Cận cảnh ca mổ cứu cô gái bị gãy khung chậu kiểu 'gió thổi'

Cận cảnh ca mổ cứu cô gái bị gãy khung chậu kiểu 'gió thổi'
3 giờ trướcBài gốc
Chị N.T.H. (24 tuổi, ngụ TP.HCM) đang di chuyển thì bất ngờ bị container tông trực diện. Nạn nhân được đưa vào Bệnh viện Quân y 175 trong tình trạng nguy kịch. Đại tá, TS.BS Phan Đình Mừng, Phó giám đốc Bệnh viện Quân y 175, cho biết đây là trường hợp chấn thương phức tạp, tiên lượng xấu, nguy cơ tử vong cao. “Ngay khi tiếp nhận, bệnh viện đã kích hoạt hệ thống báo động đỏ, huy động lực lượng liên chuyên khoa để nỗ lực cứu chữa bệnh nhân”, bác sĩ Mừng nói.
Ảnh chụp CT dựng hình 3D cho thấy bệnh nhân bị dập phổi phải, vỡ bàng quang và buồng trứng phải gây xuất huyết ổ bụng, gãy gai ngang các đốt sống từ L2 đến L5, kèm gãy phức tạp khung chậu kiểu “gió thổi”.
Ngay trong đêm, bệnh nhân được chuyển khẩn vào phòng mổ trong tình trạng nguy kịch. Các bác sĩ phối hợp liên chuyên khoa, nhanh chóng cố định ngoài khung chậu để ổn định xương gãy, kiểm soát chảy máu và ngăn tổn thương lan rộng đến nội tạng. Song song đó, đội phẫu thuật tiết niệu và sản phụ khoa khâu phục hồi bàng quang cùng buồng trứng phải, nỗ lực giành lại sự sống cho bệnh nhân.
Bác sĩ Trần Quang Khanh, khoa Phẫu thuật chi dưới, Viện Chấn thương Chỉnh hình, cho biết bệnh nhân bị gãy khung chậu kiểu “gió thổi”, dạng chấn thương năng lượng cao, chiếm khoảng 6% các ca gãy khung chậu. Tổn thương khiến một bên cánh chậu mở ra, bên còn lại khép lại, làm mất vững toàn bộ vòng chậu và đe dọa tính mạng người bệnh. Sau nhiều giờ phẫu thuật liên chuyên khoa, ê-kíp đã cầm máu, kiểm soát sốc và cố định vững cấu trúc khung chậu, giúp bệnh nhân qua cơn nguy kịch.
Ê-kíp phẫu thuật của Bệnh viện Quân y 175 chuẩn bị dụng cụ và mô hình khung chậu trước ca mổ. Các bác sĩ phải tính toán chính xác từng vị trí đặt vít và nẹp để tái tạo cấu trúc xương bị gãy.
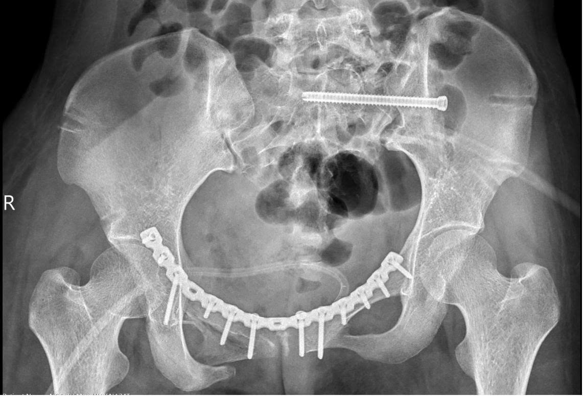
Hình ảnh X-quang sau phẫu thuật cho thấy khung chậu bệnh nhân đã được cố định vững bằng hệ thống nẹp vít và vít chậu cùng. Cấu trúc vòng chậu được tái tạo, giúp bệnh nhân có thể tập vận động trở lại sau mổ.
Sau hơn hai tháng điều trị, cô gái 24 tuổi đã vượt qua cửa tử, sức khỏe ổn định và chuẩn bị xuất viện. Đại tá Phan Đình Mừng cho biết việc chẩn đoán và phẫu thuật kịp thời đã giúp bệnh nhân hồi sinh ngoạn mục, trở lại với cuộc sống và tiếp tục hành trình phía trước sau biến cố.
Kỳ Duyên
Ảnh: BVCC
Nguồn Znews : https://lifestyle.znews.vn/can-canh-ca-mo-cuu-co-gai-bi-gay-khung-chau-kieu-gio-thoi-post1591487.html