Ngừng thuốc huyết áp 3 ngày: Vỡ túi phình động mạch chủ 11cm cực nguy kịch

Ngừng thuốc huyết áp 3 ngày: Vỡ túi phình động mạch chủ 11cm cực nguy kịch
3 giờ trướcBài gốc
Chỉ vì chủ quan tự ý ngưng thuốc huyết áp trong vài ngày Tết, một nam bệnh nhân tại Cần Thơ đã rơi vào tình trạng cực kỳ nguy kịch khi túi phình động mạch chủ ngực - bụng khổng lồ bị vỡ. Sau cuộc đại phẫu Hybrid kéo dài 10 giờ đồng hồ nghẹt thở, các bác sĩ đã tạo nên một kỳ tích y khoa, giành lại sự sống cho bệnh nhân từ "cửa tử".
Bài toán hóc búa và quyết sách thực hiện đại phẫu Hybrid
Chiều 24.3, ThS-BS Đặng Văn Sô Đa - Khoa Ngoại tổng hợp, Bệnh viện đa khoa S.I.S Cần Thơ, đã chia sẻ thông tin về ca cấp cứu đặc biệt này. Bệnh nhân là anh L.Q.L (44 tuổi, ngụ tại Cần Thơ), nhập viện tại Bệnh viện đa khoa quốc tế S.I.S Cần Thơ trong tình trạng đau bụng dữ dội.
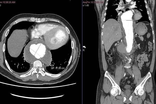
Kết quả chụp CTA cho thấy, bệnh nhân bị vỡ túi phình động mạch chủ ngực – bụng. Khối máu tụ lớn sau phúc mạc với đường kính lên đến 11cm
Kết quả chụp cắt lớp vi tính mạch máu (CTA) nhanh chóng xác định một thực trạng kinh hoàng: anh L. bị vỡ túi phình động mạch chủ ngực – bụng. Khối máu tụ lớn sau phúc mạc với đường kính lên đến 11cm được ví như một "quả bom" khổng lồ đã bắt đầu phát nổ, đe dọa tước đi mạng sống của bệnh nhân trong tích tắc.
Theo bác sĩ Sô Đa, đây là tình huống y khoa ngặt nghèo nhất khi tỷ lệ tử vong lên đến hơn 90% nếu túi phình vỡ hoàn toàn. Thực tế, chỉ có rất ít bệnh nhân may mắn được cứu sống kịp thời trong hoàn cảnh này.
Tiền sử bệnh lý của anh L. vốn đã rất phức tạp với tình trạng tăng huyết áp kéo dài hơn 5 năm, cùng với đó là hai lần đối mặt với đột quỵ vào các năm 2019 và 2020. Dù túi phình đã vỡ nhưng may mắn là khối máu vẫn còn được khu trú. Tuy nhiên, kích thước khổng lồ của nó lại nằm ở vị trí cực kỳ hiểm hóc, liên quan trực tiếp đến các nhánh mạch máu quan trọng nuôi dưỡng gan, thận và ruột.
Đứng trước tình thế "ngàn cân treo sợi tóc", đội ngũ y tế tại S.I.S Cần Thơ phải đối mặt với những lựa chọn đầy cam go. Nếu thực hiện phương pháp mổ mở truyền thống, nguy cơ mất máu ồ ạt và các biến chứng hậu phẫu nặng nề là quá lớn đối với thể trạng của bệnh nhân. Ngược lại, nếu chỉ áp dụng kỹ thuật đặt stent đơn thuần, các bác sĩ sẽ không thể xử lý triệt để túi phình vì việc này sẽ gây ảnh hưởng trực tiếp đến các nhánh mạch nuôi tạng, dẫn đến nguy cơ suy tạng sau phẫu thuật.
Sau khi hội chẩn kỹ lưỡng, các chuyên gia đã quyết định triển khai kỹ thuật Hybrid – một sự kết hợp đỉnh cao giữa ngoại khoa truyền thống và can thiệp nội mạch tân tiến. Đây được xem là "vũ khí" tối thượng để giải quyết những ca bệnh phức tạp mà các phương pháp đơn lẻ không thể thực hiện hiệu quả.
10 giờ đồng hồ nghẹt thở giành giật sự sống
Cuộc đại phẫu cho anh L. kéo dài hơn 10 giờ đồng hồ liên tục, đòi hỏi sự tập trung cao độ và phối hợp nhịp nhàng của toàn bộ ê kíp. Quy trình được thực hiện qua hai giai đoạn chiến lược nhằm đảm bảo an toàn tối đa cho bệnh nhân.
Ở giai đoạn đầu tiên, các bác sĩ tiến hành phẫu thuật chuyển vị, tỉ mỉ cắm lại các nhánh động mạch tạng và động mạch thận vào vị trí an toàn để duy trì nguồn máu nuôi dưỡng các cơ quan nội tạng. Sau khi đảm bảo tưới máu tạng ổn định, giai đoạn hai được triển khai bằng can thiệp nội mạch. Ê kíp tiến hành đặt stent graft xuyên suốt từ đoạn động mạch chủ ngực xuống đến chỗ chia động mạch chậu, nhằm loại bỏ hoàn toàn túi phình khỏi dòng tuần hoàn, triệt tiêu nguy cơ chảy máu.
Kết quả sau phẫu thuật là một sự hồi sinh kỳ diệu. Hình ảnh kiểm tra sau đó cho thấy các nhánh nuôi nội tạng lưu thông tốt, khối phình khổng lồ hoàn toàn biến mất và không còn dấu hiệu rò rỉ máu. Chỉ một tuần sau điều trị tích cực, chức năng gan và thận của anh L. đã hoạt động bình thường, các chỉ số huyết động ổn định trong sự ngỡ ngàng của người thân.
Sự cố kinh hoàng của anh L. là minh chứng rõ nét nhất cho mức độ nguy hiểm của việc tự ý bỏ thuốc huyết áp. Bác sĩ Sô Đa khuyến cáo rằng, phình động mạch chủ thường không có triệu chứng rõ rệt khi còn ở kích thước nhỏ, khiến người bệnh dễ nảy sinh tâm lý chủ quan.
Để phòng ngừa thảm kịch, người dân cần đặc biệt lưu ý đến các yếu tố nguy cơ hàng đầu như tình trạng tăng huyết áp không kiểm soát, xơ vữa mạch máu, thói quen hút thuốc lá hay chỉ số mỡ máu cao. Thậm chí, những chấn thương vùng bụng trước đó cũng có thể là tác nhân tiềm ẩn. Việc thực hiện tầm soát sớm thông qua các kỹ thuật chẩn đoán hình ảnh như siêu âm hoặc chụp CT mạch máu định kỳ là vô cùng quan trọng để phát hiện sớm các bất thường.
Đặc biệt, đối với những túi phình đã đạt đường kính từ 4-5cm trở lên, việc can thiệp điều trị ngay lập tức là yêu cầu bắt buộc để tránh thảm cảnh tử vong do chảy máu ồ ạt khi túi phình vỡ. Câu chuyện hồi sinh của anh L. không chỉ là một thành tựu y học mà còn là bài học đắt giá về việc tuân thủ phác đồ điều trị để bảo vệ mạng sống của chính mình.
Hồ Quang
Nguồn Một Thế Giới : https://1thegioi.vn/ngung-thuoc-huyet-ap-3-ngay-vo-tui-phinh-dong-mach-chu-11cm-cuc-nguy-kich-249099.html