Từ một dấu hiệu lạ, người đàn ông phát hiện mắc 2 loại ung thư

Từ một dấu hiệu lạ, người đàn ông phát hiện mắc 2 loại ung thư
12 giờ trướcBài gốc
Từ triệu chứng tưởng chừng đơn giản, bệnh nhân 63 tuổi được chẩn đoán cùng lúc hai ung thư riêng biệt. Ảnh minh họa: Đinh Hà.
Người đàn ông 63 tuổi đến khám tại Trung tâm Y học hạt nhân và Ung bướu, Bệnh viện Bạch Mai, vì tiểu khó kéo dài. Sau đó, bệnh nhân được chỉ định thực hiện nhiều kỹ thuật cận lâm sàng như chụp cắt lớp vi tính (CT), cộng hưởng từ (MRI), xạ hình xương và đặc biệt là PET/CT. Kết quả cho thấy tổn thương tại tuyến tiền liệt, đồng thời xuất hiện nhiều khối u ở phổi, tuyến thượng thận và xương.
Như vậy, chỉ trong chưa đầy 2 tháng, các bác sĩ phát hiện ông đồng thời mắc hai bệnh ung thư riêng biệt: ung thư phổi và ung thư tuyến tiền liệt.
Theo PGS.TS.BS Phạm Cẩm Phương, Giám đốc Trung tâm, đây là trường hợp đa ung thư nguyên phát đồng thì (Synchronous Multiple Primary Malignancies), khi hai hoặc nhiều khối u ác tính xuất hiện độc lập trong thời gian ngắn.
"Dù ung thư phổi và ung thư tuyến tiền liệt đều là bệnh lý thường gặp ở nam giới, việc cùng xuất hiện trên một bệnh nhân là tương đối hiếm, đòi hỏi quá trình chẩn đoán và điều trị đặc biệt thận trọng", PGS Phương nói.
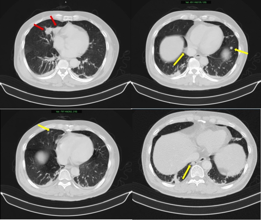
Hình ảnh 2 khối u bờ đa cung ở nhu mô thùy giữa phổi phải, dính vào màng phổi trung thất (mũi tên đỏ) kèm nhiều nốt đặc nhỏ rải rác nhu mô phổi hai bên (mũi tên vàng) gợi ý tổn thương thứ phát. Ảnh: BVCC.
Thách thức lớn nhất là làm rõ bản chất các tổn thương, phân định đâu là khối u nguyên phát và đâu là ổ di căn. Việc phân biệt này có ý nghĩa quyết định trong lựa chọn phác đồ điều trị. Nếu chẩn đoán sai, toàn bộ chiến lược điều trị có thể đi chệch hướng.
Sau khi tiến hành sinh thiết, phân tích mô bệnh học kết hợp hóa mô miễn dịch, các bác sĩ xác định khối u tại phổi là ung thư biểu mô tuyến của phổi, trong khi khối u tuyến tiền liệt là ung thư biểu mô tuyến với điểm Gleason 9 - thuộc nhóm nguy cơ cao. Hai khối u có nguồn gốc hoàn toàn khác nhau, không phải di căn chéo.
Trước tình huống hiếm gặp, ê-kíp điều trị đã hội chẩn đa chuyên khoa để xây dựng phác đồ tối ưu, ưu tiên kiểm soát bệnh toàn thân.
Bệnh nhân được hóa trị ung thư phổi bằng phác đồ Pemetrexed kết hợp Carboplatin, đồng thời điều trị nội tiết ung thư tuyến tiền liệt bằng Degarelix.
Sau 2-3 tháng điều trị, tình trạng bệnh nhân ổn định, các triệu chứng cải thiện rõ rệt. Các chỉ số dấu ấn ung thư cũng giảm dần, cho thấy đáp ứng điều trị bước đầu tích cực.
Theo GS.TS Mai Trọng Khoa, nguyên Phó giám đốc Bệnh viện Bạch Mai, ca bệnh là minh chứng điển hình cho vai trò quan trọng của chẩn đoán chính xác trong các tình huống phức tạp. Việc phân biệt ung thư nguyên phát với di căn không chỉ giúp lựa chọn đúng phương pháp điều trị mà còn góp phần nâng cao hiệu quả, kéo dài thời gian sống và cải thiện chất lượng sống cho người bệnh.
Trong bối cảnh y học hiện đại, số ca đa ung thư nguyên phát có xu hướng được phát hiện nhiều hơn. Các bác sĩ khuyến cáo người dân nên thăm khám định kỳ, tầm soát sớm và điều trị theo hướng phối hợp đa chuyên khoa để tăng cơ hội kiểm soát bệnh hiệu quả.
Phương Anh
Nguồn Znews : https://znews.vn/tu-mot-dau-hieu-la-nguoi-dan-ong-phat-hien-mac-ung-thu-phoi-va-tuyen-tien-liet-post1638037.html