Hy hữu: Trêu đùa bằng vòi xịt rửa xe gây thủng đại tràng

Hy hữu: Trêu đùa bằng vòi xịt rửa xe gây thủng đại tràng
5 giờ trướcBài gốc
Ngày 15/10, khoa Ngoại Tiêu hóa - Bệnh viện Đa khoa Tỉnh Lạng Sơn tiếp nhận và điều trị thành công một trường hợp đau bụng cấp do thủng đại tràng, nguyên nhân hy hữu là do dùng vòi xịt rửa xe ô tô để xịt vào hậu môn.
Bệnh nhân nhập viện trong tình trạng đau bụng dữ dội, bụng chướng căng, khó thở và mệt lả.
Qua khai thác bệnh sử, được biết trước đó bệnh nhân bị bạn trêu đùa, dùng vòi xịt rửa xe ô tô áp lực cao xịt vào vùng hậu môn.
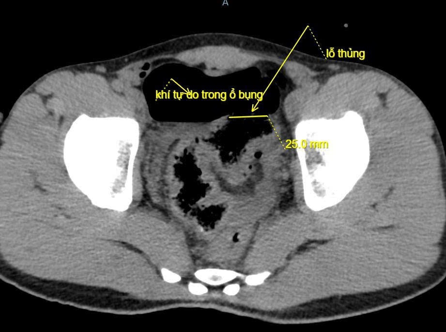
Kết quả chụp X-quang và CT scan ổ bụng cho thấy có nhiều khí tự do trong ổ bụng, nghi ngờ thủng tạng rỗng, bệnh nhân được chỉ định mổ cấp cứu ngay lập tức.
Ảnh chụp Cắt lớp vi tính ổ bụng. Ảnh: BVCC
Trong quá trình phẫu thuật, ê-kíp ghi nhận ổ bụng có khoảng 100ml máu và dịch bẩn, đoạn đại tràng sigma bị tổn thương dài 5cm, có lỗ thủng khoảng 2cm, mô xung quanh dập nát. Người bệnh được cắt lọc, khâu phục hồi đại tràng, làm sạch ổ bụng và đặt dẫn lưu.
Sau mổ, bệnh nhân được điều trị tích cực bằng kháng sinh, bù dịch, giảm đau và dinh dưỡng hợp lý. Hiện tại bệnh nhân tỉnh táo, hết đau bụng, bụng mềm và trung tiện được, sức khỏe tiến triển tốt.
Theo bác sĩ điều trị, vòi xịt rửa xe ô tô có áp lực nước rất lớn (100-200 bar), có thể gây tổn thương nghiêm trọng cho hậu môn, trực tràng và đại tràng.
Khi luồng khí hoặc nước áp lực cao xâm nhập vào đường tiêu hóa, khí bị đẩy sâu vào ruột, làm tăng áp lực trong lòng ruột, gây thủng ruột, tràn khí ổ bụng, đe dọa tính mạng người bệnh.
Đồng thời, bác sĩ khuyến cáo, người dân tuyệt đối không sử dụng vòi xịt áp lực cao, vòi máy nén khí hoặc thiết bị tương tự để vệ sinh vùng hậu môn - sinh dục. Chỉ nên dùng vòi xịt vệ sinh chuyên dụng cho nhà tắm, có áp lực thấp, đảm bảo an toàn cho sức khỏe.
Mạnh Hưng
Nguồn Đại Biểu Nhân Dân : https://daibieunhandan.vn/hy-huu-treu-dua-bang-voi-xit-rua-xe-gay-thung-dai-trang-10391061.html