Dùng vòi rửa xe xịt vào hậu môn, người đàn ông đi cấp cứu

Dùng vòi rửa xe xịt vào hậu môn, người đàn ông đi cấp cứu
6 giờ trướcBài gốc
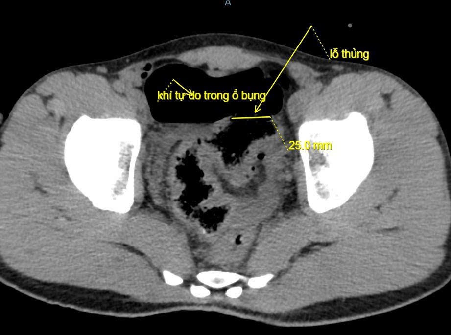
Bệnh nhân là nam giới, nhập viện trong tình trạng đau bụng dữ dội, bụng chướng căng, khó thở và mệt lả. Khai thác bệnh sử ghi nhận trước đó, bệnh nhân bị bạn trêu đùa và dùng vòi xịt rửa ôtô (vòi áp lực cao) để xịt vào hậu môn. Kết quả chụp X-quang và CT scan ổ bụng cho thấy nhiều khí tự do trong ổ bụng, nghi ngờ thủng tạng rỗng. Ngay sau khi tiếp nhận, bệnh nhân được chỉ định mổ cấp cứu.
Ê-kíp phẫu thuật mổ mở bụng thăm dò, phát hiện ổ bụng có khoảng 100 ml máu và dịch bẩn. Đại tràng sigma có đoạn tổn thương dài 5 cm, lỗ thủng khoảng 2 cm, xung quanh dập nát. Bệnh nhân được cắt lọc lỗ thủng, khâu đoạn đại tràng tổn thương, làm sạch ổ bụng và đặt dẫn lưu.
Ảnh chụp cắt lớp vi tính ổ bụng bệnh nhân. Ảnh: BVCC.
Sau phẫu thuật, bệnh nhân được điều trị tích cực bằng kháng sinh, bù dịch, giảm đau và dinh dưỡng hợp lý. Hiện tại bệnh nhân tỉnh, tiến triển tốt, hết đau bụng, bụng mềm, trung tiện được.
Các bác sĩ khuyến cáo người dân không sử dụng vòi xịt áp lực cao để xịt vào vùng hậu môn. Theo bác sĩ điều trị, vòi xịt rửa ôtô có áp lực nước rất lớn (100-200 bar), có thể gây tổn thương nghiêm trọng cho ống hậu môn, trực tràng và đại tràng.
Khi luồng khí hoặc nước áp lực cao xâm nhập vào đường tiêu hóa, khí bị đẩy sâu vào ruột, làm tăng áp lực trong lòng ruột và có thể gây thủng ruột, tràn khí ổ bụng, đe dọa tính mạng người bệnh. Người dân chỉ nên sử dụng các loại vòi xịt vệ sinh chuyên dụng cho nhà tắm, có áp lực thấp, tuyệt đối không dùng vòi xịt rửa xe, vòi máy nén khí hay các thiết bị áp lực cao để xịt vào vùng hậu môn - sinh dục.
Phương Anh
Nguồn Znews : https://lifestyle.znews.vn/dung-voi-rua-oto-xit-vao-hau-mon-nguoi-dan-ong-di-cap-cuu-post1594665.html