97 tuổi, tim ngừng dẫn truyền: Ca đặt máy tạo nhịp nghẹt thở tại Cần Thơ

97 tuổi, tim ngừng dẫn truyền: Ca đặt máy tạo nhịp nghẹt thở tại Cần Thơ
2 giờ trướcBài gốc
Khi con người chạm đến ngưỡng cửa tuổi 100, sức khỏe trở nên mong manh như sợi tơ trước gió. Ở tuổi 97, chỉ một rối loạn nhỏ trong hệ thống điện học của trái tim cũng có thể trở thành “bản án tử” nếu không được xử lý bằng những đôi tay tài hoa cùng sự hỗ trợ của công nghệ y khoa hiện đại.
Cuộc chạy đua với thời gian và những quyết định cân não
Cụ bà T.T.N. (97 tuổi, quê An Giang) bắt đầu xuất hiện những dấu hiệu suy giảm sức khỏe nghiêm trọng với tình trạng mệt mỏi kéo dài, khó thở và thường xuyên cảm thấy nặng ngực. Những triệu chứng này không đơn thuần là biểu hiện của tuổi già mà ngày càng gia tăng, khiến gia đình vô cùng lo lắng.
Trong y khoa, block nhĩ thất là một dạng rối loạn nhịp tim xảy ra khi đường dẫn truyền xung điện từ tâm nhĩ xuống tâm thất bị chậm lại hoặc gián đoạn hoàn toàn
Ngay khi tiếp nhận bệnh nhân, các bác sĩ tại Bệnh viện đa khoa Quốc tế S.I.S Cần Thơ đã khẩn trương thực hiện các thăm dò cần thiết nhằm tìm ra nguyên nhân gốc rễ của tình trạng suy kiệt. Kết quả điện tâm đồ sau đó hé lộ một sự thật đáng ngại: cụ bà bị block nhĩ thất hoàn toàn.
Trong y khoa, block nhĩ thất là một dạng rối loạn nhịp tim xảy ra khi đường dẫn truyền xung điện từ tâm nhĩ xuống tâm thất bị chậm lại hoặc gián đoạn hoàn toàn. Ở mức độ nặng nhất như trường hợp của cụ N., tâm nhĩ và tâm thất đập độc lập, không còn sự phối hợp nhịp nhàng. Điều này khiến nhịp tim trở nên chậm và không đồng bộ, trực tiếp dẫn đến suy tim, ngất xỉu, thậm chí đe dọa tính mạng nếu không được xử trí kịp thời.
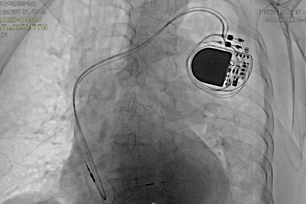
Nhận định về mức độ nguy hiểm của ca bệnh, BSCK2 Nguyễn Mạnh Cường – Phó khoa Nội Tổng hợp, S.I.S Cần Thơ – cho biết tình trạng rối loạn nhịp của bệnh nhân là vô cùng nghiêm trọng, đặc biệt trong bối cảnh tuổi cao, sức yếu. Để ổn định huyết động ban đầu và hỗ trợ nhịp tim, ê-kíp điều trị đã tiến hành đặt máy tạo nhịp tạm thời. Đây là bước đệm quan trọng giúp bệnh nhân đủ điều kiện thực hiện các xét nghiệm chuyên sâu như xét nghiệm máu, chụp X-quang phổi và chụp mạch vành bằng hệ thống DSA.
Quá trình tầm soát cho thấy mạch vành của bệnh nhân hẹp mức độ vừa – tình trạng phù hợp với quy luật lão hóa tự nhiên ở độ tuổi U100 và có thể kiểm soát bằng điều trị nội khoa. Tuy nhiên, vấn đề cốt lõi vẫn nằm ở hệ thống dẫn truyền điện học của tim. Sau khi hội chẩn kỹ lưỡng, các bác sĩ thống nhất phương án điều trị tối ưu là đặt máy tạo nhịp tim vĩnh viễn nhằm duy trì nhịp tim ổn định, bảo đảm cung lượng máu cho toàn cơ thể.
Kỹ thuật bó nhánh trái – đỉnh cao của y học hiện đại
Thay vì áp dụng phương pháp cấy máy tạo nhịp truyền thống, các chuyên gia tại S.I.S Cần Thơ đã lựa chọn kỹ thuật cấy máy tạo nhịp bó nhánh trái. Đây là một trong những kỹ thuật tiên tiến đang được bệnh viện triển khai mạnh mẽ trong những năm gần đây. Tại Việt Nam, số cơ sở y tế có khả năng thực hiện kỹ thuật này vẫn còn hạn chế, chủ yếu tập trung tại các bệnh viện sở hữu trang thiết bị hiện đại và đội ngũ bác sĩ chuyên sâu về điện sinh lý tim.
Theo BSCK2 Nguyễn Mạnh Cường, ưu điểm nổi bật của kỹ thuật cấy máy tạo nhịp bó nhánh trái là giúp nhịp tim được dẫn truyền gần với sinh lý tự nhiên nhất. Bằng cách tác động trực tiếp vào hệ thống dẫn truyền, phương pháp này bảo tồn chức năng co bóp của thất trái, từ đó giảm đáng kể nguy cơ suy tim về lâu dài. Đối với người cao tuổi, đây là lựa chọn tối ưu vì vừa đảm bảo hiệu quả điều trị cao, vừa hạn chế biến chứng.
Ca can thiệp cho cụ N. được ghi nhận là trường hợp bệnh nhân lớn tuổi nhất từng được điều trị bằng kỹ thuật bó nhánh trái tại S.I.S Cần Thơ. Dù phải đối mặt với nhiều thách thức từ tuổi tác và tình trạng bệnh lý phức tạp, ca thủ thuật vẫn diễn ra thuận lợi.
Ngay sau can thiệp, cụ bà tỉnh táo hoàn toàn, nhịp tim ổn định, các triệu chứng mệt mỏi và khó thở giảm rõ rệt. Chỉ sau 4 ngày chăm sóc tích cực, cụ đủ điều kiện xuất viện trong niềm vui vỡ òa của gia đình.
Chia sẻ sau điều trị, cụ bà T.T.N. bày tỏ sự hài lòng và tinh thần thoải mái khi sức khỏe được cải thiện rõ rệt. Cụ cũng gửi lời cảm ơn đến đội ngũ bác sĩ, điều dưỡng đã tận tâm chăm sóc trong những thời khắc hiểm nghèo.
Sự phục hồi nhanh chóng của một bệnh nhân 97 tuổi là minh chứng thuyết phục cho hiệu quả của các kỹ thuật tim mạch hiện đại khi được áp dụng đúng thời điểm và đúng chỉ định.
Hồ Quang
Nguồn Một Thế Giới : https://1thegioi.vn/97-tuoi-tim-ngung-dan-truyen-ca-dat-may-tao-nhip-nghet-tho-tai-can-tho-246101.html