Cứu sống bệnh nhân gãy khung chậu kiểu 'gió thổi' hiếm gặp sau tai nạn xe container

Cứu sống bệnh nhân gãy khung chậu kiểu 'gió thổi' hiếm gặp sau tai nạn xe container
3 giờ trướcBài gốc
Ngày 7/10, Bệnh viện Quân y 175 cho biết, bệnh viện vừa cứu sống bệnh nhân bị gãy khung chậu phức tạp, đa chấn thương và sốc chấn thương nặng do tai nạn giao thông.
Theo đó, tối 13/9, Bệnh viện Quân y 175 tiếp nhận bệnh nhân N.T.H (24 tuổi, ngụ tại TPHCM) nhập viện trong tình trạng sốc chấn thương/đa chấn thương nặng, gồm: Chấn thương ngực kín: dập phổi phải; chấn thương bụng kín: vỡ bàng quang và buồng trứng phải, gây xuất huyết ổ bụng; gãy gai ngang đốt sống L2–L5; gãy phức tạp khung chậu kiểu "gió thổi" sau va chạm với xe container.
Đại tá, TS.BS Phan Đình Mừng – Giám đốc Viện Chấn thương Chỉnh hình, Phó Giám đốc Bệnh viện Quân y 175, cho biết: "Đây là trường hợp chấn thương phức tạp, người bệnh có tiên lượng xấu, nguy cơ tử vong cao. Ngay khi tiếp nhận, bệnh viện đã kích hoạt hệ thống báo động đỏ, huy động lực lượng liên chuyên khoa nỗ lực cứu chữa bệnh nhân".
Bệnh nhân gãy khung chậu phức tạp, đa chấn thương và sốc chấn thương nặng do tai nạn giao thông. Ảnh: BVCC.
Ngay trong đêm, ca phẫu thuật liên chuyên khoa được triển khai khẩn cấp. Các bác sĩ đã thực hiện cố định ngoài khung chậu để ổn định vùng xương gãy, ngăn ngừa tổn thương nội tạng, đồng thời khâu bàng quang, bảo vệ hệ tiết niệu và khâu buồng trứng phải.
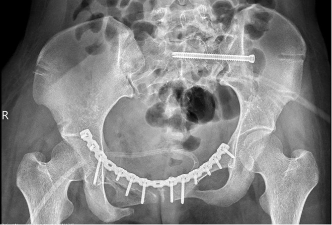
BS.CKI Trần Quang Khanh - Khoa Phẫu thuật chi dưới, Viện Chấn thương Chỉnh hình, Bệnh viện Quân y 175 cho biết: "Bệnh nhân bị gãy khung chậu kiểu 'gió thổi' (Windswept pelvic ring fracture) – một dạng gãy rất phức tạp, chiếm khoảng 6% các trường hợp gãy khung chậu. Đây là loại gãy do chấn thương năng lượng cao, kết hợp giữa lực nén trước - sau và lực tác động bên, khiến một bên cánh chậu mở ra, bên còn lại khép lại, tạo hình ảnh đặc trưng như 'bị gió thổi'. Thường tổn thương còn đi kèm gãy xương cùng và tổn thương khớp mu, làm mất vững toàn bộ vòng chậu, gây nguy hiểm tính mạng nếu không được xử trí đúng cách".
Bệnh viện đã kích hoạt báo động đỏ liên chuyên khoa, phẫu thuật xuyên đêm cứu bệnh nhân. Ảnh: BVCC.
Sau nhiều giờ, ê-kíp phẫu thuật đã ngăn chặn được tình trạng sốc đa chấn thương, cầm máu thành công và giành lại sự sống cho bệnh nhân.
Sau 2 tuần điều trị tích cực, bệnh nhân được tháo cố định ngoài và phẫu thuật lần hai để nắn chỉnh lại các di lệch. Đến ngày 6/10, bệnh nhân có thể ngồi dậy và xuất viện về nhà.
Khung xương chậu bệnh nhân trước và sau phẫu thuật. Ảnh: BVCC.
Đại tá, TS.BS Phan Đình Mừng nhấn mạnh, đây là một trong những ca bệnh nguy hiểm được cấp cứu thành công, thể hiện rõ sự phối hợp nhịp nhàng và kịp thời giữa các chuyên khoa.
Trong những năm gần đây, Bệnh viện Quân y 175 đã tiếp nhận và điều trị thành công nhiều trường hợp gãy khung chậu phức tạp, trong đó có cả những ca gãy kiểu "gió thổi" hiếm gặp. Tuy nhiên, đây là một trong số ít trường hợp bệnh nhân bị đa chấn thương kết hợp nặng mà vẫn được cứu sống và phục hồi tốt, nhờ kích hoạt kịp thời hệ thống báo động đỏ liên chuyên khoa cùng năng lực phẫu thuật chuyên sâu của đội ngũ bác sĩ Viện Chấn thương Chỉnh hình.
Nam Thương
Nguồn SK&ĐS : https://suckhoedoisong.vn/cuu-song-benh-nhan-gay-khung-chau-kieu-gio-thoi-hiem-gap-sau-tai-nan-xe-container-1692510070921257.htm