Đau lưng kéo dài không ngờ sỏi san hô khổng lồ xâm lấn thận

Đau lưng kéo dài không ngờ sỏi san hô khổng lồ xâm lấn thận
2 giờ trướcBài gốc
Ngoại Tiết Niệu Bệnh viện Đa khoa Xuyên Á vừa thực hiện kỹ thuật nội soi tán sỏi hiện đại lấy sạch sỏi san hô khổng lồ cho người bệnh tại Đà Nẵng bị sỏi tái.
Công nghệ nội soi tán sỏi qua da bằng đường hầm nhỏ (mini PCNL) kết hợp với máy soi mềm đã loại bỏ hoàn toàn sỏi san hô kích thước lớn, chấm dứt những cơn đau dai dẳng, dữ dội kéo dài cho người bệnh.
Đây là một trong những phương pháp điều trị sỏi hiện đại, ít xâm lấn, giúp người bệnh sỏi tiết niệu không còn nỗi ám ảnh mang tên “mổ mở”.
Nội soi tán sỏi - Ảnh BVCC
Mới đây, bà P .T. T (71 tuổi, Đà Nẵng) cũng được các bác sĩ Khoa Ngoại Tiết Niệu lấy sạch sỏi san hô lớn bằng công nghệ tán sỏi hiện đại này.
Bà T. chia sẻ, hai tháng nay bà thường xuyên đau lưng âm ỉ, cơn đau càng dữ dội hơn khi bà lao động. Nghĩ rằng những cơn đau lưng là do làm việc nặng nên bà chỉ dùng thuốc giảm đau tạm thời. Mãi đến khi cơn đau không thể chịu đựng, bà vào viện thăm khám thì mới phát hiện bị sỏi thận tái phát.
Bà T. được các bác sĩ ở cơ sở y tế địa phương tư vấn phẫu thuật lấy sỏi nhưng do lo sợ mổ mở nên bà đã quyết định vượt quãng đường dài hàng ngàn cây số từ Đà Nẵng vào Bệnh viện Đa khoa Xuyên Á TP HCM để điều trị.
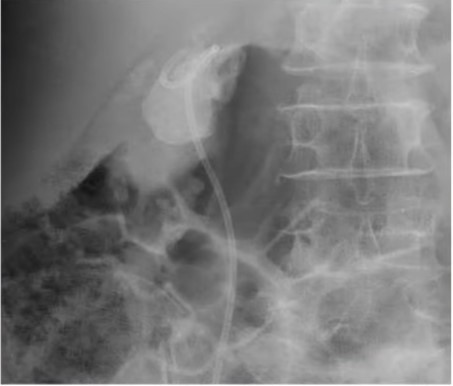
Sỏi san hô xâm lấn các đài bể thận - Ảnh BVCC
Tại phòng khám Ngoại Tiết Niệu Bệnh viện Đa khoa Xuyên Á, người bệnh được thăm khám và chụp CT, xét nghiệm. Kết quả cận lâm sàng ghi nhận bà T. bị sỏi san hô có đường kính 5cm, sỏi từ bể thận bên phải có nhiều nhánh vào đài thận và hầu hết các đài thận còn lại đều có sỏi, gây nhiễm trùng đường tiết niệu.
Với tuổi cao và nhiều bệnh lý nền, bà T. mong muốn một phương pháp điều trị xâm lấn tối thiểu mà vẫn đảm bảo sạch sỏi. Tuy nhiên, bà T. lại đang bị nhiễm trùng đường tiết niệu, đây là yếu tố chống chỉ định của các phương pháp phẫu thuật tán sỏi ít xâm lấn.
Không còn là một ca sỏi thận bình thường, đây quả thật là thách thức lớn đối với bác sĩ về việc lựa chọn một phương thức điều trị hiệu quả trong nhiều phương thức điều trị sỏi tốt nhất hiện nay.
Ca phẫu thuật cho bệnh nhân - Ảnh BVCC
Để triển khai được cuộc mổ ít xâm lấn, đầu tiên bệnh nhân cần được điều trị ổn định tình trạng nhiễm trùng đường tiết niệu. Các bác sĩ đã đặt thông jj để giải quyết bế tắc, sau đó điều trị kháng sinh theo kháng sinh đồ cho đến khi nước tiểu hết nhiễm trùng và sẵn sàng để có thể áp dụng các phương pháp điều trị ít xâm hại.
Lúc này, các bác sĩ khoa Ngoại Tiết Niệu đã hội chẩn và lên phương án thực hiện nội soi tán sỏi qua da bằng đường hầm nhỏ (mini PCNL) kết hợp với máy soi thận mềm bằng laser Holmium.
Đây là hai phương pháp điều trị sỏi tiên tiến và xâm lấn tối thiểu, có thể nói là tốt nhất hiện nay, cho phép tiếp cận viên sỏi lớn qua một đường hầm nhỏ (chỉ khoảng 0.5cm), hạn chế tối đa tổn thương mô lành, đặc biệt phù hợp với bệnh nhân lớn tuổi hoặc có bệnh nền.
Ê - kíp phẫu thuật cho bệnh nhân - Ảnh BVCC
ThS.BSCKII Nguyễn Vĩnh Bình, Trưởng khoa Ngoại Tiết Niệu Bệnh viện Đa khoa Xuyên Á, người trực tiếp thực hiện ca phẫu thuật cho biết: “Đây là ca tán sỏi phức tạp do kích thước sỏi lớn, có nhiều nhánh trong các đài thận và đa số các đài thận còn lại cũng có sỏi kèm theo tình trạng nhiễm trùng.
Nhưng nhờ áp dụng đúng kỹ thuật hiện đại, kết hợp giữa mini - PCNL và máy soi thận mềm, chúng tôi đã tán sạch sỏi mà không cần mổ mở. Quan trọng nhất là sức khỏe của người bệnh được bảo toàn, không phải chịu vết mổ lớn gây đau đớn sau mổ”.
Nếu như trước đây, đối với những viên sỏi san hô kích thước lớn, người bệnh phải trải qua ca mổ mở, đồng nghĩa với việc các bác sĩ sẽ mổ mở một đường dài ở hông lưng, để lấy sỏi các bác sĩ sẽ phải xẻ nhu mô thận, điều này ảnh hưởng rất lớn đến chức năng thận.
Bệnh nhân đã hồi phục, hết đau sau phẫu thuật - Ảnh BVCC
Nhưng với phương pháp phẫu thuật nội soi tán sỏi qua da bằng đường hầm nhỏ kết hợp máy soi mềm hiện đại, cuộc mổ trở nên nhẹ nhàng hơn, không phải xẻ nhiều nhu mô thận nên chức năng thận ít bị ảnh hưởng, vết mổ rất nhỏ chỉ bằng đường kính của máy soi thận.
Sau ca phẫu thuật, bà T. đã hồi phục ngoạn mục, chấm dứt những cơn đau nặng nề do sỏi thận, bà vui vẻ trở lại cuộc sống thường nhật.
Thúy Nga
Nguồn Tri Thức & Cuộc Sống : https://kienthuc.net.vn/dau-lung-keo-dai-khong-ngo-soi-san-ho-khong-lo-xam-lan-than-post1573924.html