Nam bệnh nhân phát hiện sớm ung thư phổi nhờ ứng dụng AI

Nam bệnh nhân phát hiện sớm ung thư phổi nhờ ứng dụng AI
3 giờ trướcBài gốc
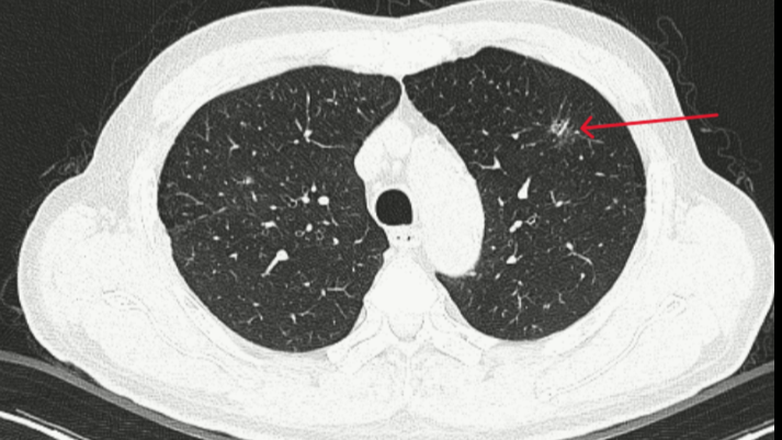
Thùy trên phổi trái có đám tổn thương kính mờ, bờ tua gai kích thước 10x13mm.
Phát hiện sớm ung thư phổi nhờ AI
Sự phát triển của kỹ thuật sàng lọc bằng CT ngực liều thấp (LDCT) đã giúp phát hiện nhiều nốt phổi nhỏ. Tuy nhiên, các nốt ác tính thường có biểu hiện không điển hình trên phim, gây khó khăn trong phân biệt với tổn thương lành tính.
Trí tuệ nhân tạo (AI) vì vậy được nghiên cứu và ứng dụng nhằm phân tích đa tham số, hỗ trợ bác sĩ phát hiện sớm ung thư phổi, giảm sai sót và nâng cao hiệu quả chẩn đoán.
Theo Phó Giáo sư, Tiến sĩ Phạm Cẩm Phương, vừa qua, Trung tâm Y học hạt nhân và Ung bướu - Bệnh viện Bạch Mai đã ứng dụng AI trong chẩn đoán và điều trị sớm ung thư phổi cho bệnh nhân N.T.T, 69 tuổi.
Bệnh nhân đau thắt lưng phải nhiều năm. Đợt này, bệnh nhân xuất hiện cơn đau quặn thận phải, được chẩn đoán là sỏi thận phải, đã được tán sỏi thận qua da tại khoa Phẫu thuật Tiết niệu. Sau đó, bệnh nhân tình cờ chụp CT ngực phát hiện u thùy trên phổi trái chuyển Trung tâm Y học hạt nhân và Ung bướu, bệnh viện Bạch Mai đánh giá và điều trị tiếp.
Bệnh nhân được chẩn đoán theo dõi ung thư thùy trên phổi trái cT1N0M0. Tổn thương phổi trên CT được sử dụng AI để phân tích, xác suất nốt kính mở ở thùy trên phổi trái là tổn thương ác tính khoảng 97%. Bệnh nhân được hội chẩn hội đồng có chỉ định phẫu thuật.
Sau đó, bệnh nhân được phẫu thuật nội soi cắt một thùy phổi kèm nạo vét hạch. Kết quả giải phẫu bệnh sau mổ (u phổi) cho thấy bệnh nhân ung thư biểu mô tuyến kết hợp viêm lao.
Theo Phó Giáo sư, Tiến sĩ Phạm Cẩm Phương, Giám đốc Trung tâm Y học hạt nhân và Ung bướu - Bệnh viện Bạch Mai, các dữ liệu tổng hợp cho thấy hệ thống AI có độ nhạy 0,87 và độ đặc hiệu 0,87 trong chẩn đoán ung thư phổi; tỷ lệ bỏ sót 13%, tỷ lệ chẩn đoán sai 12%.
"Với diện tích dưới đường cong ROC lên tới 0,93, AI đang cho thấy tiềm năng lớn trong hỗ trợ sàng lọc ung thư phổi giai đoạn sớm, giúp bác sĩ rút ngắn thời gian đánh giá và tăng độ chính xác", bác sĩ Phương cho hay.
Tỷ lệ chữa khỏi ung thư phổi cao nếu phát hiện sớm
Theo GLOBOCAN 2022, ung thư phổi đứng đầu thế giới về số ca mắc mới (2.480.301 ca, chiếm 12,4%) và tử vong (1.817.172 ca, chiếm 18,7%). Tại Việt Nam, ung thư phổi xếp thứ ba về tỷ lệ mắc (13,5%) và đứng thứ hai về tỷ lệ tử vong (18,8%).
Một trong những thách thức lớn nhất của ung thư phổi là phần lớn bệnh nhân được phát hiện ở giai đoạn muộn. Dù tỷ lệ sống sau 5 năm ở giai đoạn đầu có thể đạt 20-30% nếu được phẫu thuật triệt căn, khoảng 85% bệnh nhân lại được chẩn đoán khi bệnh đã tiến triển.
Với ung thư phổi không tế bào nhỏ giai đoạn IA, phẫu thuật là phương pháp điều trị nền tảng. Sau mổ, bệnh nhân cần theo dõi định kỳ 6 tháng/lần trong 2 năm đầu bằng khám lâm sàng, xét nghiệm và CT có tiêm thuốc cản quang.
Bác sĩ Phương cho biết, tỷ lệ sống sau 5 năm của ung thư phổi đạt 70% ở giai đoạn I nhưng giảm xuống dưới 5% ở giai đoạn IV. Vì thế, việc phát hiện sớm có ý nghĩa quyết định để kéo dài cuộc sống cho người bệnh không may mắc ung thư phổi.
Trước đó, tại Triển lãm “80 năm hành trình Độc lập-Tự do-Hạnh phúc”, Bệnh viện Bạch Mai đã giới thiệu về ứng dụng AI do bệnh viện phối hợp với Trường Đại học Công nghệ - Đại học Quốc gia Hà Nội phát triển phần mềm trí tuệ nhân tạo hỗ trợ chẩn đoán ung thư phổi.
Điểm đặc biệt của phần mềm này là khả năng phân tích đồng thời cả ba loại hình ảnh chính. Trên ảnh CT lồng ngực, phần mềm tự động phát hiện các nốt bất thường, vùng nghi ngờ ung thư, giúp bác sĩ định hướng nhanh hơn trong quá trình đọc phim.
Trên ảnh nội soi phế quản, hệ thống nhận diện tổn thương trong lòng phế quản, kể cả ở những vị trí khó quan sát, đồng thời gợi ý vị trí cần sinh thiết.
Trên ảnh mô bệnh học, phần mềm hỗ trợ phân loại tế bào, giúp xác định loại ung thư phổi (như ung thư biểu mô tuyến, biểu mô vảy…) với độ chính xác cao.
Kết quả nghiên cứu và thử nghiệm cho thấy phần mềm hoạt động hiệu quả, giúp bác sĩ phát hiện tổn thương nhanh hơn, chính xác hơn và giảm bớt gánh nặng công việc.
Đây cũng là lần đầu tiên tại Việt Nam, một bệnh viện phát triển ứng dụng AI đồng bộ trên cả ba loại hình ảnh chẩn đoán ung thư phổi. Sáng kiến này không chỉ mang giá trị khoa học mà còn rất thực tiễn, góp phần nâng cao chất lượng chẩn đoán và hỗ trợ đắc lực cho đội ngũ y tế, đặc biệt ở các tuyến cơ sở. Thành công bước đầu mở ra triển vọng lớn cho việc ứng dụng AI trong chẩn đoán và điều trị ung thư tại Việt Nam.
THIÊN LAM
Nguồn Nhân Dân : https://nhandan.vn/nam-benh-nhan-phat-hien-som-ung-thu-phoi-nho-ung-dung-ai-post923790.html