Vì sao người cao tuổi dễ mắc bệnh phổi kẽ tiến triển?

Vì sao người cao tuổi dễ mắc bệnh phổi kẽ tiến triển?
3 giờ trướcBài gốc
Bệnh thường gặp ở người cao tuổi, tiến triển âm thầm qua nhiều năm và dễ bị nhầm lẫn với các bệnh hô hấp khác. Việc chẩn đoán sớm và điều trị đúng phương pháp có ý nghĩa then chốt, giúp làm chậm tổn thương phổi và cải thiện đáng kể chất lượng cuộc sống cho người bệnh.
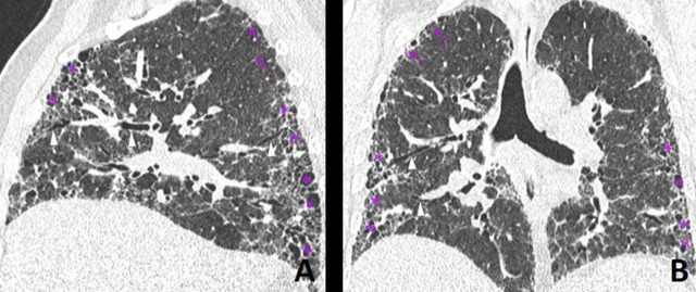
Hình ảnh CT ngực cho thấy phổi người bệnh IPF với mô xơ hóa dạng “tổ ong”.
Bệnh phổi kẽ tiến triển là gì?
Thoái hóa phổi không rõ nguyên nhân (Idiopathic Pulmonary Fibrosis – IPF) là một dạng bệnh phổi kẽ tiến triển, nơi mô phổi bị xơ hóa dần theo thời gian mà không xác định được nguyên nhân rõ ràng. Ở giai đoạn muộn, phổi mất tính đàn hồi, giảm khả năng trao đổi khí, gây khó thở và suy hô hấp.
Theo các nghiên cứu dịch tễ gần đây, IPF vẫn được xếp vào các bệnh hiếm. Tuy nhiên, tần suất mắc và số người được chẩn đoán đang gia tăng trong nhiều quốc gia. Ở châu Á – Thái Bình Dương, châu Âu và Bắc Mỹ, điều tra cho thấy số ca mắc mới và số bệnh nhân sống với IPF (prevalence) đang tăng, đặc biệt với nhóm dân số cao tuổi. Điển hình như một nghiên cứu dân số ở Hàn Quốc cho thấy tỉ lệ mắc IPF đã tăng qua các năm; ở Nhật Bản, dữ liệu từ hệ thống bảo hiểm y tế cũng chứng minh rằng tuổi trung bình chẩn đoán IPF là khoảng 70 tuổi trở lên.
Những yếu tố nguy cơ gây bệnh phổi kẽ tiến triển
IPF thường xảy ra ở người trong độ tuổi từ khoảng 60–70 tuổi trở lên, nam giới có nguy cơ cao hơn phụ nữ. Một số yếu tố thúc đẩy bệnh bao gồm:
Hút thuốc lá hoặc từng hút thuốc nhiều năm, là yếu tố nguy cơ hàng đầu.
Tiếp xúc nghề nghiệp với bụi gỗ, kim loại, hóa chất, ô nhiễm môi trường.
Một số bệnh lý liên quan như trào ngược dạ dày-thực quản (GERD), viêm nhiễm mạn tính của đường hô hấp và có khi các virus (dù chưa rõ cơ chế) có thể là đồng yếu tố.
Di truyền: có các đột biến gen liên quan đến chức năng phổi (ví dụ một số gene liên quan đến độ dài telomere, gene surfactant) được xác định trong các nghiên cứu, tăng nguy cơ phát bệnh.
Triệu chứng và chẩn đoán
Một trong những vấn đề lớn nhất với IPF là triệu chứng ban đầu thường không rõ ràng và dễ bị nhầm lẫn:
Khó thở lúc gắng sức, ho khan kéo dài.
Mệt mỏi, giảm khả năng gắng sức, giảm cân không rõ lý do.
Tiếng "ran ẩm" (crepitation) ở đáy phổi khi nghe phổi; tiếng thở có thể nghe ran đặc biệt khi tiến triển nặng.
Chẩn đoán IPF cần được thực hiện cẩn trọng:
Sử dụng chụp CT ngực độ phân giải cao để thấy các dấu hiệu như "honeycombing" (tổ ong), traction bronchiectasis, mô xơ.
Thử nghiệm chức năng phổi, đặc biệt đo dung tích sống (FVC) và khả năng khuếch tán khí (DLCO) để đánh giá mức độ ảnh hưởng.
Đánh giá chỉ số dự báo nguy cơ tử vong như GAP (Gender-Age-Physiology) giúp phân tầng nguy hiểm.
Loại trừ các nguyên nhân khác: bệnh phổi kẽ do tiếp xúc nghề nghiệp, thuốc, viêm tự miễn, bệnh phổi hậu nhiễm hoặc hậu COVID-19.
Tiến triển và nguy cơ tử vong
IPF là bệnh tiến triển, không hồi phục, với tiên lượng nghiêm trọng:
Thời gian sống trung bình sau khi được chẩn đoán dao động khoảng 3–5 năm, tùy mức độ bệnh ở lúc phát hiện.
Mức suy giảm chức năng phổi càng lớn — thể hiện qua FVC hoặc DLCO thấp — thì nguy cơ tử vong càng cao.
Khi xuất hiện các biến cố cấp (acute exacerbations), tiên lượng xấu hơn rất nhiều: bệnh nhân có thể bị suy hô hấp nhanh, cần nhập viện, thậm chí tử vong.
Comorbidity (bệnh đi kèm) như ung thư phổi, tăng huyết áp phổi, bệnh tim mạch, suy dinh dưỡng, loãng xương… làm tình trạng bệnh xấu đi, nâng cao rủi ro tử vong.
Điều trị hiện nay và những tiến bộ mới
Mặc dù chưa có cách chữa khỏi bệnh, y học đã có nhiều tiến bộ trong việc điều trị IPF để kéo dài tuổi thọ và cải thiện chất lượng cuộc sống:
Hai thuốc kháng xơ hóa (antifibrotic) là pirfenidone và nintedanib được sử dụng rộng rãi. Chúng làm chậm tốc độ giảm chức năng phổi (đo bằng FVC) khoảng 40–50%, cũng giúp giảm tần suất các đợt cấp.
Nghiên cứu gần đây cho thấy kết hợp hai thuốc antifibrotic (pirfenidone + nintedanib) có khả năng giảm tốc độ suy phổi hơn so với dùng một loại đơn lẻ trong thời gian ngắn, mà vẫn chấp nhận được về mặt tác dụng phụ.
Các liệu pháp bổ sung như phục hồi chức năng phổi, oxy liệu pháp, hỗ trợ dinh dưỡng và quản lý các bệnh kèm theo là rất quan trọng.
Theo hướng dẫn mới, việc theo dõi định kỳ chức năng phổi, sử dụng CT ngực khi có dấu hiệu tiến triển bệnh và cân nhắc ghép phổi ở những bệnh nhân đáp ứng điều kiện là những phần của chiến lược quản lý toàn diện.
Bác sĩ hướng dẫn bệnh nhân cao tuổi tập phục hồi chức năng hô hấp để cải thiện chất lượng sống. Hình minh họa.
Tại sao phát hiện sớm lại quan trọng?
IPF có thể phát triển lặng lẽ trong nhiều năm trước khi triệu chứng rõ ràng. Người cao tuổi thường bỏ qua các dấu hiệu nhẹ như ho khan, mệt khi leo cầu thang, và cho rằng đó là do tuổi già — điều này khiến bệnh được chẩn đoán vào giai đoạn muộn.
Phát hiện sớm mang lại nhiều lợi ích:
Có thể bắt đầu điều trị khi phổi chưa bị tổn thương nặng, giữ được nhiều chức năng phổi hơn.
Giảm số đợt cấp và nhập viện.
Cải thiện chất lượng sống: giảm khó thở, tăng khả năng vận động, giảm lo âu, trầm cảm.
Để giảm gánh nặng IPF, cần thực hiện đồng bộ các biện pháp sau:
Tăng cường nhận thức về bệnh IPF trong người dân và y tế cơ sở: dấu hiệu sớm, yếu tố nguy cơ.
Cung cấp khả năng tiếp cận chẩn đoán tiên tiến — CT ngực độ phân giải cao, đo chức năng phổi, truy tìm gen nguy cơ nơi có điều kiện.
Đảm bảo thuốc kháng xơ hóa được tiếp cận, giá cả hợp lý, có chính sách hỗ trợ nơi có chi phí cao.
Theo dõi liên tục bệnh nhân IPF và quản lý bệnh kèm theo (tim mạch, ung thư, dinh dưỡng…)
Nghiên cứu tiếp tục về các thuốc mới, liệu pháp kết hợp và các mô hình dự đoán tiến triển bệnh để điều trị ngày càng cá thể hóa.
IPF là bệnh phổi kẽ tiến triển nghiêm trọng, đặc biệt đe dọa người cao tuổi, với nguy cơ tử vong cao nếu phát hiện muộn. Mặc dù chưa có cách chữa khỏi, các liệu pháp hiện có và tiến bộ gần đây cho thấy bệnh có thể được kiểm soát tốt hơn nếu bắt đầu điều trị sớm. Nhận diện sớm, chẩn đoán chính xác và theo dõi liên tục là chìa khóa để người cao tuổi có cơ hội sống lâu hơn và chất lượng hơn.
Bs. Hà Hùng
Nguồn SK&ĐS : https://suckhoedoisong.vn/vi-sao-nguoi-cao-tuoi-de-mac-benh-phoi-ke-tien-trien-16925100611585362.htm