Người đàn ông suýt vỡ mạch máu ổ bụng vì chiếc tăm tre 'đi lạc' vào tá tràng

Người đàn ông suýt vỡ mạch máu ổ bụng vì chiếc tăm tre 'đi lạc' vào tá tràng
6 giờ trướcBài gốc
Bệnh viện Hữu nghị Việt Đức đã tiếp nhận và cấp cứu thành công trường hợp bệnh nhân L.H.T (52 tuổi, Nghệ An) nhập viện trong tình trạng đau bụng quanh rốn nhiều ngày, đi ngoài phân đen, thiếu máu nặng.
Hình ảnh dị vật (tăm tre) được lấy ra sau phẫu thuật - Ảnh BVCC
Qua thăm khám và chụp chiếu, các bác sĩ phát hiện trong cơ thể người bệnh có một chiếc tăm tre đã đi sâu xuống phần tá tràng – tức là đoạn đầu của ruột non, nối tiếp sau dạ dày.
Chiếc tăm này không chỉ dừng lại ở đó mà đã đâm xuyên qua thành ruột, tạo ra một ổ viêm nhiễm, tụ mủ (gọi là áp xe) có kích thước khoảng 4 cm trong phần mô mỡ và mạch máu bao quanh ruột non.
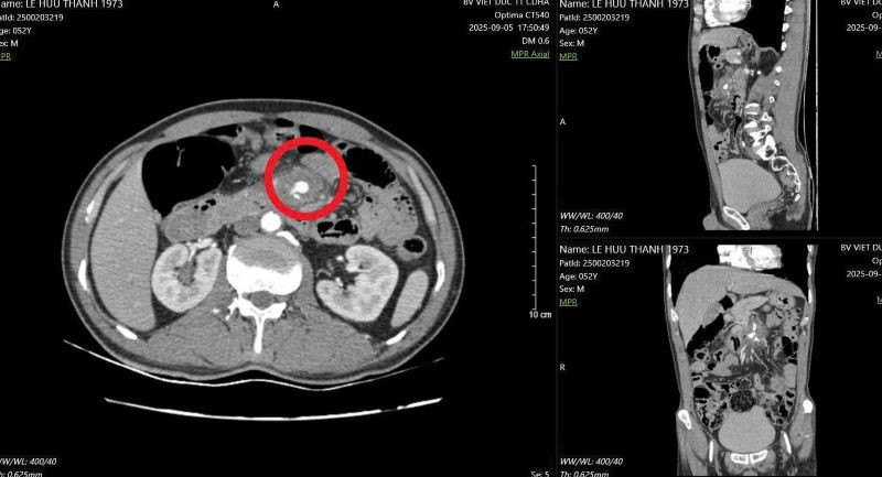
Hình ảnh đoạn D3 tá tràng tổn thương, cạnh động mạch mạc treo tràng trên - Ảnh BVCC
Nguy hiểm hơn, đầu tăm tiếp tục đâm vào một trong những mạch máu lớn nhất trong ổ bụng – động mạch mạc treo tràng trên, là nơi đưa máu nuôi phần lớn ruột non. Tổn thương này đã khiến thành mạch máu bị phồng lên giả tạo (gọi là “giả phình mạch”), nếu không được phát hiện và xử trí kịp thời có thể gây vỡ mạch, chảy máu ồ ạt trong ổ bụng, đe dọa tính mạng.
Đây là tình huống hiếm gặp nhưng vô cùng nguy hiểm, đe dọa trực tiếp đến tính mạng người bệnh nếu không được cấp cứu kịp thời. Đồng thời việc xử trí tổn thương đường tiêu hóa kết hợp với mạch máu cũng hết sức phức tạp.
Ngay lập tức, bệnh nhân được chỉ định mổ cấp cứu. Ê-kíp do TS.BS Dương Trọng Hiền – Trưởng khoa Phẫu thuật Cấp cứu Tiêu hóa, Bệnh viện Hữu nghị Việt Đức cùng ê-kíp mạch máu đã tiến hành phẫu tích bộc lộ tổn thương tá tràng, làm sạch ổ áp xe trong rễ mạc treo, xác định tổn thương mạch mạc treo tràng trên.
Bệnh nhân đã được khâu lỗ thủng tá tràng, lấy dị vật là một chiếc tăm tre, đồng thời mở thông hỗng tràng. Ê-kíp mạch máu tiến hành khâu tổn thương mạch mạc treo tràng trên và gia cố bằng tổ chức mạc treo, đánh giá tình trạng ruột sau xử trí mạch máu đảm bảo tưới máu ruột tốt. Sau phẫu thuật tình trạng bệnh nhân đã ổn định, nhiễm trùng đã được điều trị tốt, bệnh nhân đã tập ăn và tiêu hóa tốt.
TS.BS Dương Trọng Hiền – Trưởng khoa Phẫu thuật Cấp cứu Tiêu hóa, Bệnh viện Hữu nghị Việt Đức thăm khám cho người bệnh sau phẫu thuật - Ảnh BVCC
TS.BS Dương Trọng Hiền khuyến cáo: Người dân cần hết sức cẩn trọng khi sử dụng tăm tre hay dị vật nhỏ, nhọn trong sinh hoạt, tránh để lẫn vào thức ăn hoặc vô tình nuốt phải.
Một chiếc tăm nhỏ có thể gây thủng ruột, tổn thương mạch máu lớn và dẫn đến hậu quả nghiêm trọng. Khi nghi ngờ nuốt phải dị vật hoặc có triệu chứng đau bụng, nôn ra máu, đi ngoài phân đen… cần đến bệnh viện ngay để được thăm khám và xử trí kịp thời.
Thúy Nga
Nguồn Tri Thức & Cuộc Sống : https://kienthuc.net.vn/nguoi-dan-ong-suyt-vo-mach-mau-o-bung-vi-chiec-tam-tre-di-lac-vao-ta-trang-post1579331.html