Cụ bà ở Tây Ninh suýt ngưng thở vì xem nhẹ bướu giáp lành tính

Cụ bà ở Tây Ninh suýt ngưng thở vì xem nhẹ bướu giáp lành tính
3 giờ trướcBài gốc
Thông tin trên được BSCK2 Huỳnh Kiến Thành - Phó trưởng khoa Ung Bướu, Bệnh viện đa khoa Xuyên Á TP.HCM cho biết hôm nay (19.11).
Sự im lặng chết người của một khối bướu “vô hại”
Nhiều năm nay, bà N.T.G (77 tuổi, ngụ tỉnh Tây Ninh) luôn sống trong cảm giác nghèn nghẹn ở cổ. Ban đầu chỉ là một khối nhỏ hơi nhô lên khi nuốt nước bọt, bà nghĩ đó là dấu hiệu tuổi già. Thế nhưng năm tháng trôi qua, khối u không ngừng lớn dần. Nó khiến giọng nói bà trở nên khàn đặc, việc ăn uống trở nên khó khăn và thậm chí bà không thể trò chuyện dài vì chỉ nói vài câu là hụt hơi.
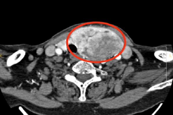
Kết quả chụp CT cho thấy, bà N.T.G (77 tuổi, ngụ tỉnh Tây Ninh) có khối bướu giáp đa nhân khổng lồ, trong đó thùy trái phát triển vượt mức với kích thước lên đến 9 cm, lộ hẳn ra ngoài, đè ép lên thực quản và chèn cả dây thần kinh thanh quản - Ảnh: BV
Bà từng đi khám và được chẩn đoán bướu giáp lành tính. Vì không đau, không gây nguy hiểm tức thời, bà quyết định… để mặc. Nhưng những gì “không gây hại” lúc đầu lại trở thành hiểm họa âm thầm khi khối bướu phát triển đến kích thước 9cm, đè ép dây thanh quản, thực quản và có nguy cơ chèn lên đường thở.
Nhiều đêm, bà thức giấc vì cảm giác như có thứ gì bóp nghẹt cổ họng. Nhưng ở tuổi xế chiều, bà chỉ nghĩ mình “yếu đi”. Cho đến khi tình trạng nuốt vướng tăng nặng, giọng nói biến mất từng ngày, gia đình mới quyết định đưa bà đến Bệnh viện đa khoa Xuyên Á.
Tại đây, BSCK2 Huỳnh Kiến Thành - Phó trưởng khoa Ung Bướu, trưởng ê kíp phẫu thuật - thăm khám và phát hiện vùng cổ của bệnh nhân bất thường. Ông lập tức chỉ định chụp CT để đánh giá mức độ nguy hiểm.
Kết quả khiến cả ê kíp không khỏi lo ngại. Bà mang một khối bướu giáp đa nhân khổng lồ, trong đó thùy trái phát triển vượt mức với kích thước lên đến 9 cm, lộ hẳn ra ngoài, đè ép lên thực quản và chèn cả dây thần kinh thanh quản.
Chính vì vậy mà suốt những năm qua bà luôn khàn tiếng, nuốt vướng, khó ăn uống và bắt đầu có dấu hiệu khó thở. Khối bướu tiếp tục lớn lên có thể sẽ chèn trực tiếp vào khí quản, tạo ra nguy cơ suy hô hấp bất cứ lúc nào.
Ở tuổi 77, cơ thể bà không còn đủ sức chịu đựng bất kỳ tổn thương nào kéo dài. Nhưng trớ trêu thay, việc phẫu thuật cũng không đơn giản bởi bà mang hàng loạt bệnh nền: tim mạch, tăng huyết áp, đái tháo đường… – những yếu tố có thể gây biến chứng nguy hiểm trong và sau mổ.
Ê kíp điều trị phải tổ chức nhiều phiên hội chẩn liên chuyên khoa. Nội tiết đánh giá nguy cơ suy giáp sau mổ, tim mạch xem xét khả năng chịu đựng mê nội khí quản, gây mê hồi sức tính toán rủi ro mất máu và ổn định hô hấp.
Nhưng thời gian không chờ đợi. Bướu tiếp tục lớn. Bà tiếp tục suy kiệt vì ăn uống khó khăn. Và rồi, quyết định được đưa ra: Phẫu thuật là con đường duy nhất để cứu bà.
Ca mổ “giải phóng cổ họng” với dao siêu âm
Khó khăn đầu tiên mà ê kíp phải đối diện chính là kiểm soát chảy máu. Ở những khối bướu giáp khổng lồ, mạng lưới mạch máu tăng sinh dày đặc, chỉ cần sơ suất nhỏ cũng có thể dẫn đến xuất huyết ồ ạt. Vì vậy, ê-kíp lựa chọn phương án hiện đại: phẫu thuật bằng dao siêu âm.
Bác sĩ Huỳnh Kiến Thành giải thích: “Bệnh nhân lớn tuổi, bướu giáp to. Chúng tôi buộc phải áp dụng kỹ thuật giúp cầm máu tối ưu. Dao siêu âm cho phép cắt – hàn mạch máu cùng lúc, giảm tối đa nguy cơ chảy máu và rút ngắn thời gian phẫu thuật”.
Dù đã chuẩn bị kỹ, việc bóc tách một khối u 9 cm chèn sát khí quản vẫn là thách thức cực lớn. Chỉ cần dao mổ chạm vào dây thanh quản cũng có thể khiến bà câm vĩnh viễn.
Ê kíp phẫu thuật phải thận trọng từng milimet "mở đường", xác định vị trí tuyến cận giáp – bộ phận quyết định sự cân bằng canxi trong cơ thể. Mất cận giáp, người bệnh có thể co giật hoặc tê bì suốt đời.
Cuối cùng, sau nhiều giờ liên tục, khối bướu giáp khổng lồ được lấy trọn vẹn. Đường thở của bà được “giải phóng”. Cổ họng vốn bị chèn ép nhiều năm được trả lại trạng thái bình thường.
Chỉ vài giờ sau mổ, bà G. mở mắt, thì thào vài câu. Điều kỳ diệu đã xảy ra: giọng bà đã trở lại, không còn khàn đặc như trước.
Ngày hôm sau, bà thử uống nước, rồi ăn cháo. Cảm giác nuốt trơn tru khiến bà bật khóc vì sung sướng. “Nhiều năm rồi tôi mới thấy cổ họng nhẹ như vậy” – bà chia sẻ trong niềm hạnh phúc.
Các bác sĩ dự kiến sau mổ, bà cần duy trì uống hormone tuyến giáp thay thế – điều bắt buộc với người đã cắt bỏ tuyến giáp để tránh suy giáp trong tương lai.
“Từ đây, bà sẽ phải tiếp tục duy trì dùng hormone tuyến giáp để thay thế phần nội tiết tố mà tuyến giáp từng sản xuất. Đây là bước điều trị cần thiết để cơ thể không rơi vào tình trạng suy giáp sau phẫu thuật. Nhưng so với nỗi khổ sở suốt 5 năm chống chọi với khối u, việc uống một viên thuốc hằng ngày chẳng đáng là bao”, bác sĩ Thành chia sẻ.
Theo bác sĩ Thành, nếu bệnh nhân này đi khám sớm hơn, có lẽ bà đã không phải sống trong những tháng ngày nghẹt thở, khó nuốt, mất tiếng và mang một khối bướu khổng lồ đe dọa tính mạng. Tuy nhiên, may mắn thay, bà đã kịp thời được can thiệp và ca phẫu thuật thành công đã mở ra cho bà một cuộc sống mới – khỏe hơn, nhẹ nhõm hơn và quan trọng nhất là không còn nỗi lo bị bóp nghẹt hơi thở bất cứ lúc nào.
“Rất nhiều người bị bướu giáp, đặc biệt là phụ nữ, thường chọn cách phớt lờ và sống chung với khối u mà không biết rằng nó có thể âm thầm lớn lên, chèn ép đường thở, gây khàn giọng, suy dinh dưỡng hoặc tạo ra những biến chứng nguy hiểm khác. Đáng nói hơn, bướu càng lớn thì việc phẫu thuật càng khó khăn, rủi ro càng cao và thời gian hồi phục càng dài”, bác sĩ Thành cảnh báo.
Ông nhấn mạnh: Siêu âm định kỳ là chìa khóa phát hiện sớm những bất thường ở tuyến giáp. Một cuộc siêu âm kéo dài chưa đến 5 phút có thể giúp người bệnh phát hiện bướu từ rất sớm, khi kích thước còn nhỏ và việc điều trị nhẹ nhàng hơn nhiều. Sự thay đổi giọng nói, tình trạng nuốt nghẹn, cảm giác có vật thể lạ trong cổ hay sự xuất hiện của một khối nhỏ dưới da đều là những dấu hiệu không nên bỏ qua. Mỗi thay đổi ấy đều có thể báo hiệu rằng tuyến giáp đang gặp vấn đề.
Hồ Quang
Nguồn Một Thế Giới : https://1thegioi.vn/cu-ba-o-tay-ninh-suyt-ngung-tho-vi-xem-nhe-buou-giap-lanh-tinh-241260.html