Đột ngột đau khớp háng, nam sinh 14 tuổi mọc thêm một mô xương bất thường

Đột ngột đau khớp háng, nam sinh 14 tuổi mọc thêm một mô xương bất thường
6 giờ trướcBài gốc
Đau dữ dội phải ngồi xe lăn
Thiếu niên N.P, 14 tuổi, đột ngột đau cứng khớp háng, đi lại khó khăn, phải nhập viện tại Bệnh viện Đa khoa Tâm Anh TP HCM.
P. cho biết cảm thấy đau vướng khớp háng lần đầu tiên vào ba tháng trước. Em được gia đình đưa đi khám tại cơ sở y tế gần nhà nhưng không phát hiện bất thường. Sau đó, tình trạng diễn tiến nhanh nghiêm trọng, một tháng gần đây, em đau nhiều, cứng khớp háng và không thể đi lại.
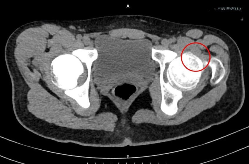
ThS.BS.CKI Nguyễn Xuân Trường, Trung tâm Chấn thương Chỉnh hình, Bệnh viện Đa khoa Tâm Anh TP HCM, cho biết kết quả siêu âm và chụp CT ghi nhận khớp háng bệnh nhi xuất hiện một mô xương bất thường, nhô cao, kích thước khoảng 5 x 10 mm, chiếm gần hết diện tích phía trước của chỏm xương đùi.
Hình chụp CT khớp háng bên trái, trên chỏm xương đùi có mô xương (khoanh tròn) nhô cao lên rõ rệt - Ảnh BVCC
Bác sĩ chẩn đoán P. mắc hội chứng cấn khớp háng. “Đây là một bệnh lý ít gặp, xảy ra khi xương hông phát triển bất thường không rõ nguyên do, làm xuất hiện một mảng xương nhô cao hơn ở chỏm xương đùi”, bác sĩ Trường nói thêm.
Bất kỳ cử động nào cũng làm cho phần xương này cấn vào ổ cối, gây đau dữ dội. Theo thời gian, sự ma sát bất thường làm cho khớp háng nhanh chóng bị mài mòn, thúc đẩy thoái hóa khớp diễn ra nhanh chóng, người bệnh đối mặt nguy cơ thay khớp háng sớm.
Hội chứng cấn khớp háng khó chẩn đoán, theo bác sĩ Trường. Nguyên nhân là do các triệu chứng bệnh như đau cứng khớp, khớp háng kêu lục cục khi cử động… rất dễ nhầm với viêm xương khớp, rách sụn viền. Hiện nay, vẫn chưa có xét nghiệm hoặc các bài kiểm tra đánh giá đặc hiệu để chẩn đoán hội chứng này, dễ bỏ sót các triệu chứng đặc trưng nằm sâu trong khớp háng.
Nguy cơ hỏng khớp thực hiện kỹ thuật trật khớp háng loại bỏ
Bệnh của P. đã chuyển biến nặng, đối mặt nguy cơ hư hỏng khớp sớm nên em được chỉ định phẫu thuật loại bỏ mô xương thừa bằng kỹ thuật làm trật khớp háng. Ca mổ kéo dài 4 giờ, bác sĩ làm trật khớp háng, bộc lộ toàn bộ chỏm xương đùi, nhờ đó quan sát rõ hơn, đảm bảo các thao tác chính xác, tránh tổn thương mạch máu.
Bác sĩ tiến hành mài phẳng phần xương nhô lên và loại bỏ các mảnh xương dư thừa. Sau đó đưa khớp về lại vị trí cũ, kiểm tra tầm vận động và đóng vết mổ. Phát còn nhỏ tuổi, vẫn trong giai đoạn phát triển, do đó, ca mổ đòi hỏi sự tỉ mỉ và chính xác cao độ để tránh ảnh hưởng đến mạch máu, sụn khớp… đảm bảo sự phát triển bình thường của xương và chức năng vận động sau này.
Ngay ngày đầu tiên sau mổ, P. không còn cảm giác đau vướng khi vận động. Ngày thứ hai em có thể tập đi với nạng và xuất viện sau đó 2 ngày. Bác sĩ Trường tiên lượng sau hai tháng, khi xương đã lành hoàn toàn, em có thể sinh hoạt và chơi thể thao trở lại như bình thường.
P. tập đi lại cùng bác sĩ Trường vào ngày thứ 3 sau phẫu thuật - Ảnh BVCC
Bác sĩ Trường cho biết, hội chứng cấn khớp háng có thể xảy ra ở cả người lớn và trẻ em với các triệu chứng phổ biến nhất như đau cứng khớp, khó đi lại. Cơn đau thường xảy ra ở vùng bẹn, có thể lan ra ngoài hông. Các triệu chứng sẽ trở nên trầm trọng hơn khi chơi thể thao, ngồi xổm, leo cầu thang…
Khi được phát hiện sớm, bệnh có thể điều trị bằng cách thay đổi thói quen sinh hoạt, dùng thuốc giảm đau và kháng viêm. Tập vật lý trị liệu cũng được đề nghị để cải thiện phạm vi chuyển động ở hông và tăng cường các cơ hỗ trợ khớp, từ đó làm giảm áp lực lên xương sụn bị tổn thương.
Ở giai đoạn muộn, bệnh khó điều trị hơn, cần phải phẫu thuật.
Do đó, khi phát hiện các dấu hiệu bất thường người bệnh cần sớm đến khám tại các cơ sở y tế có chuyên khoa cơ xương khớp hoặc chấn thương chỉnh hình, kịp thời điều trị, cải thiện chức năng khớp và ngăn ngừa các biến chứng.
Thúy Nga
Nguồn Tri Thức & Cuộc Sống : https://kienthuc.net.vn/dot-ngot-dau-khop-hang-nam-sinh-14-tuoi-moc-them-mot-mo-xuong-bat-thuong-post1575511.html