Đầu to dần sau sinh, bé trai 7 tháng tuổi phát hiện mắc u não khổng lồ hiếm gặp

Đầu to dần sau sinh, bé trai 7 tháng tuổi phát hiện mắc u não khổng lồ hiếm gặp
5 giờ trướcBài gốc
Ngày 8-4, Bệnh viện Nhi Đồng 1 (TP.HCM) cho biết vừa qua khoa Ngoại thần kinh tiếp nhận và điều trị thành công cho bệnh nhi TGK (7 tháng tuổi, ngụ Đồng Tháp) có khối u não khổng lồ, hiếm gặp.
Khai thác bệnh sử ghi nhận lúc 3 tháng tuổi, người nhà phát hiện bé đầu to dần sau sanh, hay nôn ói sau bú, mắt nhìn xuống nên đưa đến khám tại Bệnh viện Nhi Đồng 1.
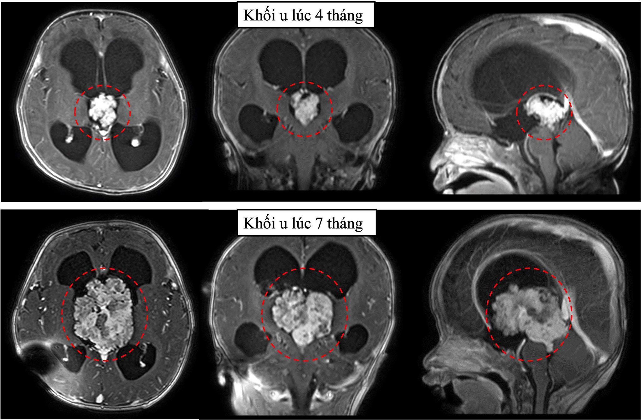
Quá trình thăm khám, bác sĩ ghi nhận bệnh nhi có tình trạng tăng áp lực nội sọ (vòng đầu lớn, thóp phồng căng, mắt giới hạn nhìn lên). Siêu âm qua thóp ghi nhận khối u vùng não thất 3 chèn ép gây dãn não thất nặng.
Ảnh chụp phim cho thấy u não phát triển rất nhanh, tăng kích thước hơn gấp 3 lần sau 3 tháng. Ảnh: BVCC
Hình ảnh cộng hưởng từ sọ não ghi nhận khối u vùng não thất 3 gây chèn ép dẫn đến não úng thủy tắc nghẽn. Khối u nằm vị trí não thất 3, vị trí sâu với nhiều cấu trúc thần kinh quan trọng xung quanh, là một trong những vị trí can thiệp rất khó trong phẫu thuật sọ não.
Kết quả giải phẫu bệnh cho thấy u đám rối mạch mạc không điển hình độ 2, một u hiếm gặp của hệ thần kinh trung ương.
Tại thời điểm đó, do lo lắng phẫu thuật lấy u nguy cơ cao, đặc biệt trên em bé còn rất nhỏ, gia đình và bác sĩ đồng ý tiến hành đặt dẫn lưu não thất màng bụng điều trị giảm áp lực nội sọ tạm thời vào ngày 25-11-2025, đợi một khoảng thời gian bé đủ lớn sẽ mổ lấy u.
Tuy nhiên, phim cộng hưởng từ sọ não 3 tháng sau cho thấy u não phát triển rất nhanh, tăng kích thước gấp 3 lần. Không thể trì hoãn thêm, bác sĩ khoa Ngoại thần kinh đã tư vấn gia đình phẫu thuật mổ lấy u để kịp thời cứu bệnh nhi.
Bé trai đã hồi phục hoàn toàn và xuất viện sau 10 ngày nằm viện. Ảnh: BVCC
Ngày 25-3-2026, ca phẫu thuật được tiến hành. Với sự chuẩn bị chu đáo và phối hợp nhịp nhàng giữa các chuyên khoa nhi như Ngoại thần kinh, Phẫu thuật gây mê hồi sức và Hồi sức ngoại, ca mổ đã diễn ra an toàn và thuận lợi.
Khối u não của bệnh nhi được ê-kíp y, bác sĩ bóc tách thành công trong suốt 6 giờ đồng hồ đối mặt với nhiều áp lực.
Theo TS.BS Trần Minh Huy, khoa Ngoại Thần kinh, Bệnh viện Nhi Đồng 1, đây là một ca mổ khó khăn. Vị trí não thất 3 là một vị trí sâu, trung tâm của não bộ với nhiều cấu trúc thần kinh và mạch máu quan trọng xung quanh.
Khối u não kích thước lớn (6 cm), tăng sinh mạch máu nuôi, phát triển trong lòng não thất 3 là thách thức lớn cho phẫu thuật viên.
Ngoài ra, thời gian cuộc mổ kéo dài và nguy cơ mất máu nhiều trên bệnh nhi 7 tháng tuổi, đòi hỏi năng lực chuyên môn và phối hợp chặt chẽ liên chuyên khoa: Phẫu thuật Gây mê hồi sức trong lúc mổ và Hồi sức ngoại sau mổ.
Các y, bác sĩ đã vượt qua những thách thức để thực hiện thành công ca phẫu thuật đưa bệnh nhi trở lại với cuộc sống bình thường.
Sau thời gian hồi sức và chăm sóc sau mổ, bé đã hồi phục hoàn toàn và xuất viện sau 10 ngày nằm viện.
THẢO PHƯƠNG
Nguồn PLO : https://plo.vn/dau-to-dan-sau-sinh-be-trai-7-thang-tuoi-phat-hien-mac-u-nao-khong-lo-hiem-gap-post903145.html