Hiểu đúng về nang tuyến giáp để đảm bảo an toàn cho sức khỏe

Hiểu đúng về nang tuyến giáp để đảm bảo an toàn cho sức khỏe
9 giờ trướcBài gốc
Nang tuyến giáp là những khoang chứa dịch nằm bên trong nhu mô tuyến giáp. Nang có thể rất nhỏ và không gây triệu chứng, hoặc phát triển tới kích thước đủ lớn để người bệnh nhận thấy sự thay đổi ở vùng cổ.
Nhiều nang đơn thuần chỉ chứa dịch, trong khi một số khác là nang hỗn hợp. Những nang hỗn hợp này thường được bác sĩ theo dõi sát hơn vì có thể liên quan đến các tổn thương phức tạp của tuyến giáp.
Hầu hết nang tuyến giáp xuất hiện do sự thoái hóa dạng nang của các nhân giáp đã tồn tại lâu ngày hoặc do những rối loạn trong cấu trúc mô tuyến giáp. Một số nang hình thành sau quá trình viêm tuyến giáp hoặc do biến đổi nội tiết theo tuổi tác.
Phần lớn các nguyên nhân đều lành tính và không liên quan đến ung thư. Tuy nhiên, một số nang có thành phần mô đặc hoặc đặc điểm bất thường sẽ cần được theo dõi chặt hơn đánh giá chuyên sâu để loại trừ tổn thương ác tính.
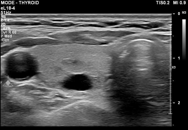
Ảnh siêu âm nang tuyến giáp - Ảnh BVCC
Rất nhiều người chỉ phát hiện nang tuyến giáp khi đi siêu âm sức khỏe định kỳ vì bản thân nang không gây triệu chứng. Một số trường hợp khác có thể cảm thấy vướng ở cổ, khó nuốt, khàn tiếng hoặc nhận thấy vùng cổ lớn hơn bình thường.
Khi nang phát triển nhanh hoặc có hiện tượng bất thường, người bệnh có thể cảm thấy đau đột ngột ở vùng tuyến giáp. Những thay đổi này là dấu hiệu quan trọng cho thấy người bệnh cần được thăm khám sớm.
Siêu âm tuyến giáp là phương pháp đơn giản, an toàn và để đánh giá nang tuyến giáp. Hình ảnh siêu âm cho phép bác sĩ xác định kích thước, vị trí và đặc điểm của nang, từ đó phân loại mức độ cần theo dõi. Khi cần thiết, bác sĩ có thể chỉ định chọc hút dịch nang vừa để giải áp, vừa để xét nghiệm tế bào nhằm đánh giá bản chất tổn thương.
Phần lớn nang tuyến giáp là lành tính và không ảnh hưởng đến chức năng tuyến giáp. Tuy nhiên, nang có thể gây khó chịu nếu phát triển đến kích thước lớn làm biến dạng vùng cổ hoặc chèn ép khí quản – thực quản.
Một số nang có thể tái phát sau chọc hút và cần can thiệp thêm. Đặc biệt, những nang có mô đặc đi kèm là nhóm cần được theo dõi thận trọng để tránh bỏ sót nguy cơ ác tính.
Việc điều trị nang tuyến giáp phụ thuộc vào kích thước và biểu hiện lâm sàng của nang. Với các nang nhỏ, lành tính và không gây triệu chứng, người bệnh thường chỉ cần theo dõi bằng siêu âm định kỳ.
Khi nang lớn, gây chèn ép hoặc tái phát nhiều lần, bác sĩ có thể chỉ định chọc hút dịch hoặc áp dụng các kỹ thuật điều trị khác phù hợp với từng trường hợp. Những nang nghi ngờ ác tính sẽ được can thiệp theo phác đồ chuyên khoa nội tiết – ung bướu.
Người bệnh nên đến cơ sở chuyên khoa Nội tiết khi nhận thấy vùng cổ to lên nhanh, xuất hiện khó nuốt, khó thở, khàn tiếng kéo dài, đau vùng tuyến giáp hoặc khi nang tái phát nhiều lần sau chọc hút.
Ngoài ra, những trường hợp có kết quả siêu âm gợi ý bất thường cũng cần được đánh giá kỹ để có hướng xử trí an toàn. Khám sớm không chỉ giúp giảm lo lắng mà còn đảm bảo các tổn thương được theo dõi và xử lý đúng thời điểm.
“Người dân nên duy trì thói quen kiểm tra sức khỏe định kỳ, đặc biệt là siêu âm tuyến giáp. Người bệnh không nên tự ý dùng thuốc khi chưa có chỉ định của bác sĩ.
Một lối sống lành mạnh, hạn chế căng thẳng, chế độ dinh dưỡng cân đối, bổ sung i-ốt theo khuyến nghị cũng góp phần duy trì sức khỏe tuyến giáp.
Với những người đã được chẩn đoán nang tuyến giáp, việc tái khám đúng hẹn là rất quan trọng để theo dõi tiến triển của bệnh”, các bác sĩ Bệnh viện Nội tiết Trung ương khuyến cáo.
Thúy Nga
Nguồn Tri Thức & Cuộc Sống : https://kienthuc.net.vn/hieu-dung-ve-nang-tuyen-giap-de-dam-bao-an-toan-cho-suc-khoe-post1597871.html