Người đàn ông nguy kịch vì thói quen thường gặp ở nam giới

Người đàn ông nguy kịch vì thói quen thường gặp ở nam giới
3 giờ trướcBài gốc
Bệnh nhân được đưa đi cấp cứu kịp thời. Ảnh minh họa: Duy Hiệu.
Theo bác sĩ Đỗ Công Tuấn, khoa Cấp cứu, Bệnh viện Nhân dân 115 (TP.HCM), bệnh nhân đang làm việc ngoài đồng thì đột ngột chóng mặt, tức ngực rồi ngất khoảng 2 phút. Khi tỉnh lại, người nhà phát hiện và đưa vào bệnh viện địa phương trong tình trạng tụt huyết áp, được nghi ngờ nhồi máu cơ tim biến chứng sốc tim.
Sau khi được xử trí ban đầu, bệnh nhân được chuyển đến Bệnh viện Nhân dân 115. Tại đây, bác sĩ ghi nhận người bệnh khó thở, huyết áp không đo được, mạch nhanh. Điện tim và siêu âm tim cho thấy dấu hiệu quá tải thất phải cấp tính, đặc trưng của thuyên tắc phổi nặng.
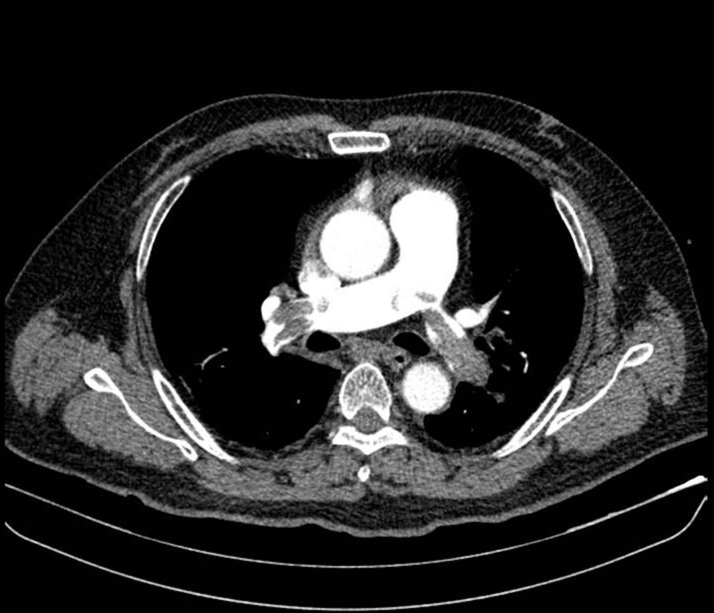
Bệnh nhân nhanh chóng được dùng thuốc vận mạch để ổn định huyết áp, chụp CT mạch máu phổi. Kết quả cho thấy huyết khối lớn bít tắc hai nhánh động mạch phổi. Các bác sĩ khoa Cấp cứu phối hợp Khoa Hồi sức tích cực xác định đây là trường hợp sốc tắc nghẽn do thuyên tắc phổi nguy cơ cao.
Người bệnh được chỉ định sử dụng thuốc tiêu sợi huyết, là phương pháp điều trị giúp làm tan cục máu đông trong mạch phổi. Sau khi chuyển Hồi sức tích cực để tiếp tục theo dõi, bệnh nhân dần hồi phục, huyết áp ổn định, hết khó thở, chức năng tim phải cải thiện. Sau một tuần điều trị, ông được xuất viện và trở lại sinh hoạt bình thường.
Hình ảnh chụp CT mạch máu phổi cho thấy huyết khối lớn bít tắc động mạch phổi hai bên. Ảnh: BVCC.
Bác sĩ Đỗ Công Tuấn, khoa Cấp cứu, Bệnh viện Nhân dân 115 cho biết, nguyên nhân phổ biến nhất của thuyên tắc phổi là cục máu đông hình thành từ tĩnh mạch sâu chi dưới rồi di chuyển lên phổi. Siêu âm mạch chi dưới của bệnh nhân phát hiện huyết khối ở tĩnh mạch đùi chung và khoeo trái.
"Người bệnh không có tiền sử bệnh lý đặc biệt, song có thói quen hút thuốc khoảng một gói mỗi ngày", bác sĩ Tuấn nhấn mạnh.
Theo bác sĩ Tuấn, hút thuốc lá không trực tiếp gây thuyên tắc phổi, nhưng làm tăng nguy cơ hình thành huyết khối tĩnh mạch sâu. Đây là yếu tố dẫn đến nhiều biến chứng nguy hiểm, trong đó có thuyên tắc phổi. Ngoài ra, thuốc lá còn gây ra hàng loạt bệnh tim mạch và hô hấp khác.
Khi xuất viện, bệnh nhân được khuyến cáo ngưng hoàn toàn thuốc lá và tuân thủ điều trị theo hướng dẫn của bác sĩ để phòng tái phát.
Nguyễn Thuận
Nguồn Znews : https://lifestyle.znews.vn/nguoi-dan-ong-nguy-kich-vi-thoi-quen-thuong-gap-o-nam-gioi-post1591657.html