Lần đầu tiên tại Việt Nam phẫu thuật robot cắt phổi biệt lập

Lần đầu tiên tại Việt Nam phẫu thuật robot cắt phổi biệt lập
2 giờ trướcBài gốc
Trường hợp lâm sàng hiếm gặp với phổi biệt lập nội thùy
Cụ thể, trường hợp bệnh nhân N.N.T (56 tuổi, Tây Ninh) là một tình huống hiếm gặp. Người bệnh tình cờ phát hiện tổn thương thùy dưới phổi trái khi đi khám tổng quát.
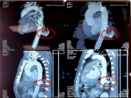
Tại Bệnh viện Bình Dân, các bác sĩ chẩn đoán ông mắc phổi biệt lập nội thùy với khối kích thước 23 mm × 26 mm. Đáng chú ý, động mạch nuôi khối này xuất phát trực tiếp từ động mạch chủ xuống với đường kính lên tới 17 mm – một kích thước rất lớn và đầy rủi ro nếu người bệnh không được điều trị.
Hình MSCT ngực của người bệnh. Ảnh: BVCC
ThS.BSCKII. Nguyễn Văn Việt Thành – Trưởng khoa Ngoại Lồng ngực – Bướu cổ, Bệnh viện Bình Dân cho biết, khó khăn lớn nhất là phẫu tích nhánh động mạch nuôi này. Mạch máu này to, dễ vỡ và rất dính do tình trạng nhiễm trùng mạn tính xung quanh. Một sai sót nhỏ cũng có thể dẫn đến biến cố chảy máu không thể kiểm soát.
Trước thách thức đó, hội chẩn toàn viện đã quyết định lựa chọn phẫu thuật robot – công nghệ ngoại khoa tân tiến nhất hiện nay.
Ngày 12/2, ThS.BSCKII. Nguyễn Văn Việt Thành – Trưởng khoa Ngoại lồng ngực – Bướu cổ, Phó chủ nhiệm Bộ môn Ngoại khoa Trường Đại học Y khoa Phạm Ngọc Thạch trực tiếp thực hiện.
Ca phẫu thuật diễn ra trong khoảng 120 phút với phần phổi biệt lập được cắt trọn mà không tổn thương động mạch chủ ngực xuống, không có biến chứng chảy máu. Do không phải banh sườn và các lỗ trocar rất nhỏ, người bệnh ít đau hơn rất nhiều, giảm mất máu và rút ngắn thời gian nằm viện. Sau 4 ngày mổ, người bệnh đã hồi phục nhanh chóng và được xuất viện.
Phổi biệt lập: mối nguy tiềm tàng trong lồng ngực
Theo bác sĩ Bệnh viện Bình Dân, phổi biệt lập (Bronchopulmonary Sequestration - BPS) là một dị tật bẩm sinh hiếm gặp, chỉ chiếm khoảng 0,15% đến 6,4% các dị tật phổi. Có 2 dạng phổi biệt lập: phổi nội thùy (75%) và ngoại thùy (25%).
Vị trí thường gặp của phổi biệt lập thường ở thùy dưới phổi trái. Hiểu một cách đơn giản, đây là một phần mô phổi “dư thừa” phát triển bất thường từ thời kỳ phôi thai không có chức năng hô hấp và không thông với đường dẫn khí bình thường.
Đặc điểm nguy hiểm nhất của phổi biệt lập chính là nguồn máu nuôi dưỡng. Thay vì nhận máu từ động mạch phổi như bình thường, khối mô này lại “ăn bám” trực tiếp vào các động mạch hệ thống – thường là động mạch chủ ngực hoặc động mạch chủ bụng.
Nếu không được phát hiện và điều trị kịp thời, khối phổi biệt lập này có thể làm người bệnh tử vong bất cứ lúc nào. Áp lực máu cực cao từ động mạch chủ đổ vào các mạch máu nhỏ, yếu ớt của khối biệt lập có thể gây ra những biến chứng kinh hoàng. Cụ thể như:
Ho ra máu sét đánh hoặc xuất huyết nội: Vỡ mạch máu nuôi khối biệt lập dẫn đến chảy máu ồ ạt vào khoang màng phổi hoặc đường thở, đe dọa tính mạng chỉ trong tích tắc.
Nhiễm trùng tái phát và áp xe phổi: Do không có đường dẫn lưu, dịch tiết tích tụ biến khối phổi này thành “ổ vi khuẩn”, gây viêm phổi tái đi tái lại tại một vị trí cố định.
Suy tim: Luồng thông máu (shunt) bất thường từ động mạch chủ về tim có thể gây quá tải, dẫn đến suy tim cung lượng cao. Biến chứng này có thể gặp ở trẻ sơ sinh và trẻ nhỏ.
Thoái hóa ác tính: Dù hiếm, nhưng y văn thế giới đã ghi nhận các trường hợp ung thư phát triển ngay trên nền mô phổi biệt lập không được phát hiện kịp thời.
Người bệnh hồi phục nhanh sau khi phẫu thuật. Ảnh: BVCC
Bác sĩ khuyến cáo, dù là bệnh lý bẩm sinh hiếm gặp với tỷ lệ nam giới mắc cao gấp 3 lần nữ giới, nhưng phổi biệt lập hoàn toàn có thể được điều trị dứt điểm nếu phát hiện sớm. Phẫu thuật là cách điều trị duy nhất, đặc biệt khi chưa xảy ra biến chứng nhiễm trùng hay chảy máu.
Bên cạnh đó, hiệu quả điều trị còn phụ thuộc vào sự phối hợp của nhiều chuyên khoa liên quan như gây mê hồi sức, chẩn đoán hình ảnh và phẫu thuật mạch máu. Do đó, những trường hợp phẫu thuật hiếm và khó như trường hợp nêu trên cần được thực hiện tại các bệnh viện ngoại khoa chuyên sâu để đảm bảo an toàn phẫu thuật.
Đồng thời, nếu một người có các triệu chứng như viêm phổi tái diễn tại một vị trí, ho ra máu hoặc tình cờ phát hiện khối bất thường ở phổi, hãy đến các cơ sở y tế chuyên sâu để được tầm soát, chẩn đoán.
Xuân Quý
Nguồn Đại Biểu Nhân Dân : https://daibieunhandan.vn/lan-dau-tien-tai-viet-nam-phau-thuat-robot-cat-phoi-biet-lap-10408427.html