Hé lộ vụ bác sĩ gây mê rồi đục xương nạn nhân để trục lợi tiền bảo hiểm

Hé lộ vụ bác sĩ gây mê rồi đục xương nạn nhân để trục lợi tiền bảo hiểm
một giờ trướcBài gốc
Đối tượng chủ mưu là Tạ Minh Châu, một bác sĩ trẻ từng công tác trong hệ thống y tế huyện Cẩm Khê (cũ) đã lợi dụng kiến thức chuyên môn để tự gây mê và đục xương người, tạo thương tích giả nhằm rút tiền bảo hiểm với tổng số tiền chiếm đoạt hơn 6 tỷ đồng, trong đó riêng Công ty bảo hiểm Manulife bị thiệt hại 3,45 tỷ đồng.
Tạ Minh Châu- đối tượng chủ mưu, cầm đầu.
Theo Cơ quan CSĐT Công an tỉnh Phú Thọ, ngày 27/11 đơn vị đã khởi tố vụ án, khởi tố bị can và tạm giam đối với Tạ Minh Châu (SN 1996), nguyên cán bộ Khoa xét nghiệm, Trung tâm Y tế Cẩm Khê, cùng nhiều đối tượng liên quan gồm: Nguyễn Anh Dũng, Hoàng Văn Trường, Hoàng Thị Hồng Điệp, Hoàng Văn Thắng và Hà Thành Đạt.
Hai đối tượng Nguyễn Thị Hoài Thu và Hoàng Thị Linh cũng bị khởi tố nhưng được tại ngoại vì đang nuôi con nhỏ. Đây là vụ án đầu tiên tại Phú Thọ mà thủ phạm là người có chuyên môn y tế, trực tiếp sử dụng kiến thức y khoa để cố ý gây thương tích lên cơ thể người nhằm chiếm đoạt tiền bảo hiểm.
Dấu hiệu bất thường bắt đầu lộ rõ từ giữa năm 2024, khi Trung tá Hoàng Quang Hưởng, Đội phó Đội 3, Phòng Cảnh sát hình sự, cùng đồng đội phát hiện số ca “tai nạn” gãy xương nặng xuất hiện bất thường tại Cẩm Khê. Những người này đều mắc các thương tích phức tạp như gãy xương chậu, gãy xương đùi, gãy cột sống... những dạng thương tích được chi trả cao nhất trong bảo hiểm nhân thọ.
Tuy nhiên, hầu hết trường hợp đều không có nhân chứng, không có hiện trường rõ ràng, và điểm trùng hợp đáng chú ý là tất cả đều xuất hiện ở khu vực xã Sơn Tình trước khi nhập viện. Sau xuất viện, họ nhanh chóng nhận được khoản chi trả bảo hiểm lớn, đủ để xây nhà, mua xe.
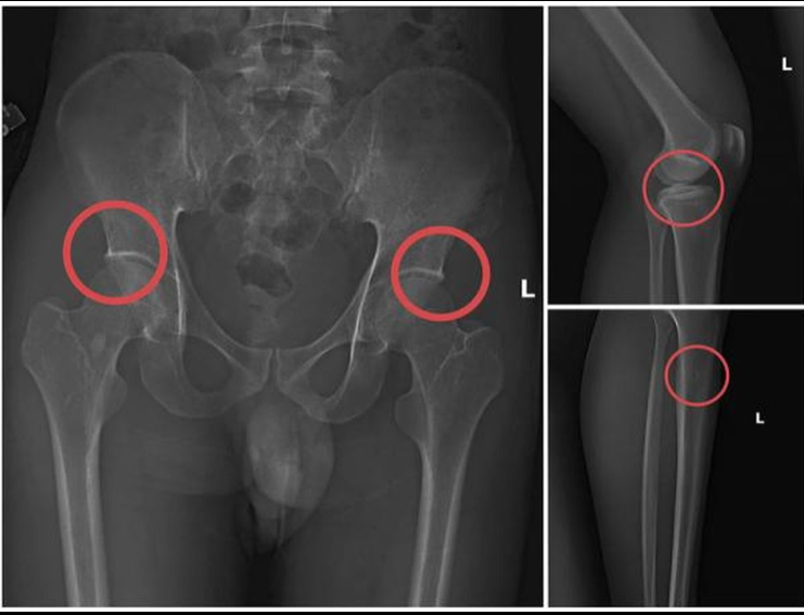
Phim chụp XQ một số tổn thương xương do đối tượng Tạ Minh Châu tạo ra.
Khi đọc hồ sơ gửi các công ty bảo hiểm, lực lượng trinh sát nhận thấy cách hành văn, câu chữ được soạn thảo quá chặt chẽ, chi tiết, vượt xa khả năng của những người nông dân đứng tên mua bảo hiểm. Điều này cho thấy có người am hiểu luật, hiểu quy trình chi trả và có chuyên môn y khoa đứng phía sau điều khiển. Từ những dữ liệu này, lực lượng trinh sát khoanh vùng và dựng lên chân dung Tạ Minh Châu - một đối tượng trẻ tuổi nhưng giàu lên bất thường, thường xuyên đổi xe trị giá tiền tỷ.
Quá trình đấu tranh, Công an làm rõ Châu từng làm cộng tác viên cho Công ty bảo hiểm MB, biết rõ loại thương tích nào được chi trả cao nhất. Cộng với kiến thức về giải phẫu xương sau 6 năm làm việc tại khoa chẩn đoán hình ảnh, Châu nắm rõ vị trí và kỹ thuật để tạo ra vết nứt, vỡ xương có hình ảnh X-quang giống tai nạn thật.
Giữa năm 2024, khi gặp khó khăn tài chính, Châu rủ người quen mua các gói bảo hiểm giá trị lớn tại AIA, Dai-ichi Life, Chubb Life, FWD, Sun Life, Manulife… Khi hợp đồng có hiệu lực, Châu chuẩn bị thuốc mê, kim tiêm cỡ lớn, búa sắt và các dụng cụ tiểu phẫu rồi hẹn “người mua bảo hiểm” đến một lán lá cọ tại khu hồ câu xã Sơn Tình.
Tại đây, Châu trực tiếp tiêm thuốc mê vào tĩnh mạch, đợi nạn nhân bất tỉnh rồi dùng búa và kim tiêm lớn đục mạnh vào xương, thường là xương chậu hoặc xương đùi - những vị trí có mức chi trả cao nhất. Sau khoảng 10-20 phút, khi thuốc mê hết tác dụng, nạn nhân tỉnh lại và được Châu hướng dẫn dựng hiện trường tai nạn giả như ngã suối, bị điện giật rồi nhập viện để lấy bệnh án hợp thức hóa hồ sơ yêu cầu bảo hiểm.
Sau khi công ty bảo hiểm chi trả, Châu giữ 70% số tiền, người đứng tên hưởng 30%. Trong đường dây này còn có trường hợp vợ chồng cùng tham gia như Nguyễn Thị Hoài Thu từng là nhân viên bảo hiểm và chồng là Hoàng Văn Thắng. Cả hai đều bị Châu gây mê và đục xương để hợp thức hóa thương tích.
Cơ quan CSĐT Công an tỉnh Phú Thọ đang tiếp tục củng cố hồ sơ, làm rõ toàn bộ hành vi phạm tội nhằm sớm đưa vụ án ra xét xử nghiêm minh.
Đây không chỉ là vụ án trục lợi bảo hiểm đơn thuần, mà còn bộc lộ mức độ nguy hiểm khi một người có chuyên môn y tế sẵn sàng tước bỏ đạo đức nghề nghiệp, gây thương tích nghiêm trọng cho người khác để trục lợi. Công an tỉnh Phú Thọ khẳng định, sẽ xử lý nghiêm để răn đe, bảo vệ sự trong sạch của hoạt động bảo hiểm và niềm tin của người dân.
Bảo Bảo
Nguồn Công Lý : https://congly.vn/he-lo-vu-bac-si-gay-me-roi-duc-xuong-nan-nhan-de-truc-loi-tien-bao-hiem-503046.html