Cứu sống bệnh nhân 65 tuổi sau 3 lần ngưng tim do nhồi máu cơ tim cấp

Cứu sống bệnh nhân 65 tuổi sau 3 lần ngưng tim do nhồi máu cơ tim cấp
4 giờ trướcBài gốc
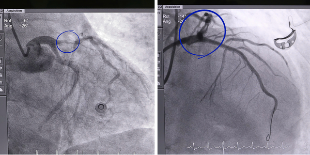
Tình trạng của nam bệnh nhân trước và sau đặt stent tái thông mạch máu.
Ngày 27/3, lãnh đạo Bệnh viện Đa khoa Ninh Thuận (tỉnh Khánh Hòa) cho biết, trước đó nam bệnh nhân H.K.N. (65 tuổi, ở Gia Lai) nhập viện trong tình trạng cấp cứu với các triệu chứng: đau tức ngực dữ dội, khó thở, vã mồ hôi và rối loạn tri giác.
Bệnh nhân đột ngột ngất lịm, mất hoàn toàn ý thức và rơi vào trạng thái ngưng tim, ngưng thở. Trước diễn biến nguy kịch, bệnh nhân đã qua 3 lần ngưng tim, ê-kíp Khoa Hồi sức tích cực chống độc đã khẩn trương triển khai hồi sức, tim phổi tích cực.
Bệnh nhân nhanh chóng được chuyển vào phòng can thiệp tim mạch, chẩn đoán nhồi máu cơ tim cấp ST chênh lên vùng trước rộng - một trong những thể bệnh tim mạch nặng nhất với tỉ lệ tử vong rất cao.
Ngay sau đó, các bác sĩ tiến hành chụp và xử lý tổn thương động mạch vành, đặt stent tái thông mạch máu nuôi. Đặc biệt, trong quá trình can thiệp, bệnh nhân vẫn tiếp tục có những thời điểm trở nặng, đòi hỏi ê-kíp vừa hồi sức vừa thực hiện kỹ thuật trong điều kiện hết sức căng thẳng.
Sau thời gian can thiệp và điều trị tích cực, tình trạng bệnh nhân đã được cải thiện, các chỉ số đều ở mức tốt. Hiện bệnh nhân đã phục hồi, khỏe mạnh.
ThS.BS.CKII Nguyễn Viết Thịnh – Phó Trưởng khoa Tim mạch can thiệp, Bệnh viện Đa khoa Ninh Thuận cho biết, những trường hợp ngưng tim trong quá trình can thiệp thường có cơ hội sống rất thấp.
"Tuy nhiên, với trường hợp này, nhờ cấp cứu kịp thời và sự nỗ lực của cả ê-kíp, bệnh nhân đã có chuyển biến tích cực", bác sĩ Thịnh cho hay.
Từ ca bệnh trên, các bác sĩ khuyến cáo người dân cần nhận diện sớm các dấu hiệu cảnh báo như đau ngực, khó thở, vã mồ hôi, choáng váng và nhanh chóng đến cơ sở y tế trong "giờ vàng".
Đây là yếu tố then chốt giúp giành lại sự sống cho người bệnh ngay tại ranh giới mong manh giữa sự sống và cái chết.
Duy Ngọc
Nguồn SK&ĐS : https://suckhoedoisong.vn/cuu-song-benh-nhan-65-tuoi-sau-3-lan-ngung-tim-do-nhoi-mau-co-tim-cap-169260327112710457.htm