5 năm chịu đau vai, nam bệnh nhân bất ngờ phát hiện u xương

5 năm chịu đau vai, nam bệnh nhân bất ngờ phát hiện u xương
7 giờ trướcBài gốc
Bệnh nhân nam N.N.K.M (25 tuổi, Đà Nẵng) đã phải chịu đựng những cơn đau dữ dội tại vùng bả vai trái trong suốt quãng thời gian dài. Qua khai thác bệnh nhân cho biết, cách đây 5 năm bệnh nhân bắt đầu xuất hiện những cơn đau dữ dội và thường gặp về đêm.
Cơn đau xuất hiện khiến bệnh nhân mất ngủ và cần sử dụng thuốc giảm đau trong một thời gian dài. Bệnh nhân đã thăm khám và điều trị nhiều nơi và được chẩn đoán hội chứng đông cứng khớp vai.
Một lần tình cờ đọc được thông tin liên quan đến tình trạng của bản thân có thể do khối u ở xương bả vai, bệnh nhân đã vào TP.HCM để chẩn đoán và điều trị. Tại đây, các bác sĩ chẩn đoán anh M có u xương dạng xương (osteoid osteoma). Phác đồ điều trị bác sĩ đưa ra là điều trị nội khoa trong một thời gian nếu không thuyên giảm thì can thiệp phẫu thuật.
Khối u lành tính với kích thước nhỏ, nằm ở vị trí khó tiếp cận.
“Bản thân tôi khá lo lắng tại vì hướng phẫu thuật khá phức tạp, khối u rất nhỏ (1cm) nằm ở khu vực khó tiếp cận, chưa kể nằm trọn trong xương khiến xác định chính xác vị trí khó khăn, rủi ro lớn và khả năng hồi phục lâu. Điều lo lắng nhất của tôi là việc uống thuốc giảm đau hằng ngày có khả năng gây tổn thương gan thận dạ dày tim mạch rất lớn. Mặc dù kiểm tra chức năng gan thận thường xuyên nhưng nó vẫn là một bóng ma gây ám ảnh hằng ngày đối với tôi” – bệnh nhân chia sẻ.
Điều trị u xương dạng xương bằng phương pháp đốt sóng cao tần (RFA), tuy nhiên các bệnh viện bệnh nhân liên hệ hiện nay chỉ điều trị trên các u mềm như u tuyến giáp, u gan. Tình cờ một lần đọc được chia sẻ của bác sĩ về một ca bệnh u xương dạng xương khó và được can thiệp thành công bằng phương pháp đốt sóng cao tần, bệnh nhân đã liên hệ và đến Bệnh viện Đại học Y HN để điều trị.
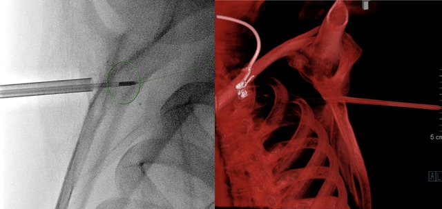
Trực tiếp điều trị ca bệnh, TS.BS Nguyễn Ngọc Cương (Trưởng khoa Can thiệp điện quang – Bệnh viện Đại học Y Hà Nội) cho biết: Khi đã phát hiện ra vị trí tổn thương, các bác sĩ về ngoại khoa khá “e ngại” về ca phẫu thuật này. Bởi tổn vùng xương là một ổ rất nhỏ chỉ có 5mm nằm ở trong xương vai. Trong khi đó xương vai là một xương dẹt rất khó xác định được vùng tổn thương, đây gần như là một phương án không khả thi.
Ê-kíp bác sĩ sử dụng kim chuyên dụng và sóng cao tần để can thiệp khối u.
Tại Bệnh viện Đại học Y Hà Nội, bệnh nhân đã được thực hiện đốt sóng cao tần dưới hướng dẫn của hệ thống DSA. Chia sẻ về ca phẫu thuật, TS.BS Nguyễn Ngọc Cương cho biết: "Ê-kíp sử dụng kim chuyên dụng để định vị chính xác tổn thương, sau đó dùng nhiệt của sóng cao tần để triệt tiêu hoàn toàn khối u trong xương.
Phương pháp này giúp loại bỏ tổn thương mà không cần mổ hở, giảm tối đa đau đớn và rút ngắn thời gian hồi phục. Chỉ sau 1 ngày điều trị, bệnh nhân không còn cần thuốc giảm đau, chỉ cảm thấy hơi ê ẩm vùng vai khi vận động nhẹ. Sau hai tuần, mọi triệu chứng biến mất hoàn toàn, anh đã có thể trở lại sinh hoạt bình thường.
Minh Ngọc
Nguồn SK&ĐS : https://suckhoedoisong.vn/5-nam-chiu-dau-vai-nam-benh-nhan-bat-ngo-phat-hien-u-xuong-169251015222758503.htm