Hút thuốc lá tăng nguy cơ huyết khối tĩnh mạch sâu chi dưới

Hút thuốc lá tăng nguy cơ huyết khối tĩnh mạch sâu chi dưới
5 giờ trướcBài gốc
Theo Bệnh viện Nhân Dân 115 (TP Hồ Chí Minh), nơi đây vừa tiếp nhận nam bệnh nhân 51 tuổi bị thuyên tắc phổi cấp nặng biến chứng sốc.
Ông N.V.L (51 tuổi) đang làm việc ngoài đồng đột ngột chóng mặt, nặng ngực rồi ngất khoảng 2 phút. Tại cơ sở y tế địa phương, ông được ghi nhận tụt huyết áp nghi ngờ nhồi máu cơ tim và nhanh chóng chuyển đến Bệnh viện Nhân Dân 115 trong tình trạng khó thở, mạch nhanh, huyết áp khó đo.
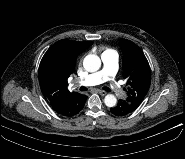
Hình ảnh chụp CT mạch máu phổi của bệnh nhân cho thấy huyết khối lớn bít tắc động mạch phổi hai bên
Kết quả điện tim và siêu âm tim cho thấy dấu hiệu quá tải thất phải cấp, điển hình của thuyên tắc phổi nặng. Ông L được dùng thuốc vận mạch ổn định huyết áp, sau đó chụp CT mạch máu phổi phát hiện huyết khối lớn bít tắc động mạch phổi hai bên.
Nam bệnh nhân được chẩn đoán sốc tắc nghẽn do thuyên tắc phổi nguy cơ cao và được điều trị bằng thuốc tiêu sợi huyết. Sau 1 tuần điều trị, ông L hồi phục tốt, huyết áp ổn định, hết khó thở, chức năng tim phải cải thiện rõ.
Theo BS Đỗ Công Tuấn, Khoa Cấp cứu, thuyên tắc phổi là bệnh lý nguy hiểm có thể dẫn đến tử vong nhanh nếu không được chẩn đoán và xử trí kịp thời. Trong trường hợp của ông L, siêu âm mạch chi dưới cho thấy huyết khối tĩnh mạch đùi và khoeo trái, nguyên nhân liên quan đến thói quen hút thuốc lá lâu năm.
Ông L có tiền sử hút thuốc lá nhiều năm qua, hiện mỗi ngày ông hút khoảng 1 gói (tương đương 20 điếu thuốc).
Nam bệnh nhân không có tiền sử bệnh lý tim mạch. Các bác sĩ nhận định, hút thuốc lá không phải nguyên nhân trực tiếp gây thuyên tắc phổi, tuy nhiên làm tăng nguy cơ huyết khối tĩnh mạch sâu chi dưới và có thể dẫn đến biến chứng nguy hiểm như thuyên tắc phổi. Ngoài ra, hút thuốc lá còn gây rất nhiều bệnh tim mạch và hô hấp khác. Do vậy người bệnh này khi xuất viện được các bác sĩ yêu cầu ngưng thuốc lá và tuân thủ sử dụng thuốc theo chỉ định của bác sĩ.
Để phòng ngừa bệnh thuyên tắc phổi, các bác sĩ khuyến cáo bỏ thuốc lá, hạn chế rượu bia, duy trì cân nặng, tránh thừa cân béo phì. Bỏ thuốc lá là cách đơn giản nhất để bảo vệ tim, phổi và tính mạng của chính mình, cũng như người thân và cộng đồng.
T.H
Nguồn CAND : https://cand.com.vn/y-te/hut-thuoc-la-tang-nguy-co-huyet-khoi-tinh-mach-sau-chi-duoi-i784215/