Chảy máu ồ ạt từ mũi và miệng, biến chứng nguy hiểm của ung thư vòm hầu

Chảy máu ồ ạt từ mũi và miệng, biến chứng nguy hiểm của ung thư vòm hầu
9 giờ trướcBài gốc
Bệnh nhân là chị T.T.N. (48 tuổi, trú tại xã Ngọc Tố, TP Cần Thơ) được chuyển đến bệnh viện lúc 9h25 ngày 3/3 trong tình trạng chảy máu nhiều từ mũi và miệng. Trước đó, bệnh nhân đã được xử trí cầm máu ban đầu tại tuyến dưới.
Theo thông tin từ gia đình, người bệnh có tiền sử ung thư vòm hầu và đang trong quá trình hóa trị. Ngay sau khi nhập viện, bệnh nhân tiếp tục nôn ra nhiều máu đỏ tươi, khó thở, huyết áp tụt, nguy cơ mất máu cấp.
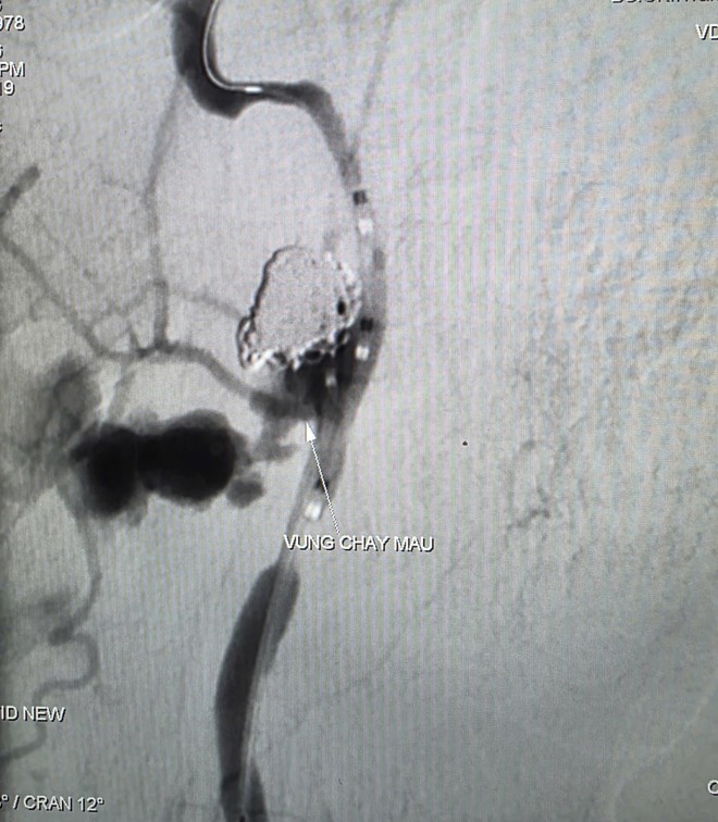
Hình ảnh thoát mạch trước và sau can thiệp. Ảnh: BVCC.
Các bác sĩ nhanh chóng tiến hành hồi sức tích cực, truyền máu khẩn và chỉ định chụp cắt lớp vi tính (CT Scan) có tiêm thuốc cản quang vùng hầu - mũi - họng để xác định nguyên nhân chảy máu. Kết quả chụp cho thấy một khối tổn thương vùng hầu lệch phải xâm lấn động mạch cảnh trong, kèm dấu hiệu thoát thuốc cản quang vào vùng hầu họng và hình ảnh giả phình động mạch cảnh trong đoạn dưới nền sọ, nguồn gây xuất huyết nghiêm trọng.
Trước nguy cơ mất máu ồ ạt đe dọa tính mạng, các bác sĩ quyết định thực hiện can thiệp nội mạch cấp cứu bằng hệ thống chụp mạch số hóa xóa nền (DSA). Ca can thiệp do BS.CKII Trần Công Khánh, Phó Trưởng khoa Chẩn đoán hình ảnh, Bệnh viện Đa khoa Trung ương Cần Thơ cùng ê kíp thực hiện.
Kết quả chụp mạch ghi nhận ổ giả phình động mạch cảnh trong phải đoạn cổ, dưới nền sọ, kích thước khoảng 4,2 x 4,8 mm, cổ túi phình rộng và đang chảy máu. Ê kíp can thiệp đã sử dụng bóng để kiểm soát dòng chảy, sau đó đưa vi ống thông đến vị trí tổn thương và thả 9 vòng xoắn kim loại (coils) nhằm gây tắc hoàn toàn túi phình và đoạn động mạch cảnh trong phải, qua đó kiểm soát nguồn chảy máu.
Chụp kiểm tra sau can thiệp cho thấy não vẫn được tưới máu nhờ hệ tuần hoàn bàng hệ từ động mạch cảnh trong bên trái qua động mạch thông trước. Toàn bộ thủ thuật được hoàn tất trong khoảng 90 phút. Sau can thiệp, bệnh nhân được theo dõi tích cực. Đến ngày 6/3, người bệnh tỉnh táo, tiếp xúc tốt, niêm mạc hồng, không ghi nhận yếu liệt tay chân, sức khỏe phục hồi ổn định.
Theo BSCKII Nguyễn Công Định, Phụ trách khoa Ung bướu, ung thư vòm hầu là một trong những loại ung thư vùng đầu - cổ có khả năng xâm lấn tại chỗ cao. Vòm hầu nằm sâu ở nền sọ, gần nhiều cấu trúc quan trọng như xoang bướm, khoang cạnh hầu, các dây thần kinh sọ và đặc biệt là động mạch cảnh trong. Khi khối u tiến triển, nguy cơ lan sang các mô lân cận và xâm nhập vào các cấu trúc quan trọng là rất lớn.
Ở giai đoạn muộn, khối u có thể ăn mòn thành động mạch cảnh, làm suy yếu thành mạch, hình thành giả phình hoặc gây vỡ mạch, dẫn đến xuất huyết ồ ạt, đe dọa tính mạng người bệnh.
Các chuyên gia cho biết chảy máu là biến chứng không hiếm gặp ở bệnh nhân ung thư, đặc biệt trong giai đoạn tiến xa. Ước tính khoảng 10% người bệnh ung thư từng gặp ít nhất một đợt xuất huyết trong quá trình điều trị.
Trong ung thư vùng đầu mặt cổ, xuất huyết cấp là biến chứng đặc biệt nguy hiểm, có thể gây nguy kịch trong thời gian ngắn nếu không được xử trí kịp thời. Hiện nay, can thiệp nội mạch được xem là một trong những phương pháp hiệu quả trong kiểm soát chảy máu. Kỹ thuật này cho phép xác định chính xác vị trí tổn thương và xử trí trực tiếp nguồn xuất huyết.
Nhiều nghiên cứu cho thấy tỷ lệ kiểm soát chảy máu bằng can thiệp nội mạch có thể đạt từ 70–99%, tùy thuộc nguyên nhân và mức độ tổn thương mạch máu. Đối với trường hợp xuất huyết do ung thư vòm hầu xâm lấn động mạch cảnh, đây là tình huống hiếm gặp nhưng cực kỳ nguy hiểm vì nguy cơ mất máu ồ ạt trong thời gian rất ngắn.
Quá trình cấp cứu, can thiệp nội mạch bằng kỹ thuật DSA kết hợp nút mạch giúp kiểm soát chảy máu nhanh chóng, ổn định huyết động và cải thiện tiên lượng cho người bệnh.
Theo các bác sĩ, so với phẫu thuật mở, can thiệp nội mạch có ưu điểm ít xâm lấn, thời gian thực hiện nhanh và hạn chế tổn thương mô lành. Nhờ tiếp cận qua đường lòng mạch, phương pháp này giúp người bệnh hồi phục nhanh hơn sau điều trị. Trường hợp bệnh nhân trên cho thấy hiệu quả của kỹ thuật can thiệp nội mạch trong xử trí các biến chứng nguy hiểm do ung thư vùng đầu – cổ, đồng thời góp phần nâng cao khả năng cứu sống người bệnh trong các tình huống cấp cứu nặng.
Phạm Phong
Nguồn SK&ĐS : https://suckhoedoisong.vn/chay-mau-o-at-tu-mui-va-mieng-bien-chung-nguy-hiem-cua-ung-thu-vom-hau-169260306133927613.htm