỗi đường dao của phẫu thuật viên đều dựa trên dữ liệu rõ ràng và độ chính xác cao, thay vì phụ thuộc vào kinh nghiệm hoặc phán đoán chủ quan.
Bên cạnh AI, theo bác sĩ Trung, hai công nghệ hình ảnh khác cũng đang làm thay đổi diện mạo tầm soát ung thư vú tại Việt Nam: DBT và chụp nhũ ảnh tăng cường tương phản (CEM).
DBT, với khả năng tạo ra hình ảnh 3D từ nhiều lớp mô, giúp loại bỏ hiện tượng chồng lấp – yếu tố khiến nhiều tổn thương bị che khuất trong ảnh 2D. Trong khi đó, CEM, với độ nhạy cao tương đương MRI nhưng chi phí thấp hơn và thời gian chụp nhanh hơn, đang trở thành lựa chọn thay thế khả thi cho nhiều trường hợp.
Bác sĩ Trung nhấn mạnh: “Khi cả DBT và CEM được kết hợp với AI, hiệu quả chẩn đoán được nâng lên đáng kể, mở ra hy vọng phát hiện ung thư vú ở giai đoạn sớm nhất - nơi tỷ lệ sống có thể lên đến 99%”.
Ung thư vú hiện vẫn là ung thư phổ biến nhất ở phụ nữ Việt Nam. Nhưng chưa bao giờ chúng ta có nhiều công cụ mạnh mẽ như hiện nay. Từ AI-CAD, Deep Learning, bản đồ tổn thương, đến DBT và CEM, tất cả đang hội tụ để tạo ra một hệ sinh thái chẩn đoán mới - thông minh hơn, chính xác hơn và an toàn hơn.
Bác sĩ có kinh nghiệm, trí tuệ và sự thấu cảm. AI có tốc độ, sự kiên nhẫn và độ chính xác lặp lại tuyệt đối. Khi hai lực lượng này kết hợp, bệnh nhân chính là người được hưởng lợi nhiều nhất.
Trong hành trình chống ung thư vú, AI không phải tương lai xa. Nó đang hiện diện từng ngày trong từng tấm phim, từng quyết định chẩn đoán và từng ca phẫu thuật. Cuộc cách mạng ấy đã bắt đầu và nó đang cứu sống hàng nghìn phụ nữ Việt Nam ngay lúc này.
Hồ Quang
Nguồn Một Thế Giới : https://1thegioi.vn/bung-no-ai-trong-tam-soat-ung-thu-vu-cuoc-cach-mang-cuu-song-phu-nu-viet-241962.html