Hiếm gặp, phẫu thuật thành công cho cụ ông 72 tuổi có 'hai bàng quang'

Hiếm gặp, phẫu thuật thành công cho cụ ông 72 tuổi có 'hai bàng quang'
3 giờ trướcBài gốc
Người bệnh T.V.L (72 tuổi) đến Bệnh viện Đa khoa Minh An (Nghệ An) trong tình trạng tiểu khó kéo dài, cảm giác tiểu không hết, tiểu đêm nhiều lần. Người bệnh cho rằng đây là “bình thường của tuổi già”, nhưng kết quả kiểm tra lại cho thấy vấn đề nghiêm trọng hơn.
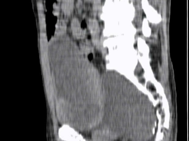
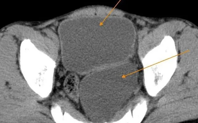
Kết quả CT-Scanner cho thấy người bệnh bị phì đại tuyến tiền liệt gây tắc nghẽn đường tiểu dưới, đồng thời có túi thừa bàng quang kích thước lớn. Túi thừa này hoạt động như một "bàng quang thứ hai", khiến dòng tiểu ứ đọng, gây tiểu khó, tiểu không hết và tăng nguy cơ viêm nhiễm đường tiết niệu. Nếu kéo dài, tình trạng này có thể ảnh hưởng đến chức năng thận.
Hình ảnh bệnh nhân có "hai bàng quang"/Ảnh BV
Các bác sĩ chuyên khoa Tiết niệu đã tiến hành cắt đốt nội soi u phì đại tuyến tiền liệt, đồng thời xử lý túi thừa bàng quang trong một lần can thiệp. Phương pháp nội soi giúp hạn chế mất máu, giảm xâm lấn và an toàn cho người bệnh lớn tuổi.
Sau phẫu thuật, người bệnh hồi phục nhanh, đi lại sau vài giờ, ăn uống nhẹ, tỉnh táo và xuất viện sau ba ngày. Chức năng tiểu tiện cải thiện rõ, người bệnh trở lại sinh hoạt gần như bình thường.
Người bệnh bị phì đại tuyến tiền liệt gây tắc nghẽn đường tiểu dưới, đồng thời có túi thừa bàng quang kích thước lớn. Ảnh BV
Qua trường hợp này cho thấy hiệu quả của phương pháp nội soi hiện đại trong điều trị các bệnh lý tiết niệu phức tạp, đặc biệt ở nhóm người cao tuổi.
Túi thừa bàng quang là tình trạng niêm mạc bàng quang phình ra ngoài qua một chỗ yếu của thành bàng quang, có thể là bẩm sinh hoặc mắc phải. Tình trạng này có thể gây ra các biến chứng như nhiễm trùng đường tiểu tái phát, sỏi bàng quang, hoặc trào ngược bàng quang niệu quản, do nước tiểu bị ứ đọng lại trong túi thừa. Việc chẩn đoán thường qua siêu âm hoặc chụp bàng quang niệu đạo, và điều trị tùy thuộc vào kích thước và mức độ ảnh hưởng, có thể bao gồm phẫu thuật cắt bỏ hoặc điều trị nguyên nhân gây tắc nghẽn.
Để phòng bệnh túi thừa bàng quang bạn nên:Ăn chín, uống sôi; Ăn nhiều trái cây và rau củ các loại, duy trì chế độ ăn cân đối và bổ sung nhiều chất xơ; Không hút thuốc lá và uống rượu bia; Luyện tập thể dục hàng ngày; thăm khám sức khỏe định kỳ. Đặc biệt là ở nam giới ngoài 50 tuổi, khi có biểu hiện tiểu khó, tiểu không hết, tiểu ngắt quãng, tia nước tiểu yếu, tiểu phải gắng sức, đi tiểu nhiều lần… cần đến bệnh viện thăm khám để được chẩn đoán và can thiệp kịp thời. Việc chẩn đoán sớm sẽ giúp cho việc điều trị dễ dàng hơn và không bị ảnh hưởng quá nhiều đến chất lượng cuộc sống.
Bình Nguyên
Nguồn Tri Thức & Cuộc Sống : https://kienthuc.net.vn/hiem-gap-phau-thuat-thanh-cong-cho-cu-ong-72-tuoi-co-hai-bang-quang-post1588395.html