Cấp cứu thành công ca thủng đại tràng do bị vòi rửa xe xịt vào hậu môn

Cấp cứu thành công ca thủng đại tràng do bị vòi rửa xe xịt vào hậu môn
6 giờ trướcBài gốc
Khoa Ngoại tiêu hóa – Bệnh viện Đa khoa Tỉnh Lạng Sơn vừa tiếp nhận và điều trị thành công một trường hợp đau bụng cấp do thủng đại tràng, nguyên nhân hi hữu là do dùng vòi xịt rửa xe ô tô để xịt vào hậu môn.
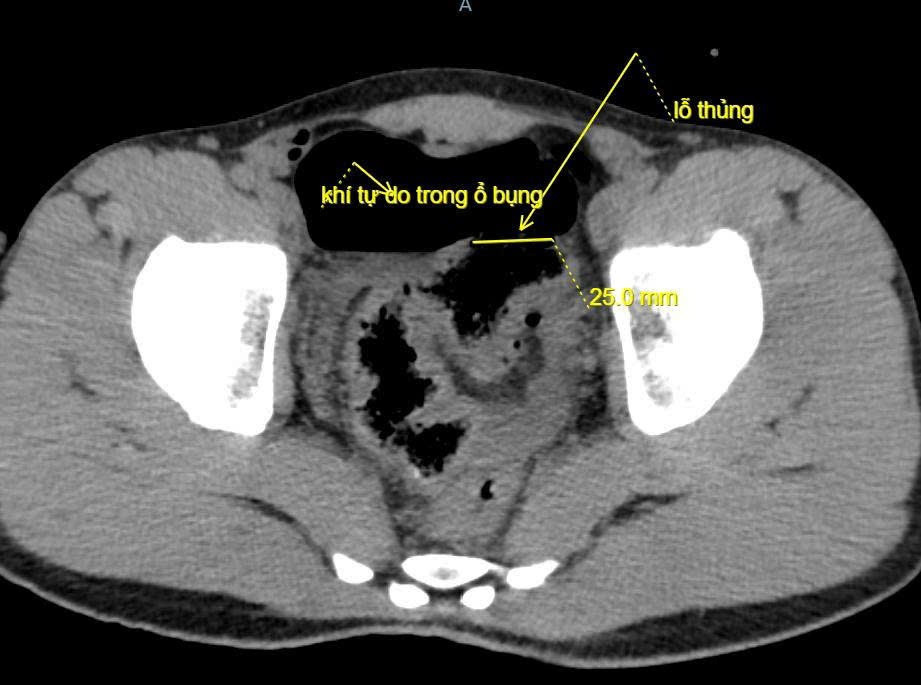
Bệnh nhân nhập viện trong tình trạng đau bụng dữ dội, bụng chướng căng, khó thở và mệt lả. Khai thác bệnh sử ghi nhận trước đó bệnh nhân bị bạn trêu đùa và dùng vòi xịt rửa xe ô tô (áp lực cao) để xịt vào hậu môn. Kết quả chụp X-quang và CT scan ổ bụng cho thấy nhiều khí tự do trong ổ bụng, nghi ngờ thủng tạng rỗng. Bệnh nhân được chỉ định mổ cấp cứu ngay.
Ảnh chụp cắt lớp vi tính ổ bụng/Ảnh BV
Ê-kíp phẫu thuật tiến hành mổ mở bụng thăm dò, phát hiện ổ bụng có khoảng 100ml máu và dịch bẩn. Đại tràng sigma có đoạn tổn thương dài 5cm, lỗ thủng khoảng 2cm, xung quanh dập nát. Bệnh nhân được cắt lọc lỗ thủng, khâu đoạn đại tràng tổn thương, làm sạch ổ bụng và đặt dẫn lưu. Sau phẫu thuật, bệnh nhân được điều trị tích cực bằng kháng sinh, bù dịch, giảm đau và dinh dưỡng hợp lý. Hiện tại bệnh nhân tỉnh, tiến triển tốt, hết đau bụng, bụng mềm, trung tiện được.
Ảnh chụp cắt lớp vi tính ổ bụng/ Ảnh BV
Các bác sĩ khuyến cáo, không sử dụng vòi xịt áp lực cao để xịt vào vùng hậu môn. Theo bác sĩ điều trị, vòi xịt rửa xe ô tô có áp lực nước rất lớn (từ 100–200 bar), có thể gây tổn thương nghiêm trọng cho ống hậu môn, trực tràng và đại tràng. Khi luồng khí hoặc nước áp lực cao xâm nhập vào đường tiêu hóa, khí bị đẩy sâu vào ruột, làm tăng áp lực trong lòng ruột và có thể gây thủng ruột, tràn khí ổ bụng, đe dọa tính mạng người bệnh.
Người dân chỉ nên sử dụng các loại vòi xịt vệ sinh chuyên dụng cho nhà tắm, có áp lực thấp, tuyệt đối không dùng vòi xịt rửa xe, vòi máy nén khí hay các thiết bị áp lực cao để vệ sinh vùng hậu môn – sinh dục.
Khi có triệu chứng đau bụng, chướng bụng, nôn, bí trung đại tiện sau chấn thương vùng bụng - hậu môn, cần đến bệnh viện ngay để được xử trí kịp thời.
Bình Nguyên
Nguồn Tri Thức & Cuộc Sống : https://kienthuc.net.vn/cap-cuu-thanh-cong-ca-thung-dai-trang-do-bi-voi-rua-xe-xit-vao-hau-mon-post1578115.html