Cứu sống bệnh nhân nhồi máu cơ tim cấp sau cơn rung thất tại phòng can thiệp

Cứu sống bệnh nhân nhồi máu cơ tim cấp sau cơn rung thất tại phòng can thiệp
3 giờ trướcBài gốc
Một bệnh nhân bị nhồi máu cơ tim cấp, tưởng chừng không còn cơ hội sống, đã được đội ngũ y bác sĩ Bệnh viện Đa khoa Bắc Ninh số 1 kịp thời cứu sống sau cơn rung thất nguy kịch ngay trong phòng can thiệp mạch.
Bệnh nhân là anh P. T. T (49 tuổi, trú tại xã Bắc Lũng, Bắc Ninh), nhập viện rạng sáng ngày 9/10/2025 trong tình trạng đau ngực dữ dội, buồn nôn, vã mồ hôi lạnh.
Kết quả điện tim cho thấy đoạn ST chênh lên ở các chuyển đạo DII, DIII, aVF — dấu hiệu điển hình của nhồi máu cơ tim cấp thành dưới (STEMI). Ngay lập tức, bệnh nhân được chỉ định chụp mạch vành cấp cứu.
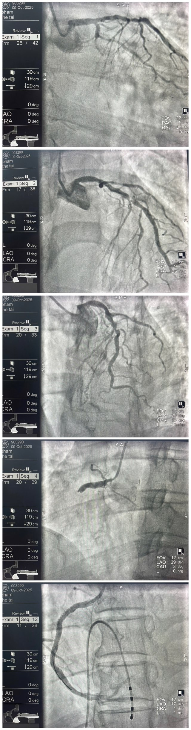
Nhồi máu cơ tim được can thiệp kịp thời - Ảnh BVCC
Tại phòng can thiệp, kết quả chụp mạch cho thấy bệnh nhân bị tắc hoàn toàn động mạch mũ (Cx), tắc hoàn toàn động mạch vành phải (RCA) và hẹp nặng động mạch liên thất trước (LAD).
Ngay sau khi chụp mạch vành, bệnh nhân xuất hiện rung thất và rối loạn nhịp tim liên tục. Ê-kíp can thiệp đã kịp thời sốc điện chuyển nhịp, đặt nội khí quản, thở máy và sử dụng ba loại thuốc vận mạch gồm adrenaline, noradrenaline và dobutamine để duy trì huyết động ổn định.
Sau khi kiểm soát được tình trạng nguy kịch, các bác sĩ tiếp tục tiến hành can thiệp động mạch vành phải, lấy huyết khối, nong bóng và đặt stent tái thông mạch, giúp dòng máu được lưu thông trở lại bình thường.
Bệnh nhân sau can thiệp tại khoa Hồi sức tích cực - Ảnh BVCC
Ngay sau can thiệp, bệnh nhân được chuyển về Khoa Hồi sức tích cực – Chống độc để tiếp tục điều trị tích cực. Tại đây, anh T. được duy trì ba loại thuốc vận mạch, kết hợp lọc máu hai lần, chăm sóc hô hấp và theo dõi liên tục các chỉ số sinh tồn.
Sau 06 ngày điều trị tích cực, bệnh nhân tỉnh táo, được rút ống nội khí quản, hô hấp và huyết động ổn định. Khi đáp ứng tốt về lâm sàng, anh T. được chuyển về Khoa Nội Tim mạch để tiếp tục theo dõi và phục hồi chức năng tim mạch.
ThS. BS Giáp Văn Cương, Phó phụ trách Khoa Nội Tim mạch – người trực tiếp thực hiện can thiệp cho biết: “Trong quá trình chụp và can thiệp, bệnh nhân bất ngờ rơi vào cơn rung thất — tình huống cực kỳ nguy hiểm.
Nhờ sự phối hợp nhịp nhàng giữa các khoa và phản ứng thần tốc của ê-kíp, chúng tôi đã kịp thời sốc điện, hồi sức và tái thông mạch ngay tại chỗ. Nếu chậm trễ thêm chỉ vài phút, bệnh nhân gần như không có cơ hội sống. Đây thực sự là một ca ‘ngàn cân treo sợi tóc’ đúng nghĩa”.
Bệnh nhân hồi phục sau can thiệp - Ảnh BVCC
Theo bác sĩ Cương, thời gian vàng trong điều trị nhồi máu cơ tim cấp là yếu tố then chốt quyết định sự sống còn của người bệnh. Việc phát hiện sớm, can thiệp kịp thời và có đầy đủ phương tiện hồi sức tại chỗ là chìa khóa giúp cứu sống những trường hợp biến chứng nặng như rung thất.
Ca bệnh của anh T. là minh chứng rõ nét cho năng lực can thiệp tim mạch chuyên sâu và khả năng phối hợp hiệu quả giữa các khoa: Cấp cứu – Can thiệp tim mạch – Gây mê hồi sức – Hồi sức tích cực.
Nhờ phản ứng nhanh và trình độ chuyên môn vững vàng của đội ngũ y bác sĩ Bệnh viện Đa khoa Bắc Ninh số 1, một sinh mạng đã được giữ lại trong gang tấc.
Các bác sĩ khuyến cáo, khi có triệu chứng đau ngực dữ dội, vã mồ hôi, khó thở, choáng váng hoặc ngất, người bệnh cần gọi cấp cứu và đến ngay cơ sở y tế có khả năng can thiệp tim mạch. Việc trì hoãn dù chỉ vài chục phút cũng có thể khiến cơ tim tổn thương không hồi phục hoặc dẫn đến tử vong.
Thúy Nga
Nguồn Tri Thức & Cuộc Sống : https://kienthuc.net.vn/cuu-song-benh-nhan-nhoi-mau-co-tim-cap-sau-con-rung-that-tai-phong-can-thiep-post1577709.html