Bệnh viện Đa khoa Ninh Thuận cứu sống bệnh nhân 3 lần ngưng tim

Bệnh viện Đa khoa Ninh Thuận cứu sống bệnh nhân 3 lần ngưng tim
3 giờ trướcBài gốc
Ngày 27-3, lãnh đạo Bệnh viện Đa khoa Ninh Thuận cho biết, ê-kíp bác sĩ của bệnh viện vừa cấp cứu và can thiệp thành công, cứu sống bệnh nhân H.K.N. (65 tuổi, tỉnh Gia Lai) bị ngưng tim nhiều lần do nhồi máu cơ tim cấp.
Theo đó, bệnh nhân N. vào bệnh viện trong tình trạng đau tức ngực dữ dội, khó thở, vã mồ hôi và rối loạn tri giác; đột ngột ngất lịm, mất hoàn toàn ý thức và rơi vào trạng thái ngưng tim, ngưng thở. Trong quá trình cấp cứu, bệnh nhân đã 3 lần ngưng tim. Ê-kíp Khoa Hồi sức tích cực – Chống độc đã khẩn trương thực hiện hồi sức tim phổi nâng cao, nỗ lực duy trì tuần hoàn cho người bệnh; đồng thời, nhanh chóng chuyển bệnh nhân vào Khoa Can thiệp tim mạch. Tại đây, bệnh nhân N. được xác định bị nhồi máu cơ tim cấp ST chênh lên vùng trước rộng, một trong những thể bệnh tim mạch nặng nhất với tỷ lệ tử vong cực cao.
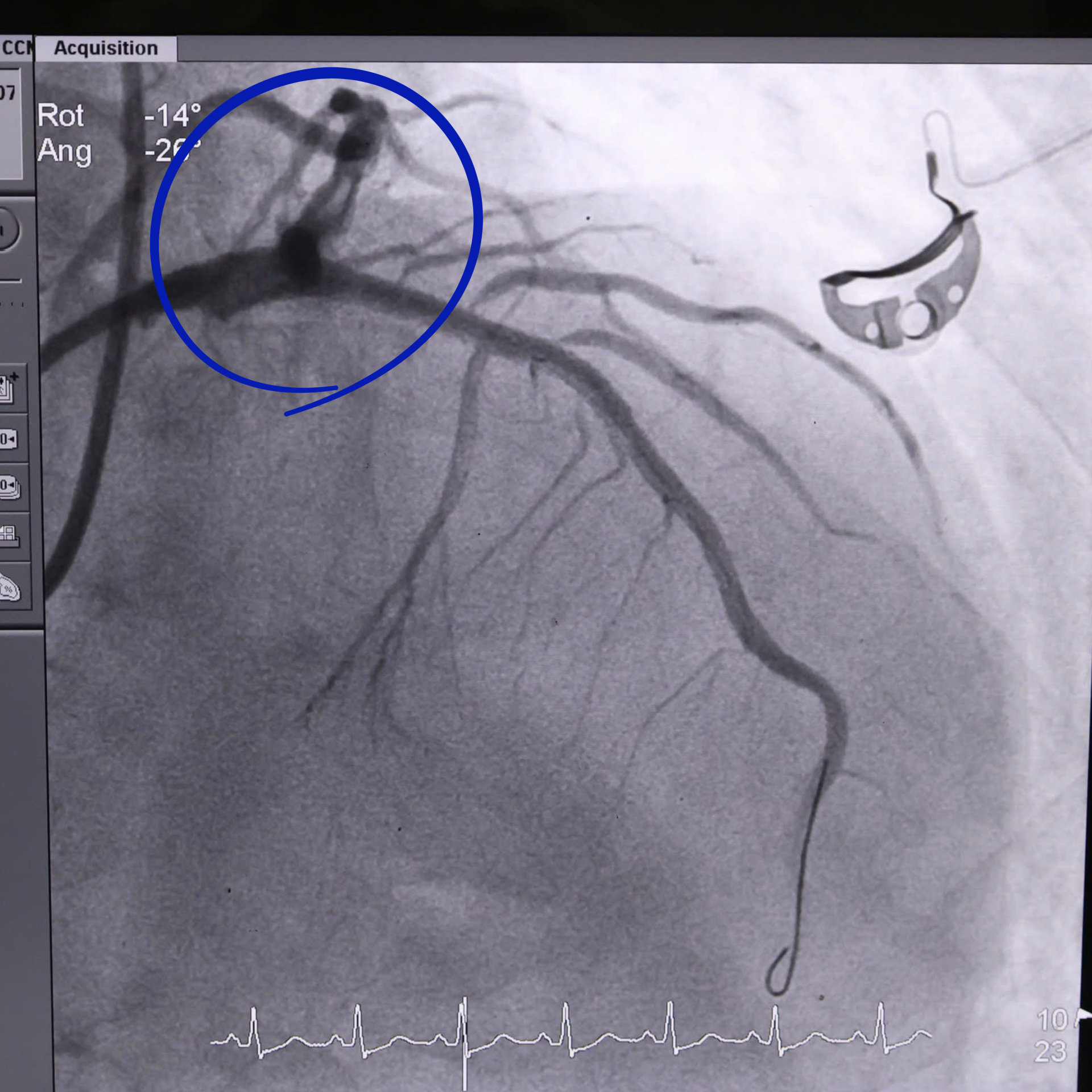
Hình ảnh mạch máu điểm bị tắc của bệnh nhân trước can thiệp.
Hỉnh ảnh mạch máu được tái thông sau can thiệp.
Trước tình trạng nguy kịch của bệnh nhân, ê-kíp bác sĩ đã khẩn trương tiến hành xử lý tổn thương động mạch vành, đặt stent tái thông mạch máu nuôi. Trong quá trình can thiệp, bệnh nhân vẫn tiếp tục có những thời điểm trở nặng, ê-kíp can thiệp vừa hồi sức, vừa thực hiện kỹ thuật. Sau khi được can thiệp và điều trị tích cực, hiện nay, sức khỏe bệnh nhân đã được cải thiện, các chỉ số đều ở mức tốt.
Sức khỏe bệnh nhân đã ổn định.
Theo bác sĩ chuyên khoa II Nguyễn Viết Thịnh – Phó Trưởng khoa Tim mạch can thiệp, Bệnh viện Đa khoa Ninh Thuận, từ ca bệnh này có thể thấy, việc nhận diện sớm các dấu hiệu cảnh báo như: Đau ngực, khó thở, vã mồ hôi, choáng váng và nhanh chóng đưa đến cơ sở y tế trong “giờ vàng” là yếu tố then chốt giúp giành lại sự sống cho người bệnh.
HƯƠNG LY
Nguồn Khánh Hòa : http://www.baokhanhhoa.vn/xa-hoi/202603/benh-vien-da-khoa-ninh-thuan-cuu-song-benh-nhan-3-lan-ngung-tim-6342f2f/