Lần đầu mổ robot phổi biệt lập tại Việt Nam

Lần đầu mổ robot phổi biệt lập tại Việt Nam
4 giờ trướcBài gốc
Ngày 2/3, Bệnh viện Bình Dân, TP.HCM cho biết, đơn vị vừa thực hiện thành công ca phẫu thuật robot cắt thùy dưới phổi trái cho ông N.N.T. (56 tuổi), Tây Ninh.
Người này được chẩn đoán mắc phổi biệt lập nội thùy, một dị tật bẩm sinh hiếm gặp. Đây là trường hợp điều trị phổi biệt lập bằng robot đầu tiên được báo cáo tại Việt Nam.
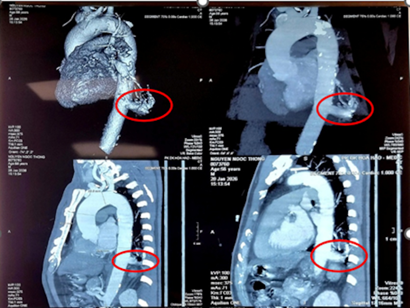
Tổn thương của bệnh nhân có kích thước 23 x 26mm, đặc biệt được nuôi bởi một nhánh động mạch xuất phát trực tiếp từ động mạch chủ xuống, đường kính tới 17mm.
Hình chụp tình trạng ngực của bệnh nhân.
Theo Ths BSCKII Nguyễn Văn Việt Thành - Trưởng Khoa Ngoại Lồng ngực – Bướu cổ Bệnh viện Bình Dân, khó khăn lớn nhất là xử lý mạch máu lớn, dễ vỡ và dính do viêm mạn tính. Chỉ một sai sót nhỏ có thể dẫn đến biến chứng chảy máu nghiêm trọng.
Sau hội chẩn toàn viện, ê-kíp quyết định lựa chọn phẫu thuật robot nhằm tối ưu độ chính xác và an toàn. Công nghệ này cung cấp hình ảnh 3D phóng đại rõ nét, cánh tay robot linh hoạt vượt trội và khả năng loại bỏ rung tay tự nhiên, giúp thao tác bóc tách và kiểm soát mạch máu sát động mạch chủ trở nên tinh vi hơn.
Ca mổ diễn ra trong khoảng 120 phút, khối phổi biệt lập được cắt trọn, không tổn thương động mạch chủ, không xảy ra biến chứng. Nhờ không phải banh sườn và chỉ qua các lỗ trocar nhỏ, bệnh nhân ít đau, hồi phục nhanh và xuất viện sau 4 ngày.
Bệnh nhân hồi phục sau mổ.
Phổi biệt lập (Bronchopulmonary Sequestration – BPS) chiếm tỷ lệ rất thấp trong các dị tật phổi, thường nằm ở thùy dưới phổi trái.
Phần mô phổi này không tham gia hô hấp nhưng lại nhận máu trực tiếp từ hệ động mạch chủ – nguồn áp lực cao, tiềm ẩn nguy cơ xuất huyết, nhiễm trùng tái phát hoặc quá tải tim nếu không được điều trị kịp thời.
Phẫu thuật là phương pháp điều trị duy nhất và nên thực hiện sớm trước khi biến chứng xảy ra.
Thành công của ca mổ robot đầu tiên điều trị phổi biệt lập không chỉ đánh dấu bước tiến chuyên môn mà còn cho thấy người bệnh trong nước đã có thể tiếp cận kỹ thuật ngoại khoa hiện đại với độ an toàn cao, mở ra thêm cơ hội bảo vệ sức khỏe trước những nguy cơ âm thầm trong lồng ngực.
Kim Sáng
Nguồn Công Lý : https://congly.vn/lan-dau-mo-robot-phoi-biet-lap-tai-viet-nam-512603.html