Cấp cứu thành công bé 9 tháng tuổi bị bóng đèn LED mắc kẹt trong phế quản

Cấp cứu thành công bé 9 tháng tuổi bị bóng đèn LED mắc kẹt trong phế quản
3 giờ trướcBài gốc
Bệnh viện Nhi đồng 1, TP. HCM, vừa tiếp nhận và xử trí thành công một trường hợp dị vật đường thở ở trẻ nhỏ, với dị vật là bóng đèn LED nằm sâu trong phế quản gốc phải của bệnh nhi 9 tháng tuổi.
Theo thông tin từ bệnh viện, bệnh nhi N.K.N, 9 tháng tuổi, quê Đồng Tháp, được đưa đến khám trong tình trạng ho nhiều kéo dài 2 ngày.
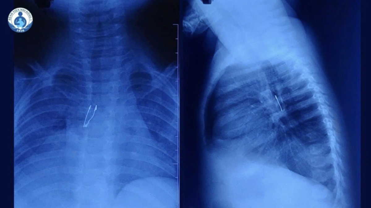
Dị vật nghi ngờ là một bóng đèn LED, nằm sâu trong phế quản gốc phải. Ảnh: BVCC
Trước đó, tại tuyến dưới, hình ảnh X-quang phát hiện dấu hiệu bất thường, nghi ngờ có dị vật đường thở nên bé được chuyển thẳng lên Bệnh viện Nhi đồng 1 để tiếp tục xử trí. Gia đình không xác định được thời điểm trẻ ngậm hoặc sặc dị vật, đồng thời cũng không rõ dị vật cụ thể là gì.
Kết quả chụp X-quang tại bệnh viện cho thấy dị vật cản quang nằm ở phế quản gốc phải, kèm theo tình trạng xẹp phổi phải không hoàn toàn và tràn khí trung thất.
Qua thăm dò, ê-kíp xác định dị vật nghi là một bóng đèn LED mắc sâu trong phế quản gốc phải. Quá trình lấy dị vật gặp nhiều khó khăn do đặc điểm cấu tạo của vật này. Phần đuôi bóng đèn bè to và có cạnh sắc, dễ mắc lại khi kéo qua thanh quản, đồng thời có nguy cơ gây trầy xước, rách niêm mạc hoặc kẹt giữa hai dây thanh.
Trong khi đó, đường thở của trẻ 9 tháng tuổi rất nhỏ, khiến việc quan sát và thao tác trở nên phức tạp hơn.
Để hạn chế tổn thương, bác sĩ phải điều chỉnh dị vật từng chút một, đồng thời lựa hướng phù hợp để đưa phần đầu đèn ra trước. Với loại dị vật sắc nhọn như vậy, nguy cơ tràn khí màng phổi trong quá trình can thiệp cũng được đặt ra.
Sau quá trình nội soi và xử trí thận trọng, dị vật đã được lấy ra an toàn. Theo bệnh viện, sau can thiệp, đường thở của bệnh nhi thông thoáng, không ghi nhận tổn thương đáng kể và không xuất hiện biến chứng tràn khí. Hiện tình trạng hô hấp của trẻ đã ổn định hơn, giảm ho và đang tiếp tục được theo dõi để xem xét xuất viện.
Bệnh viện cho biết, dị vật đường thở ở trẻ nhỏ luôn là tình huống cấp cứu nguy hiểm, đặc biệt với các vật có hình dạng bất thường như bóng đèn LED. Những dị vật này không chỉ gây tắc nghẽn đường thở mà còn có thể làm tổn thương niêm mạc, thủng đường thở hoặc dẫn đến biến chứng nặng nếu không được phát hiện và xử trí kịp thời.
Thực tế, bệnh viện đã từng tiếp nhận nhiều trường hợp trẻ hít phải bóng đèn LED ở nhiều độ tuổi khác nhau, từ trẻ vài tháng tuổi đến trẻ lớn hơn.
Lan Nhi
Nguồn Doanh nhân & Công lý : https://doanhnhan.congly.vn/cap-cuu-thanh-cong-be-9-thang-tuoi-bi-bong-den-led-mac-ket-trong-phe-quan.html