Cứu sống bệnh nhân u gan từng bị 2 bệnh viện lớn từ chối

Cứu sống bệnh nhân u gan từng bị 2 bệnh viện lớn từ chối
2 giờ trướcBài gốc
Sáng 11.3, ThS-BS Nguyễn Văn Mạnh – Trưởng Đơn vị Phẫu thuật Gan – Mật – Tụy, Bệnh viện Quân y 175 cho biết đơn vị vừa phẫu thuật thành công cho một bệnh nhân có khối u gan nằm ở vị trí “đặc biệt nguy hiểm”, mở ra cánh cửa sống cho một trường hợp tưởng chừng đã rơi vào bế tắc.
Từ chấm trắng nhỏ đến “bản án” khối u giữa vùng tử địa
Câu chuyện bắt đầu với bệnh nhân N.V.S. (63 tuổi, ngụ tại tỉnh Đồng Nai). Ông S. có tiền sử viêm gan B và duy trì thói quen hút thuốc lá trong nhiều năm – những yếu tố nguy cơ hàng đầu dẫn đến các bệnh lý gan nghiêm trọng.
Sau hơn 150 phút phẫu thuật, ê-kíp đã cắt bỏ hoàn toàn khối u nhưng vẫn bảo tồn nguyên vẹn các mạch máu quan trọng
Đầu năm 2024, trong một lần kiểm tra sức khỏe tổng quát tại TP.HCM, các bác sĩ tình cờ phát hiện trong gan của ông một tổn thương nhỏ dạng chấm trắng. Ở thời điểm đó, bệnh nhân chỉ được khuyến cáo theo dõi định kỳ. Tuy nhiên, các bệnh lý gan vốn diễn tiến âm thầm và có thể thay đổi rất nhanh.
Chỉ một năm sau, khi quay lại tái khám, kết quả siêu âm và chụp cộng hưởng từ (MRI) đã mang đến một tin như “sét đánh”: chấm trắng nhỏ ngày nào nay đã phát triển thành khối u kích thước khoảng 4 cm. Điều đáng lo ngại không chỉ nằm ở kích thước, mà chính vị trí của khối u mới khiến giới chuyên môn phải dè chừng. Khối u này nằm kẹp giữa các mạch máu trọng yếu, bao gồm tĩnh mạch gan phải và tĩnh mạch chủ dưới.
Sự phức tạp của ca bệnh nhanh chóng dẫn đến những đánh giá đầy thận trọng từ phía các chuyên gia. Bệnh nhân S. cùng gia đình đã tìm đến hai bệnh viện lớn tại TP.HCM với hy vọng được can thiệp ngoại khoa. Tuy nhiên, tại cả hai cơ sở này, câu trả lời nhận được đều là sự từ chối phẫu thuật. Các bác sĩ tiên lượng đây là trường hợp có nguy cơ tai biến cực cao; việc can thiệp bằng dao kéo vào vị trí “hiểm hóc” như vậy được xem là quá mạo hiểm.
Nỗi lo lắng bao trùm gia đình khi cánh cửa điều trị triệt để dường như đã khép lại.
Giải mã thách thức
Theo ThS-BS Nguyễn Văn Mạnh, để hiểu vì sao khối u của ông S. khiến các bác sĩ phải cân nhắc kỹ lưỡng đến vậy, cần nhìn vào hệ thống mạch máu chằng chịt trong gan.
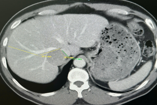
Trước đó, kết quả chụp CT-scan cho thấy, khối u bị vây quanh bởi các mạch máu quan trọng
Khối u 4 cm của bệnh nhân nằm ở vị trí bị bao quanh và chèn ép bởi hệ thống tĩnh mạch gan cùng tĩnh mạch chủ dưới. Trong ngoại khoa gan mật, đây được xem là “vùng cấm” bởi sự nhạy cảm đặc biệt của các cấu trúc giải phẫu.
Tĩnh mạch chủ dưới là mạch máu lớn nhất của cơ thể, có nhiệm vụ đưa máu từ phần dưới cơ thể trở về tim. Theo phân tích của các bác sĩ, chỉ cần một sai sót nhỏ – một milimet đường dao đi lệch hướng hoặc một thao tác không chuẩn xác – cũng có thể làm rách mạch máu lớn này.
Hệ quả là tình trạng chảy máu ồ ạt không thể kiểm soát, đe dọa trực tiếp và tức thì đến tính mạng người bệnh ngay trên bàn mổ. Chính vì vậy, ca bệnh này được xem là một thách thức cực đại đối với bất kỳ phẫu thuật viên nào.
“Khi bệnh nhân được chuyển đến Bệnh viện Quân y 175, các bác sĩ tại đây phải đối mặt với một bài toán thực sự hóc búa. Khối u nằm kẹp chặt giữa các ‘huyết mạch’, khiến việc tiếp cận và cắt bỏ hoàn toàn mà không làm tổn thương các cấu trúc xung quanh trở nên vô cùng khó khăn”, bác sĩ Mạnh cho biết.
Tuy nhiên, thay vì từ chối, đội ngũ y bác sĩ đã quyết định tìm lời giải thông qua sự phối hợp đa chuyên khoa và ứng dụng các công nghệ chẩn đoán hiện đại.
Cuộc đấu trí 150 phút và chiến thuật “kiểm soát mạch máu” bậc thầy
Trước khi bước vào phòng mổ, một kế hoạch phẫu thuật chi tiết đã được xây dựng. Các bác sĩ sử dụng những kỹ thuật chẩn đoán hình ảnh chuyên sâu nhằm đánh giá chính xác từng milimet mối liên hệ giữa khối u và hệ thống mạch máu. Chiến lược then chốt được đặt ra là kiểm soát mạch máu thật chặt chẽ để đảm bảo an toàn tối đa trong quá trình phẫu thuật.
“Trong suốt hơn 2,5 giờ đồng hồ, không khí phòng mổ luôn căng như dây đàn. Từng đường dao, từng thao tác bóc tách đều phải đạt độ chính xác tuyệt đối. Ê-kíp đã thực hiện điều tưởng chừng không thể: cắt bỏ hoàn toàn khối u nhưng vẫn bảo tồn nguyên vẹn các mạch máu quan trọng”, bác sĩ Mạnh chia sẻ.
Tĩnh mạch gan phải và tĩnh mạch chủ dưới – những “ngòi nổ” có thể gây xuất huyết nghiêm trọng bất cứ lúc nào – đã được bảo vệ an toàn. Toàn bộ quá trình phẫu thuật diễn ra thuận lợi, không xảy ra biến chứng.
Thành công của ca mổ mang lại kết quả hậu phẫu rất tích cực. Bệnh nhân S. hồi phục nhanh, các chỉ số chức năng gan ổn định trở lại. Chỉ sau một tuần điều trị, người đàn ông từng bị từ chối phẫu thuật tại nhiều nơi đã được xuất viện trong niềm vui vỡ òa của gia đình.
Theo ThS-BS Nguyễn Văn Mạnh, phẫu thuật cắt bỏ triệt để hiện vẫn là phương pháp mang lại hiệu quả cao nhất trong điều trị u gan. Tuy nhiên, đối với những khối u nằm ở vị trí hiểm hóc, phẫu thuật viên không chỉ cần sự khéo léo mà còn phải có bản lĩnh cùng kiến thức sâu rộng về xử lý mạch máu.
“Khả năng kiểm soát các tình huống bất ngờ trong mổ chính là chìa khóa để chinh phục những ca bệnh khó”, bác sĩ nhấn mạnh.
Hồ Quang
Nguồn Một Thế Giới : https://1thegioi.vn/cuu-song-benh-nhan-u-gan-tung-bi-2-benh-vien-lon-tu-choi-248382.html