Phẫu thuật lấy búi tóc trong dạ dày của bé trai 6 tuổi

Phẫu thuật lấy búi tóc trong dạ dày của bé trai 6 tuổi
2 giờ trướcBài gốc
Lấy búi tóc ra khỏi cơ thể cháu bé
Trước đó, ngày 28-1, bệnh nhi Đ.Đ.T.A. (6 tuổi, trú phường Sơn Trà, TP Đà Nẵng) được gia đình đưa đến bệnh viện trong tình trạng đau bụng âm ỉ kéo dài, ăn uống kém.
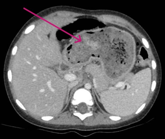
Qua thăm khám và chụp CT-scan, các bác sĩ phát hiện một búi tóc chiếm gần như toàn bộ dạ dày và kéo dài qua tá tràng xuống ruột non. Đây là biểu hiện điển hình của trichobezoar (búi tóc trong dạ dày) tiến triển thành hội chứng Rapunzel. Em A. được chỉ định phẫu thuật mở dạ dày để lấy búi tóc ra ngoài.
Theo BS CKII Nguyễn Phi Phong, Trưởng khoa Ngoại, Bệnh viện Phụ sản – Nhi Đà Nẵng, trichobezoar là tình trạng tóc tích tụ trong dạ dày do không thể tiêu hóa, thường xuất phát từ thói quen ăn tóc kéo dài. Trong những trường hợp hiếm, búi tóc phát triển dài xuống ruột non sẽ gây tắc ruột, thủng ruột, viêm phúc mạc, thậm chí đe dọa tính mạng nếu không được can thiệp kịp thời.
Hình ảnh scan búi tóc
Hội chứng Rapunzel cực kỳ hiếm gặp, chủ yếu ghi nhận ở bé gái từ 7–10 tuổi. Trường hợp bé trai 6 tuổi là một ca bệnh đặc biệt hiếm. Đáng lưu ý, nhiều trẻ mắc trichobezoar không có biểu hiện rối loạn tâm lý rõ ràng, học tập và sinh hoạt bình thường, khiến gia đình khó phát hiện sớm.
XUÂN QUỲNH
Nguồn SGGP : https://sggp.org.vn/phau-thuat-lay-bui-toc-trong-da-day-cua-be-trai-6-tuoi-post836324.html