Thợ lặn biển hơn 20 năm bị hoại tử xương cánh tay, xương đùi

Thợ lặn biển hơn 20 năm bị hoại tử xương cánh tay, xương đùi
một giờ trướcBài gốc
Ngày 21/11, Bệnh viện Hữu nghị Quảng Bình cho biết, vừa tiếp nhận một bệnh nhân bị hoại tử xương chỏm cánh tay và tổn thương khớp háng nghi do ảnh hưởng lâu dài của nghề lặn biển.
Hình ảnh chụp MRI cho thấy bệnh nhân bị hoại tử chỏm xương cánh tay trái, ổ hoại tử lan xuống vùng cổ và thân xương cánh tay.
Bệnh nhân N.V.H. (39 tuổi, trú xã Quảng Ninh, tỉnh Quảng Trị) đến viện thăm khám khi gặp tình trạng đau nhức vai trái nhiều tuần, cơn đau tăng khi nâng tay, dang tay hoặc thực hiện các động tác.
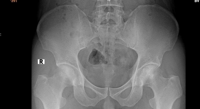
Kết quả chụp MRI cho thấy phần chỏm xương cánh tay trái bị hoại tử, ổ hoại tử lan xuống vùng cổ và thân xương cánh tay. Khi chụp X-quang phần khớp háng nhận thấy dấu hiệu hoại tử vô mạch chỏm xương đùi hai bên độ 2 theo ficat và alert (tình trạng tế bào xương ở chỏm xương đùi chết đi do mất nguồn cung cấp máu).
Qua khai thác bệnh sử, bệnh nhân H. cho biết, làm nghề thợ lặn tự do hơn 20 năm, chuyên lặn biển đánh bắt hải sản và lặn trục vớt. Công việc nặng nhọc, tiếp xúc với môi trường áp lực cao trong thời gian dài khiến anh thường xuyên chịu tải lớn lên vùng vai – tay.
Bệnh nhân có dấu hiệu hoại tử vô mạch chỏm xương đùi hai bên độ 2 theo ficat và alert.
Bác sĩ Nguyễn Mạnh Thưởng, Trưởng Khoa Ngoại – Gây mê hồi sức, Bệnh viện Hữu nghị Quảng Bình cho biết, hoại tử chỏm xương là bệnh lý có thể diễn tiến âm thầm. Khi đã lan rộng sẽ làm tăng nguy cơ xẹp chỏm xương, gãy xương bệnh lý, mất chức năng khớp vai hoặc khớp háng người bệnh. Nếu tình trạng diễn tiến nặng phải phẫu thuật thay khớp để duy trì khả năng vận động.
Thợ lặn có nguy cơ cao bị hoại tử vô mạch khớp vai và khớp háng do áp lực khí nén cao và những thay đổi đột ngột về áp suất trong quá trình lặn, gây tổn thương mạch máu và thiếu máu cục bộ dẫn đến hoại tử xương. Người thợ lặn có thể phải ngừng công việc với những tổn thương này.
Với tình trạng sức khỏe, bệnh nhân được bác sĩ tư vấn chuyển lên tuyến trên để được thăm khám và điều trị chuyên sâu. Việc trì hoãn điều trị trong trường hợp này có thể khiến tổn thương xương tiến triển nhanh hơn, tăng nguy cơ gãy xương trong lúc lao động dưới nước – tình huống có thể đe dọa trực tiếp đến tính mạng.
Bác sĩ Thưởng khuyến cáo, nhóm nghề nghiệp thợ lặn, thợ lặn trục vớt, công nhân áp lực cao cần khám sức khỏe định kỳ khi có đau dai dẳng vùng vai – hông – háng, chú ý các triệu chứng hạn chế vận động. Bệnh nhân cần điều trị sớm để tránh biến chứng nặng nề.
Thế Anh - Khánh Huyền
Nguồn SK&ĐS : https://suckhoedoisong.vn/tho-lan-bien-hon-20-nam-bi-hoai-tu-xuong-canh-tay-xuong-dui-169251121142651819.htm