Chỉ vì một thói quen sau bữa ăn, người đàn ông nhập viện nguy kịch

Chỉ vì một thói quen sau bữa ăn, người đàn ông nhập viện nguy kịch
3 giờ trướcBài gốc
Ngày 4-2, Bệnh viện Chợ Rẫy cho hay nơi đây vừa điều trị thành công cho bệnh nhân N.V.T. (65 tuổi, ở TPHCM) bị áp xe gan do dị vật là tăm tre xuyên vào nhu mô gan.
Các bác sĩ thăm hỏi bệnh nhân sau phẫu thuật
Trước đó, bệnh nhân nhập viện trong tình trạng sốt kéo dài không rõ nguyên nhân, kèm đau vùng thượng vị và hạ sườn phải.
Theo BSCKI Mã Phước Nguyên, Phó trưởng Khoa Nội tiêu hóa-Bệnh viện Chợ Rẫy, các triệu chứng này đã xuất hiện khoảng một tháng trước khi bệnh nhân đến bệnh viện. Trong thời gian đó, người bệnh từng thăm khám và điều trị tại nhiều cơ sở y tế nhưng vẫn chưa xác định được nguyên nhân.
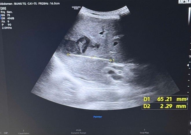
Cây tăm được bác sĩ gắp ra (bên trái) và hình ảnh cây tăm qua siêu âm (bên phải)
Qua thăm khám lâm sàng và siêu âm bụng, các bác sĩ phát hiện bệnh nhân có ổ áp xe gan. Tuy nhiên, ổ áp xe nằm khá sâu trong nhu mô gan, biểu hiện không điển hình nên bệnh nhân được chỉ định nhập viện để thực hiện thêm các cận lâm sàng chuyên sâu.
Khi tiến hành siêu âm chi tiết hơn, ê-kíp điều trị phát hiện một dị vật cản quang xuyên trong nhu mô gan, dài khoảng 6–7cm. Kết quả chụp cắt lớp vi tính (CT scan) ổ bụng sau đó xác định có một dị vật dạng que dài nằm hoàn toàn trong gan, kèm theo ổ áp xe sâu.
Trước nguy cơ biến chứng nghiêm trọng, Khoa Nội tiêu hóa đã nhanh chóng hội chẩn với Khoa Ngoại Gan mật tụy thống nhất chỉ định phẫu thuật lấy dị vật, dẫn lưu ổ áp xe và điều trị kháng sinh phù hợp.
ThS-BS Trần Đình Quốc, Khoa Ngoại Gan mật tụy- Bệnh viện Chợ Rẫy, cho biết ca phẫu thuật gặp nhiều khó khăn do ổ áp xe nằm sâu trong nhu mô gan, sát cơ hoành và các mạch máu lớn.
Ê-kíp ban đầu dự kiến mổ nội soi nhưng buộc phải đổi phương pháp để đảm bảo an toàn, khiến thời gian phẫu thuật kéo dài gấp đôi. Dị vật được lấy ra là một cây tăm tre, xuất phát từ thói quen ngậm tăm sau ăn. Dị vật có thể xuyên qua ống tiêu hóa, âm thầm di chuyển vào gan gây áp xe.
Sau 6 ngày hậu phẫu, bệnh nhân hồi phục tốt và được xuất viện.
Dị vật được lấy ra là một cây tăm tre xỉa răng. Đáng chú ý, cả bệnh nhân và người nhà đều không nhớ rõ thời điểm người bệnh đã nuốt phải dị vật. Chỉ khi khai thác kỹ tiền sử sinh hoạt mới ghi nhận bệnh nhân có thói quen thường xuyên ngậm tăm tre sau khi ăn.
Dị vật sau khi nuốt vào có thể đã xuyên qua thành ống tiêu hóa, nhiều khả năng là dạ dày hoặc tá tràng, rồi di chuyển âm thầm vào gan, gây nhiễm trùng khu trú và hình thành ổ áp xe. Do diễn tiến chậm và triệu chứng không điển hình, bệnh thường chỉ được phát hiện khi biến chứng đã xuất hiện.
Các bác sĩ khuyến cáo người dân cần thay đổi những thói quen sinh hoạt tưởng chừng nhỏ nhưng tiềm ẩn nhiều nguy cơ. Cụ thể, không nên ngậm tăm tre sau khi xỉa răng và cần bỏ ngay sau khi sử dụng.
Khi nghi ngờ đã nuốt dị vật, người dân cần đến cơ sở y tế để được thăm khám, chẩn đoán và xử trí kịp thời. Đặc biệt, nếu xuất hiện các dấu hiệu bất thường như sốt kéo dài không rõ nguyên nhân, đau bụng âm ỉ, đau vùng hạ sườn phải, cần đi khám sớm để tránh bệnh diễn tiến nặng và gây biến chứng nguy hiểm.
Hải Yến
Nguồn NLĐ : https://nld.com.vn/chi-vi-mot-thoi-quen-sau-bua-an-nguoi-dan-ong-nhap-vien-nguy-kich-19626020416012345.htm