Dị vật xuyên nhu mô gan gây áp-xe sâu: Ca bệnh hiếm tại Bệnh viện Chợ Rẫy

Dị vật xuyên nhu mô gan gây áp-xe sâu: Ca bệnh hiếm tại Bệnh viện Chợ Rẫy
3 giờ trướcBài gốc
Ngày 4.2, BSCKI Mã Phước Nguyên – Phó Trưởng khoa Nội Tiêu hóa, Bệnh viện Chợ Rẫy cho biết, đơn vị này vừa tiếp nhận và điều trị thành công một ca bệnh hiếm: bệnh nhân bị tăm tre xỉa răng xuyên vào nhu mô gan, gây ổ áp-xe nhiễm trùng sâu và phức tạp, xuất phát từ một thói quen sinh hoạt tưởng chừng vô hại.
Cuộc truy tìm nguyên nhân trong “bóng tối” lâm sàng
Bệnh nhân là ông N.V.T. (65 tuổi, ngụ TP.HCM), nhập viện trong tình trạng sốt kéo dài không rõ nguyên nhân, kèm đau âm ỉ vùng thượng vị và hạ sườn phải. Các triệu chứng mơ hồ khiến bệnh dễ bị nhầm lẫn với những rối loạn tiêu hóa hoặc nhiễm trùng thông thường. Trước đó, ông T. đã thăm khám tại nhiều cơ sở y tế nhưng tình trạng không cải thiện, trong khi nguyên nhân thực sự vẫn chưa được xác định.
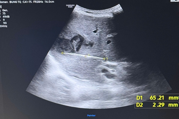
Kết quả siêu âm chi tiết và chụp cắt lớp vi tính (CT scan) khiến các bác sĩ không khỏi bất ngờ khi phát hiện một dị vật dạng que, dài khoảng 6–7 cm, nằm hoàn toàn trong nhu mô gan, kèm theo ổ nhiễm trùng sâu
Theo gia đình, các biểu hiện bất thường đã kéo dài khoảng một tháng. Khi tiếp nhận bệnh nhân, các bác sĩ khoa Nội Tiêu hóa tiến hành thăm khám lâm sàng và siêu âm bụng, ghi nhận một ổ áp-xe gan. Tuy nhiên, điểm bất thường là ổ áp-xe nằm rất sâu trong nhu mô gan, kèm theo biểu hiện không điển hình, khác với các trường hợp áp-xe gan do vi khuẩn hay ký sinh trùng thường gặp.
Trước nghi ngờ có nguyên nhân tiềm ẩn khác, ê kíp điều trị chỉ định thực hiện các thăm dò cận lâm sàng chuyên sâu. Kết quả siêu âm chi tiết và chụp cắt lớp vi tính (CT scan) khiến các bác sĩ không khỏi bất ngờ khi phát hiện một dị vật dạng que, dài khoảng 6–7 cm, nằm hoàn toàn trong nhu mô gan, kèm theo ổ nhiễm trùng sâu.
Cuộc đại phẫu đầy kịch tính và hành trình “vượt rào” của chiếc tăm tre
Theo BSCKII Mã Phước Nguyên, đây là một ca bệnh hiếm gặp, bởi dị vật không chỉ xuyên qua ống tiêu hóa mà còn “đi lạc” và nằm trọn trong gan, gây nhiễm trùng kéo dài nhưng biểu hiện lâm sàng rất mờ nhạt.
Trước nguy cơ biến chứng nặng như nhiễm trùng huyết hoặc vỡ ổ áp-xe, Bệnh viện Chợ Rẫy nhanh chóng tổ chức hội chẩn giữa khoa Nội Tiêu hóa và khoa Ngoại Gan Mật Tụy. Phẫu thuật lấy dị vật và dẫn lưu ổ áp-xe được xác định là phương án duy nhất để cứu sống bệnh nhân.
Các bác sĩ phẫu thuật lấy chiếc tăm tre ra khỏi cơ thể bệnh nhân, cả ê kíp đều rùng mình
ThS-BS Trần Đình Quốc, người trực tiếp tham gia ca mổ, cho biết dị vật nằm ở vị trí đặc biệt nguy hiểm, sâu trong nhu mô gan, sát cơ hoành và các mạch máu lớn. Do đó, ê kíp buộc phải chuyển từ phương án nội soi sang mổ hở để tiếp cận an toàn. Thời gian phẫu thuật kéo dài hơn gấp đôi so với các ca áp-xe gan thông thường.
“Khi lấy chiếc tăm tre ra khỏi cơ thể bệnh nhân, cả ê kíp đều rùng mình. Điều đáng nói là bệnh nhân và gia đình không hề nhớ thời điểm nuốt phải dị vật. Chỉ khi khai thác kỹ tiền sử sinh hoạt, thói quen ngậm tăm tre sau khi ăn mới được làm rõ”, bác sĩ Quốc cho biết.
Theo phân tích y khoa, chiếc tăm tre sau khi bị nuốt phải đã xuyên thủng thành ống tiêu hóa, nhiều khả năng là dạ dày hoặc tá tràng, rồi tiếp tục di chuyển và đâm sâu vào gan. Tại đây, dị vật trở thành ổ nhiễm trùng khu trú, hình thành áp-xe gan. Do quá trình diễn tiến chậm và triệu chứng không điển hình, bệnh chỉ được phát hiện khi tình trạng đã trở nên phức tạp.
Sau 6 ngày hậu phẫu, kết hợp điều trị kháng sinh tích cực, sức khỏe bệnh nhân hồi phục tốt và đã được xuất viện.
Theo các bác sĩ, dị vật đường tiêu hóa là tình trạng không hiếm trong thực hành lâm sàng. Trước đây, xương cá thường là nguyên nhân phổ biến, nhưng thời gian gần đây, các trường hợp liên quan đến tăm tre có xu hướng gia tăng. Đặc biệt, các dị vật sắc nhọn có khả năng di chuyển sâu và gây tổn thương nghiêm trọng đến các cơ quan nội tạng.
Từ ca bệnh trên, các chuyên gia cảnh báo người dân cần từ bỏ thói quen ngậm tăm tre sau khi xỉa răng. Chỉ một cơn ho, sặc hoặc phản xạ bất ngờ cũng có thể khiến dị vật lọt vào đường tiêu hóa hoặc đường thở, dẫn đến những biến chứng nguy hiểm.
Bên cạnh đó, khi xuất hiện các triệu chứng như sốt kéo dài không rõ nguyên nhân, đau bụng âm ỉ, đặc biệt ở vùng hạ sườn phải, người dân không nên chủ quan tự điều trị mà cần đến sớm các cơ sở y tế chuyên khoa để được thăm khám và can thiệp kịp thời, tránh những nguy cơ đe dọa tính mạng.
Bình Thuận
Nguồn Một Thế Giới : https://1thegioi.vn/di-vat-xuyen-nhu-mo-gan-gay-ap-xe-sau-ca-benh-hiem-tai-benh-vien-cho-ray-245723.html