Cứu thành công bệnh nhân 15 tuổi bị vỡ gan độ IV tại Quảng Ninh

Cứu thành công bệnh nhân 15 tuổi bị vỡ gan độ IV tại Quảng Ninh
2 giờ trướcBài gốc
Bệnh viện Đa khoa tỉnh Quảng Ninh cơ sở 2 vừa thông tin, đơn vị đã xử trí cấp cứu thành công ca vỡ tạng đặc kèm đa chấn thương do tai nạn giao thông cho nam bệnh nhân L.D.N 15 tuổi thường trú tại xã Quảng La, tỉnh Quảng La.
Bệnh nhân nhập viện trong tình trạng đau nhiều vùng hạ sườn phải, bụng sưng đau kèm nhiều các vết bầm tím ở vùng bụng.
Ngay lập tức các bác sĩ thuộc ê-kíp trực tại cơ sở 2 Bệnh viện Đa khoa tỉnh Quảng Ninh (Khu Trới 2 - phường Hoành Bồ) đã khẩn trương làm các xét nghiệm và tiến hành chụp CT Scanner ổ bụng ngay lập tức và kết luận: Vỡ gan độ IV, đa chấn thương. Nghiêm trọng hơn, phát hiện hình ảnh "ổ thoát thuốc" – dấu hiệu "báo động" của việc chảy máu hoạt động trong nhu mô gan.
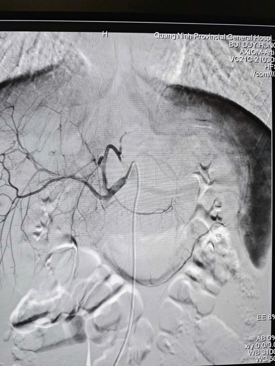
Ê-kíp can thiệp mạch do BSCKII Bùi Duy Hưng- Phó khoa Chẩn đoán hình ảnh – Điện quang can thiệp trực tiếp thực hiện. Ảnh BV
Trước tổn thương phức tạp, ê-kíp cấp cứu cơ sở 2 đã kích hoạt hội chẩn trực tuyến với chuyên gia tại cơ sở chính nhằm có phương án tối ưu cho người bệnh là chuyển tuyến khẩn cấp về cơ sở chính để can thiệp nút mạch cầm máu trên máy DSA. Đây là giải pháp vàng giúp cầm máu nhanh mà không cần phẫu thuật mở.
Khi vận chuyển người bệnh về tại cơ sở chính, ê-kíp Can thiệp mạch đã sẵn sàng mọi nguồn lực. Ngay khi tiếp nhận, nhận thấy bệnh nhân có dấu hiệu thiếu máu, các bác sĩ đã chỉ định truyền máu kịp thời trước khi can thiệp. Dưới sự hỗ trợ của hệ thống DSA hiện đại, ê-kíp bác sĩ đã luồn ống thông (Microcatheter) siêu nhỏ 1.9F tiếp cận siêu chọn lọc vị trí nhánh động mạch gan đang chảy máu và nút tắc bằng vật liệu chuyên dụng Spongel.
Hình ảnh sau nút mạch điều trị chấn thương gan, ổ chảy máu đã được nút tắc./Ảnh BV
Sau 60 phút, ca can thiệp thành công tốt đẹp, hình ảnh chụp kiểm tra cho thấy điểm chảy máu đã được cầm hoàn toàn. Huyết động bệnh nhân ổn định và được chuyển hậu phẫu theo dõi với tiên lượng phục hồi. Thành công của ca bệnh khẳng định hiệu quả của mô hình hoạt động đồng bộ, năng lực chẩn đoán tại chỗ nhanh, chính xác ngay từ đầu nhờ CT Scanner và nhân lực chất lượng làm chủ kỹ thuật nút mạch giúp xử trí chấn thương nhẹ nhàng, hiệu quả cao.
Can thiệp nút mạch cầm máu là một kỹ thuật xâm lấn tối thiểu, sử dụng ống thông luồn vào trong lòng mạch để bịt kín các vị trí chảy máu hoặc các khối u có nguy cơ chảy máu bằng vật liệu như keo, cuộn kim loại hoặc bọt sinh học. Phương pháp này có ưu điểm thời gian thủ thuật nhanh, hồi phục nhanh chóng, và giảm thiểu xâm lấn so với phẫu thuật truyền thống.
Bình Nguyên
Nguồn Tri Thức & Cuộc Sống : https://kienthuc.net.vn/cuu-thanh-cong-benh-nhan-15-tuoi-bi-vo-gan-do-iv-tai-quang-ninh-post1586857.html