Căn bệnh gây tử vong cao nhất trong các loại ung thư

Căn bệnh gây tử vong cao nhất trong các loại ung thư
31 phút trướcBài gốc
Ung thư gan vẫn đang là gánh nặng lớn tại Việt Nam, đặc biệt ở những bệnh nhân có sẵn nền viêm gan.
Ba người thân lần lượt mất vì ung thư gan, nhưng G.M.G. (26 tuổi, trú tại Cao Bằng) không nghĩ rằng mình mắc bệnh và cận kề "án tử" ở độ tuổi này.
Từ viêm gan B đến khối u gan khổng lồ
Trước khi nhập khoa Ngoại Gan mật - Tiêu hóa và Ung bướu, Bệnh viện Bệnh Nhiệt đới Trung ương, suốt 3 tháng, G. xuất hiện những cơn đau tức hạ sườn, buồn nôn, mệt mỏi. Kết quả thăm khám cho thấy anh mắc viêm gan B và ung thư biểu mô tế bào gan (HCC).
Được bác sĩ chỉ định nút mạch, nhưng không có tiền, gia đình 7 người phải bán trâu, đưa G. vào Đắk Lắk chữa thuốc nam. Sau 3 tháng, tiền cạn, bệnh nặng thêm, chàng trai người Mông đối mặt với cái chết nơi đất khách.
Đúng lúc tuyệt vọng, một số nhà hảo tâm đã giúp đỡ để anh ra Hà Nội, được tiếp nhận tại khoa Ngoại Gan mật - Tiêu hóa và Ung bướu, Bệnh viện Bệnh Nhiệt đới Trung ương (Hà Nội).
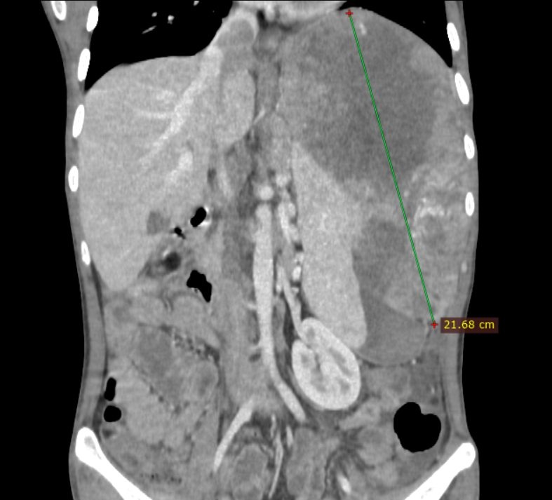
Hình ảnh khối u gan kích thước lớn của bệnh nhân 26 tuổi. Ảnh: BSCC.
Kể lại với Tri Thức - Znews, bác sĩ chuyên khoa II Nguyễn Trường Giang, Phó giám đốc Trung tâm Phẫu thuật Gan mật - Tiêu hóa - Bệnh viện Bệnh Nhiệt đới Trung ương, cho biết tiếp nhận bệnh nhân trong tình trạng ốm yếu, chỉ nặng có 40 kg vì đau không ăn uống được và nhiều ngày dùng thuốc không rõ nguồn gốc, khối u gan đường kính hơn 20 cm, xâm lấn tĩnh mạch chủ dưới, đã vỡ gây chảy máu ồ ạt.
"Không mổ chắc chắn không qua khỏi, nhưng mổ thì nguy cơ thất bại cũng không nhỏ", bác sĩ Giang chia sẻ.
Ca đại phẫu khẩn cấp kéo dài suốt 7 giờ may mắn thành công, bệnh nhân đã được phẫu thuật cắt gan trái mở rộng (khoảng 3 kg), cắt lách, thận, đuôi tụy. Chàng trai trẻ được cứu thoát khỏi lưỡi hái tử thần. 10 ngày sau, anh tiếp tục được đốt khối u gan còn lại. Hiện sức khỏe bệnh nhân ổn định.
Căn bệnh gây tử vong cao nhất trong các loại ung thư
Theo số liệu trong báo cáo của Cơ quan Nghiên cứu Quốc tế về Ung thư (IARC) thuộc Tổ chức Y tế Thế giới (WHO) GLOBOCAN về ung thư tại Việt Nam, năm 2022, nước ta ghi nhận 24.502 ca ung thư gan mới mắc, chiếm 13,6% tổng số ca ung thư, đứng thứ hai sau ung thư vú.
Tuy nhiên, điểm đáng lo ngại là số ca không qua khỏi do ung thư gan lên tới 23.333, tương đương 19,4% và cao nhất trong các loại ung thư. Điều này đồng nghĩa gần như cứ một người phát hiện mắc mới thì có một người không qua khỏi, phản ánh tiên lượng bệnh rất xấu.
Bác sĩ chuyên khoa II Nguyễn Trường Giang, Phó giám đốc Trung tâm Phẫu thuật Gan mật - Tiêu hóa - Bệnh viện Bệnh Nhiệt đới Trung ương, cho biết ung thư gan vẫn đang là gánh nặng lớn tại Việt Nam, đặc biệt ở những bệnh nhân có sẵn nền viêm gan. Việt Nam là một trong những quốc gia có tỷ lệ nhiễm viêm gan virus B cao, và đây chính là yếu tố nguy cơ chính dẫn đến ung thư gan.
Bác sĩ Nguyễn Trường Giang thăm khám cho bệnh nhân ung thư gan.
Điểm đáng lo ngại là phần lớn bệnh nhân chỉ phát hiện bệnh ở giai đoạn muộn, khi các biện pháp điều trị khó mang lại hiệu quả triệt để. Ngoài ra, nhiều yếu tố khác như tình trạng xơ gan hay điều kiện kinh tế cũng ảnh hưởng đến kết quả điều trị. So với các nước Âu - Mỹ, tỷ lệ ung thư gan tại Việt Nam và nhiều nước châu Á cao hơn hẳn do tỷ lệ nhiễm viêm gan virus cao. Ở phương Tây, viêm gan virus ít gặp hơn, vì vậy tỷ lệ ung thư gan nguyên phát thấp.
Vị chuyên gia nói thêm tại Việt Nam, khoảng 80% bệnh nhân ung thư gan có nền viêm gan B. Ngoài ra, viêm gan C, gan nhiễm mỡ và bệnh gan chuyển hóa đang có xu hướng gia tăng, được dự báo sẽ trở thành yếu tố nguy cơ quan trọng trong tương lai.
"Số liệu thống kê cho thấy tỷ lệ mắc mới và tỷ lệ thiệt mạng gần như tương đương, phản ánh tính chất khó khăn trong điều trị. Ung thư gan thường tiến triển âm thầm, giai đoạn sớm hầu như không có triệu chứng đặc hiệu. Nhiều trường hợp chỉ tình cờ phát hiện khi khám sức khỏe định kỳ hoặc theo dõi viêm gan B", bác sĩ chuyên khoa II Nguyễn Trường Giang nói.
Ở giai đoạn sớm, một số bệnh nhân sau điều trị có thể sống được 5-10 năm mà không tái phát. Tuy nhiên, ung thư gan có đặc tính tái phát cao, tiên lượng khó đoán chính xác. Có trường hợp dù đã phẫu thuật cắt gan nhưng chỉ sau vài tháng bệnh vẫn tái phát hoặc lan rộng.
Khó khăn trong điều trị triệt để
Khác với một số loại ung thư có thể cắt bỏ hoàn toàn cơ quan bị bệnh (như cắt dạ dày), bác sĩ Nguyễn Trường Giang cho hay ung thư gan rất khó điều trị triệt để vì không thể loại bỏ toàn bộ gan. Thêm vào đó, phần lớn bệnh nhân đã có xơ gan hoặc suy giảm chức năng gan, nên không đủ khả năng chịu đựng phẫu thuật lớn.
Bác sĩ chuyên khoa II Nguyễn Trường Giang, Phó giám đốc Trung tâm Phẫu thuật Gan mật - Tiêu hóa - Bệnh viện Bệnh Nhiệt đới Trung ương.
Ở người có gan khỏe, bác sĩ có thể cắt tới 70% thể tích gan. Nhưng với bệnh nhân xơ gan, tỷ lệ an toàn chỉ khoảng 50%. Ngoài khối u, yếu tố di căn xa hoặc xâm lấn mạch máu cũng khiến khả năng điều trị triệt để bị hạn chế. Lúc này, các phương pháp can thiệp khác như nút mạch, xạ trị hay điều trị toàn thân chỉ mang tính chất kéo dài sự sống, giảm nhẹ triệu chứng.
Chính vì vậy, tiên lượng ung thư gan thường không khả quan. Hai yếu tố quan trọng nhất quyết định là giai đoạn phát hiện và chức năng gan nền. Thực tế, nhiều bệnh nhân không qua khỏi không phải vì khối u trực tiếp mà vì suy gan mất bù do xơ gan.
Theo bác sĩ khoa Ngoại Gan Mật - Tiêu hóa - Ung bướu, tùy vào giai đoạn bệnh, bác sĩ có thể chỉ định những phương pháp điều trị khác nhau. Ba phương pháp chính bao gồm:
Phẫu thuật cắt gan: Đây được coi là phương pháp triệt để nhất, giống "cắt bỏ cả cành cây có tổ sâu". Nếu đủ điều kiện, phẫu thuật không chỉ loại bỏ khối u chính mà còn lấy đi cả những tế bào ung thư vệ tinh, giúp kiểm soát bệnh hiệu quả.
Đốt u (RFA, MWA): Phương pháp này tác động trực tiếp lên khối u, tương tự việc tiêu diệt tổ sâu. Tuy nhiên, hiệu quả giảm đi khi khối u quá lớn hoặc có nhiều nhân vệ tinh.
Nút mạch (TACE, TARE): Cách làm này giống như "thắt đường đi tìm thức ăn của tổ sâu". Khi nguồn máu nuôi khối u bị chặn lại, tế bào ung thư sẽ yếu dần. Dù vậy, với những khối u lớn hoặc đã lan rộng, chúng có thể phát triển mạch máu phụ, làm giảm hiệu quả điều trị.
Mỗi kỹ thuật đều có ưu điểm và hạn chế riêng. Bác sĩ sẽ căn cứ vào giai đoạn bệnh, kích thước khối u, tình trạng gan (có xơ gan hay không) và sức khỏe tổng thể của bệnh nhân để đưa ra phác đồ tối ưu.
Nếu chọn sai phương pháp, bệnh nhân có thể bỏ lỡ "thời gian vàng" để điều trị, thậm chí đối mặt với biến chứng nặng nề như vỡ khối u hay viêm phúc mạc ổ bụng. Vì vậy, chẩn đoán chính xác và can thiệp đúng thời điểm là yếu tố quyết định đến sự sống còn.
Phương Anh
Ảnh: Đinh Hà
Nguồn Znews : https://lifestyle.znews.vn/can-benh-gay-tu-vong-cao-nhat-trong-cac-loai-ung-thu-post1589927.html