Cứu sống nam sinh lớp 8 xuất huyết não nguy kịch

Cứu sống nam sinh lớp 8 xuất huyết não nguy kịch
3 giờ trướcBài gốc
Cơn đau đầu ấy tưởng chừng vô hại, nhưng đến ngày thứ 5, em T. đang vệ sinh cá nhân để đến trường thì cơn đau đầu xuất hiện dữ dội hơn. Sau đó tay chân trái của em không còn cử động được nữa… rồi em chìm vào hôn mê.
Sau ca mổ, bệnh nhân tỉnh lại chỉ sau một đêm. Khoảng một tuần được xuất viện và tập vật lý trị liệu thêm gần ba tuần. Khoảng 1–2 tháng bệnh nhân T. đã có thể đi lại bình thường.
Và một năm qua, hai tay em T. vận động bình thường, trí nhớ ổn định, chân chỉ còn yếu nhẹ, không còn bị những cơn đau đầu như trước nữa. Với tình trạng hồi phục tích cực hiện tại, các bác sĩ đánh giá em hoàn toàn có thể quay lại trường lớp trong năm học 2026–2027.
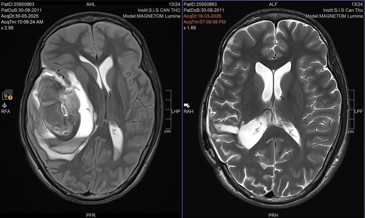
Hình ảnh chụp não trước và sau khi phẫu thuật 11 tháng của nam sinh T.
Theo các bác sỹ, việc xử lý dị dạng mạch máu não tương tự như loại bỏ một “ổ bệnh” trong não. Nếu không được giải quyết triệt để, nguy cơ tái phát và biến chứng sẽ rất cao. Đáng lưu ý, AVM có thể tồn tại âm thầm trong thời gian dài, hầu như không có triệu chứng rõ ràng. Vì vậy, phụ huynh cần đặc biệt cảnh giác khi trẻ xuất hiện các dấu hiệu như đau đầu dữ dội, bất thường hoặc kéo dài không rõ nguyên nhân, nhất là khi kèm theo các biểu hiện thần kinh như co giật, yếu tay chân… Trong những trường hợp này, trẻ cần được đưa đến cơ sở y tế có khả năng cấp cứu và can thiệp phẫu thuật thần kinh kịp thời để không bỏ lỡ “giờ vàng”.
Hồng Phương/VOV-ĐBSCL
Nguồn VOV : https://vov.vn/xa-hoi/cuu-song-nam-sinh-lop-8-xuat-huyet-nao-nguy-kich-post1280125.vov