Phẫu thuật thành công ca bệnh có khối u hiếm gặp nặng gần 9kg

Phẫu thuật thành công ca bệnh có khối u hiếm gặp nặng gần 9kg
3 giờ trướcBài gốc
Kíp phẫu thuật khoa Ngoại Tổng hợp xử lý bóc tách khối u khủng gần 9kg. Ảnh: BVCC
Ngày 21-4, theo tin từ Bệnh viện Ung bướu Hà Nội, các bác sĩ Khoa Ngoại Tổng hợp vừa phẫu thuật thành công khối u sarcoma cơ trơn tử cung giai đoạn III cho nữ bệnh nhân P.H.L (45 tuổi ở Hà Nội). Sarcoma là khối u ác tính hiếm gặp với kích thước khổng lồ, chiếm gần toàn bộ ổ bụng, gây chèn ép nhiều cơ quan nội tạng và ảnh hưởng nghiêm trọng đến hô hấp cũng như sinh hoạt của người bệnh.
Trước đó, nữ bệnh nhân hoàn toàn khỏe mạnh, chưa phát hiện bệnh lý bất thường và chưa lập gia đình. Khoảng 6 tháng trước khi nhập viện, chị bắt đầu xuất hiện các cơn đau âm ỉ vùng bụng, chủ yếu vào ban đêm, kèm theo tình trạng gầy mòn, sút cân. Tuy nhiên, do tâm lý chủ quan và e ngại, người bệnh không muốn đến bệnh viện thăm khám.
Hình ảnh khối u. Ảnh: BVCC
Trong vài tháng gần đây, tình trạng bệnh tiến triển rõ rệt khi bụng bệnh nhân ngày càng to lên, các cơn đau xuất hiện nhiều hơn, ăn uống kém và đặc biệt là khó thở tăng dần. Bệnh nhân không thể nằm ngửa mà chỉ có thể nằm nghiêng do cảm giác bị chèn ép. Khi các triệu chứng trở nên nghiêm trọng, chị L mới đến khám và được phát hiện có khối u lớn trong ổ bụng.
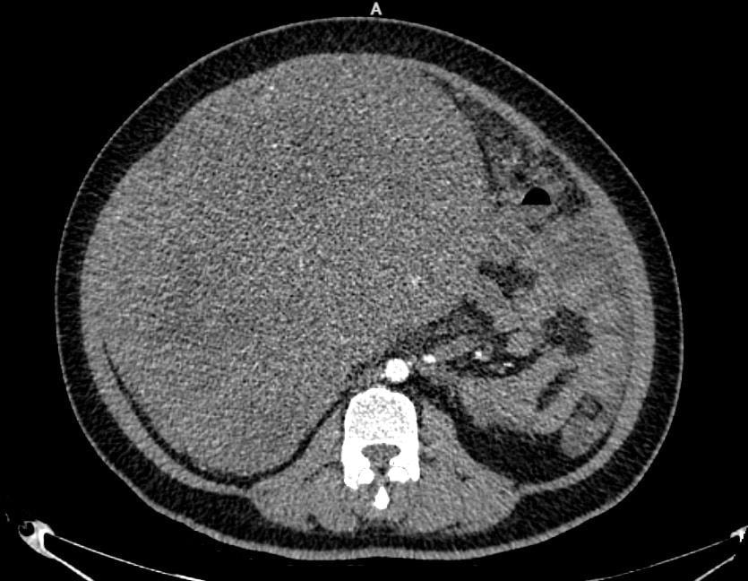
Kết quả chụp cắt lớp vi tính cho thấy, khối u của bệnh nhân lan tỏa vùng hạ sườn phải, quanh rốn và hạ vị với kích thước lên tới 22,7 x 29cm, bờ không đều. Khối u tiếp xúc và chèn ép nhiều cơ quan như gan, túi mật, thận phải, tụy, đồng thời dính với đáy tử cung. Ngoài ra, bệnh nhân còn có tình trạng dịch ổ bụng nhiều và tràn dịch màng phổi hai bên.
Trước tình trạng khối u phát triển lớn gây chèn ép nghiêm trọng, các bác sĩ Khoa Ngoại Tổng hợp đã tiến hành hội chẩn và quyết định mổ bán cấp cứu cho bệnh nhân. Trong quá trình phẫu thuật, khối u được xác định xuất phát từ đáy tử cung, kích thước lớn nhất gần 30cm, chiếm gần toàn bộ ổ bụng và dính với đại tràng, mạc treo ruột non cùng nhiều cấu trúc xung quanh.
Đây là ca mổ có mức độ phức tạp cao, thách thức lớn nhất đối với ê-kíp phẫu thuật là quá trình phẫu tích và kiểm soát khối u. Với khối u có kích thước lớn, liên quan với nhiều tạng quan trọng, phẫu thuật viên phải thao tác hết sức thận trọng nhằm đảm bảo không làm vỡ u trong quá trình bóc tách, hạn chế mất máu, đồng thời bảo tồn tối đa các cơ quan nội tạng lân cận. Việc kiểm soát tốt các cuống mạch nuôi u và đánh giá chính xác mức độ xâm lấn đóng vai trò quyết định đến sự an toàn, thành công của ca mổ.
Ê-kíp phẫu thuật đã thực hiện cắt bỏ trọn khối u kèm toàn bộ tử cung và hai phần phụ để đảm bảo loại bỏ tối đa tổn thương. Ca mổ diễn ra trong khoảng 2 giờ, bệnh nhân được truyền 4 đơn vị máu và được phối hợp hồi sức tích cực. Khối u sau khi được lấy ra nặng gần 9kg.
Sau phẫu thuật, tình trạng bệnh nhân tiến triển tốt, vết mổ khô, sức khỏe ổn định, có thể ăn uống và đi lại bình thường, được xuất viện sau 7 ngày. Bệnh nhân được tư vấn tiếp tục điều trị hóa chất bổ trợ nhằm giảm nguy cơ tái phát.
Chia sẻ sau ca phẫu thuật, chị L cho biết: “Tôi cảm thấy cơ thể nhẹ nhõm rõ rệt, các triệu chứng đau bụng và khó thở đã hoàn toàn biến mất, có thể nằm ngửa và sinh hoạt bình thường trở lại”.
Theo bác sĩ chuyên khoa II Lê Văn Thành, Phó Giám đốc Bệnh viện Ung Bướu Hà Nội, Trưởng khoa Ngoại Tổng hợp, đây là trường hợp điển hình cho việc chủ quan với các triệu chứng ban đầu khiến khối u phát triển âm thầm và tiến triển đến giai đoạn muộn, tiềm ẩn nhiều biến chứng nguy hiểm, thậm chí đe dọa tính mạng. Đáng tiếc, để đảm bảo loại bỏ triệt để khối u và an toàn cho người bệnh, các bác sĩ buộc phải thực hiện cắt toàn bộ tử cung, ảnh hưởng đến khả năng sinh sản về sau.
“Người dân không nên bỏ qua các dấu hiệu bất thường như đau bụng kéo dài, bụng to nhanh, ăn uống kém hoặc khó thở. Việc thăm khám sớm giúp phát hiện bệnh ở giai đoạn còn can thiệp được, từ đó nâng cao hiệu quả điều trị, giảm mức độ xâm lấn phẫu thuật và tăng cơ hội bảo tồn cơ quan”, bác sĩ Lê Văn Thành khuyến cáo.
Gia Phong
Nguồn Hà Nội Mới : https://hanoimoi.vn/phau-thuat-thanh-cong-ca-benh-co-khoi-u-hiem-gap-nang-gan-9kg-746228.html