Người đàn ông về từ Thái Lan mắc Whitmore thể cực nguy hiểm

Người đàn ông về từ Thái Lan mắc Whitmore thể cực nguy hiểm
6 giờ trướcBài gốc
Bệnh nhân nam L.V.T, 35 tuổi, sống và làm việc tại Thái Lan (vùng lưu hành bệnh Whitmore cao). Anh có tiền sử đái tháo đường mới phát hiện.
Năm tuần trước khi về Việt Nam, bệnh nhân nhập viện cấp cứu tại Thái Lan vì sốt cao liên tục, khó thở, kích thích. Tại đây, anh được đặt nội khí quản và xác định nhiễm khuẩn Burkholderia pseudomallei (tác nhân gây bệnh Whitmore).
Dù đã được điều trị ban đầu, tình trạng bệnh vẫn diễn tiến nặng. Bệnh nhân được chuyển về Việt Nam nhưng nhanh chóng rơi vào sốc nhiễm khuẩn, suy đa tạng, sốt cao và rối loạn ý thức.
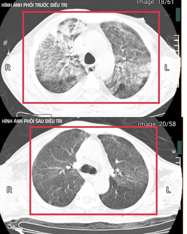
Hình ảnh chụp phổi của bệnh nhân mắc Whitmore. Ảnh: BVCC
Ths.BSNT Nguyễn Kim Anh - Khoa Cấp cứu, Bệnh viện Bệnh Nhiệt đới Trung ương cho biết, khi tiếp nhận, bệnh nhân ở trạng thái hôn mê sâu (thang điểm Glasgow 9), mất phản xạ đường thở và phải thở máy hoàn toàn.
Nhiệt độ cơ thể liên tục 41-42 độ C kèm run cơ, gợi ý tình trạng tăng thân nhiệt ác tính trên nền nhiễm khuẩn huyết tối cấp.
Bệnh nhân bị suy đa tạng nghiêm trọng: Men gan, bilirubin, creatinin tăng rất cao, rối loạn đông máu và vô niệu. Nồng độ CK (phản ánh tình trạng tổn thương của cơ bắp, cơ tim và não) vượt quá 100.000 U/l kèm đau cơ, nước tiểu sẫm màu. Các chỉ số viêm (CRP, PCT) tăng rất cao. Đái tháo đường chưa kiểm soát và viêm gan C mạn khiến cơ thể suy kiệt.
Bác sĩ Kim Anh nhận định, đây là thể tối cấp của Whitmore với nguy cơ tử vong rất cao trong thời gian ngắn.
Sau ba tuần điều trị, bệnh nhân đã hồi phục hoàn toàn: tỉnh táo, tự thở khí phòng, huyết áp ổn định, cơ lực chi trên đạt 5/5, chi dưới 4/5.
Đội ngũ bác sĩ đã thực hiện khẩn cấp cùng lúc nhiều can thiệp, nỗ lực cứu người bệnh như: An thần sâu để bảo vệ não, hạ thân nhiệt chủ động để khống chế sốt ác tính. Thiết lập đường truyền trung tâm, theo dõi huyết động, điều chỉnh rối loạn toan – điện giải. Phối hợp kháng sinh theo phác đồ Melioidosis và tiến hành lọc máu liên tục nhiều ngày để hỗ trợ thận, loại bỏ độc chất và giảm phản ứng viêm.
Sau khoảng ba ngày hồi sức tích cực, bệnh nhân bắt đầu cắt sốt, các chỉ số viêm và nhu cầu thuốc vận mạch giảm, chức năng gan thận cải thiện, tri giác hồi phục.
Bệnh nhân được cai máy thở (qua mở khí quản), tập hô hấp tự nhiên và phục hồi vận động. Sau ba tuần điều trị, bệnh nhân đã hồi phục hoàn toàn: tỉnh táo, tự thở khí phòng, huyết áp ổn định, cơ lực chi trên đạt 5/5, chi dưới 4/5. Bệnh nhân được xuất viện và tiếp tục theo dõi ngoại trú.
Bác sĩ Kim Anh khuyến cáo:
Whitmore là bệnh truyền nhiễm nguy hiểm, gây suy đa tạng và tử vong nhanh, nhất là ở người có bệnh nền (đái tháo đường, bệnh gan mạn) hoặc làm việc lâu năm trong môi trường đất, nước ẩm. Bệnh dễ bị bỏ sót vì có thể khởi phát không điển hình (sốt kéo dài, mệt mỏi, đau đầu, ho, sụt cân).
Vì vậy, người dân có yếu tố nguy cơ hoặc sốt kéo dài không rõ nguyên nhân cần đến cơ sở chuyên khoa truyền nhiễm để được chẩn đoán và điều trị kịp thời. Cần tuân thủ đầy đủ phác đồ kháng sinh kéo dài để tránh tái phát.
P.Chinh
Nguồn SK&ĐS : https://suckhoedoisong.vn/nguoi-dan-ong-ve-tu-thai-lan-mac-whitmore-the-cuc-nguy-hiem-16925120814203684.htm